Ответить
|
Re: Открытый оскольчатый внутрисуставной перелом д
Alexander Chelnokov 16 Март 2006, 17:22
|
Всецело одобряем и поддерживаем!!!
В качестве альтернативы - ограниченная, минимально инвазивная открытая репозиция суставного конца кости, фиксация спицами и винтами; продолжние аппаратной фиксации, уже со свободной стопой - месяца 2-3. После сращения дистального "блока" - закрытый интрамедуллярный остеосинтез.
|
[
Ответить ]
|
Re: Открытый оскольчатый внутрисуставной перелом д
А.П.Ким 16 Март 2006, 17:45
|

Возможный альтернативный способ : накостный остеосинтез м/берцовой кости, открытый чрескостный остеосинтез эпиметафиза б/берцовой кости.
|
[
Ответить ]
|
Re: Открытый оскольчатый внутрисуставной перелом дистального отдела большеберцовой кости
Смирнов Алексей 17 Март 2006, 21:51
|
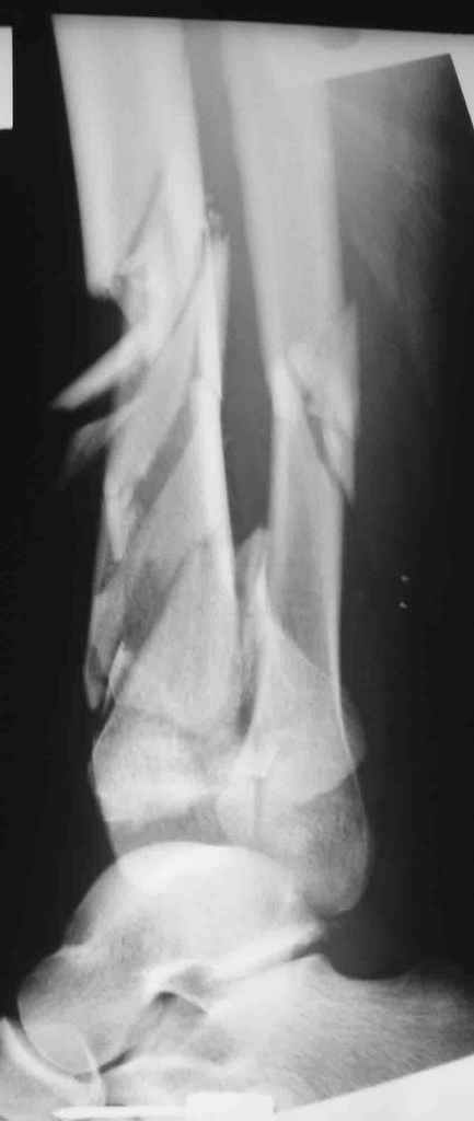
Вот что получилось
7.jpg
27KB (28411 bytes)
|
[
Ответить ]
|
Re: Открытый оскольчатый внутрисуставной перелом дистального отдела большеберцовой кости
Отправитель: Кучерявый Игорь 18 Март 2006, 21:03
|
А была ли необходимость менять аппарат на такую пластину? Выигрываем в возможности более ранней разработки голеностопного сустава?
|
[
Ответить ]
|
Re: Открытый оскольчатый внутрисуставной перелом д
Отправитель: Alexander Chelnokov 19 Март 2006, 12:28
|
Пластинка красивая. Чуть только спереди назад идет, не сосем по оси большеберцовой кости. А там не маловато фиксаторов собственно в дистальном суставном конце кости? А вправляли его как? Как будто или осталось запрокидывание кзади или недонизведен передний край. Но с учетом исходного тяжелейшего повреждения - все равно здорово.
|
[
Ответить ]
|
Re: Открытый оскольчатый внутрисуставной перелом д
Отправитель: Alexander Artemiev 19 Март 2006, 12:29
|
Здравствуйте.
При видимой благоприятной картине не удается избавиться от
ощущения, что Вы больше увлеклись технической стороной проблемы
- непременно наложить пластину.
В то же время явно не учитывали скажем так биологию...
Тяжелейшая исходная травма с явным разрушением не только кости,
но прилежащих тканей, кровообращение на грани срыва
компенсации...
Через полтора месяца Вы внедряетесь туда, гоняясь за фрагментами
потрошите надкостницу, мягкие ткани и пр....
Для чего?
Зона не для экспериментов.
Если речь шла о восстановлении суставной поверхности - то лучше
это делать сразу в аппарате.
Нескромно с моей стороны адресовать к собственным трудам, но в
моей книжке я описал эту методику подробно как мог...
Если хотели начать движения в голеностопе - освободили бы стопу.
Я так понимаю, допольнительной иммобилизации сустава всё равно
не избежать.
Скорее всего следует ожидать фиброзного анкилоза в голеностопном
суставе и ложного сустава - в нижней трети голени...
Если этого удасться избежать - то скорее всего не благодаря, а
вопреки...
Если же говорить об опыте смены одного вида остеосинтеза на
другой, то лично у меня он обратный - успешное завершение лечения
внешним фиксатором после безуспешных попыток лечения пластинами с
различными видами стабильности (нестабильности).
С уважением Александр Артемьев
Прошу спокойно отнестись к моему письму - это не критика.
Это обсуждение. Вы же этого хотели:)
|
[
Ответить ]
|
Re: Открытый оскольчатый внутрисуставной перелом д
Отправитель: Alexander Chelnokov 20 Март 2006, 01:13
|
a> Через полтора месяца Вы внедряетесь туда, гоняясь за фрагментами
a> потрошите надкостницу, мягкие ткани и пр....
Не надо путать старомодный накостный остеосинтез (прямая репозиция с обнажением отломков и циркулярным их скелетированием), со сделанным сейчас - непрямая репозиция, пластина с угловой стабильностью вводится закрыто через подкожный туннель, отломки на уровне метафизва и диафиза не обнажаются. По сути, получается тот же закрытый остеосинтез аппаратом, только фиксатор не снаружи.
a> Для чего?
a> Зона не для экспериментов.
Помилуйте, какие эксперименты? Этап разработки давно позади, этот тип фиксаторов уже несколько лет как нашел широкое применение именно при таких около- и внутрисуставных повреждениях. В наших rраях происходит, как обычно, внедрение с некоторым опозданием...
a> Если речь шла о восстановлении суставной поверхности - то лучше
a> это делать сразу в аппарате.
Такая категоричность вряд ли была оправдана, даже когда не было пластин с угловой стабильностью.
Вообще "лучше", видимо, то, что надо восстановление конгруэнтности в итоге сделать. Когда и как, чем фиксировать - вопрос второй. Аппараты гибридные и циркулярные давно себя хорошо зарекомендовали, сейчас появились внутренние фиксаторы с новыми свойствами, которые также дают желаемые результаты. Проспективное сравнение LCP vs ex-fix, видимо, еще впереди, пока идет освоение технологии, накопление материала.
a> моей книжке я описал эту методику подробно как мог...
А можно попросить процитировать фрагмент, подходящий к случаю?
a> Если хотели начать движения в голеностопе - освободили бы стопу.
a> Я так понимаю, допольнительной иммобилизации сустава всё равно
a> не избежать.
Фиксация такой пластиной не предполагает иммобилизации смежных суставов.
a> Скорее всего следует ожидать фиброзного анкилоза в голеностопном
a> суставе и ложного сустава - в нижней трети голени...
Все-таки возможность ввести пластину закрыто обычно дает результатом сращение с хорошей периостальной мозолью. Хотя единичные случаи переломов блокируемых пластин уже появились. Будем надеяться на лучшее. Ну а выявится тенденция к несращению метадиафиза - можно также малоинвазивно пластину убрать, не дожидаясь ее перелома, и сделать закрытый интрамедуллярный остеосинтез ;-)
a> Если этого удасться избежать - то скорее всего не благодаря, а
a> вопреки...
Остается надеяться, что скептицизм этот основан не на большом отрицательном опыте использования малоинвазивного остеосинтеза пластинами с угловой стабильноью.
a> Если же говорить об опыте смены одного вида остеосинтеза на
a> другой, то лично у меня он обратный - успешное завершение лечения
a> внешним фиксатором
А у нас, к примеру, есть и прямой, и обратный - и аппаратами много лечили после неудач разного другого, и после неудач аппаратного лечения добивались успеха внутренней фиксацией.
a> после безуспешных попыток лечения пластинами с различными видами
a> стабильности (нестабильности).
И много ли довелось встретить пациентов с неудачами именно после правильно сделанного остеосинтеза LCP?
a> Прошу спокойно отнестись к моему письму - это не критика.
a> Это обсуждение. Вы же этого хотели:)
Присоединяюсь ;-)
|
[
Ответить ]
|
Re: Открытый оскольчатый внутрисуставной перелом д
Отправитель: Alexander Artemiev 20 Март 2006, 01:15
|
AC> Не надо путать старомодный накостный остеосинтез
Я и не путаю - это как раз очень модный остеосинтез:)
AC> сейчас) - непрямая репозиция, пластина с угловой стабильностью вводится
AC> закрыто через подкожный туннель,
Вводится вообще или вводилась в данном случае?
Репозиция суставной поврехности выполнялась тоже закрыто спустя 5
недель? Научите... Тогда почему сразу не сделали?
a>> Если речь шла о восстановлении суставной поверхности - то лучше
a>> это делать сразу в аппарате.
AC> Такая категоричность вряд ли была оправдана, даже когда не было
AC> пластин с угловой стабильностью.
Ёлы-палы... Как ужасно... Как вообще мы жили-то?
AC> Вообще "лучше", видимо, то, что надо восстановление конгруэнтности в
AC> итоге сделать.
Его лучше сделать не в итоге, а как можно раньше... Если не сделали сразу - почему?
AC> Когда и как, чем фиксировать - вопрос второй.
Согласен. главное - результат...
AC> Аппараты
AC> гибридные и циркулярные давно себя хорошо зарекомендовали,
Да не аппараты себя зарекомендовали.
При чем здесь железо.
Нужно говорить : лучше стали лечить.
Если это действительно так.
a>> моей книжке я описал эту методику подробно как мог...
AC> А можно попросить процитировать фрагмент, подходящий к случаю?
См. глава 8.3 Многооскольчатые внутрисуставные переломы дистального эпифиза берцовых костей.
Стр.73-78. Рис.8.4 - 8.6.
Читайте классику:)
AC> Фиксация такой пластиной не предполагает иммобилизации смежных
AC> суставов.
Как скажешь, шеф;)
Наступать тоже можно?
AC> Будем надеяться на лучшее.
Это тоже из классиков?
AC> Ну а выявится тенденция к несращению метадиафиза - можно также
AC> малоинвазивно пластину убрать, не дожидаясь ее перелома, и сделать
AC> закрытый интрамедуллярный остеосинтез ;-)
Круто...
AC> Остается надеяться, что скептицизм этот основан не на большом
AC> отрицательном опыте использования малоинвазивного остеосинтеза
AC> пластинами с угловой стабильноью.
Поскольку такие пластины применяются у нас в стране недавно, то опыт действительно небольшой...
Правда, один больной приезжал из Эмиратов.
AC> А у нас, к примеру, есть и прямой, и обратный - и аппаратами много
AC> лечили после неудач разного другого, и после неудач аппаратного
AC> лечения добивались успеха внутренней фиксацией.
Это ещё раз говорит о научности нашей специальности.
AC> И много ли довелось встретить пациентов с неудачами именно после
AC> правильно сделанного остеосинтеза LCP?
Двое - с оскольчатыми переломами бедра.
Привет всем...
Алеександр Артемьев
|
[
Ответить ]
|
Re: Открытый оскольчатый внутрисуставной перелом д
Отправитель: Alexander Chelnokov 20 Март 2006, 22:45
|
Приветствую, Александр,
Monday, March 20, 2006, 12:48:01 AM, you wrote:
AC>> Не надо путать старомодный накостный остеосинтез
a> Я и не путаю - это как раз очень модный остеосинтез:)
В данном случае использован не старомодный вариант.
a> Вводится вообще или вводилась в данном случае?
Надо уточнить у автора. По технологии - должна.
a> Репозиция суставной поврехности выполнялась тоже закрыто спустя 5
a> недель?
Закрыто надо фиксировать внесуставные отделы кости.
a> Научите... Тогда почему сразу не сделали?
Да обычное дело - временная внеочаговая фиксация, по заживлении добираемся до репозиции.
AC>> Такая категоричность вряд ли была оправдана, даже когда не было
AC>> пластин с угловой стабильностью.
a> Ёлы-палы... Как ужасно... Как вообще мы жили-то?
Да особо не чем хвастаться, действительно.
a> Его лучше сделать не в итоге, а как можно раньше...
a> Если не сделали сразу - почему?
Причины могут быть от состояния мягких тканей до организационных моментов. В любом случае прошлое не изменить.
a> Да не аппараты себя зарекомендовали.
a> При чем здесь железо.
Свойства фиксатора перестали играть роль?
a> Нужно говорить : лучше стали лечить.
a> Если это действительно так.
Это чересчур общо, лучше поконретнее, в чем лучше и за счет каких изменений.
a> См. глава 8.3 Многооскольчатые внутрисуставные переломы дистального
a> Читайте классику:)
Да рад бы, но нету под рукой! Цитируй уже себя давай, классик!
a> Наступать тоже можно?
При внутрисуставном повреждении сразу не надо, наверно.
AC>> Будем надеяться на лучшее.
a> Это тоже из классиков?
... А готовиться к худшему. Народное, видимо.
AC>> малоинвазивно пластину убрать, не дожидаясь ее перелома, и сделать
AC>> закрытый интрамедуллярный остеосинтез ;-)
a> Круто...
Уже делаем такое, не с такими пластинками, правда. Но в этом отношении разницы нет. Убирать и старого типа пластину можно через маленький разрез.
AC>> лечения добивались успеха внутренней фиксацией.
a> Это ещё раз говорит о научности нашей специальности.
А научность тут при чем? Возможности многих методов перекрываются, и все. А получать новое знание можно и в нашей специальности.
AC>> правильно сделанного остеосинтеза LCP?
a> Двое - с оскольчатыми переломами бедра.
А правильно ли там все было сделано? А то уже на конференциях показывают отечественные проблемы с LCP - по большей части при их использовании как DCP.
|
[
Ответить ]
|
|
Re: Открытый оскольчатый внутрисуставной перелом дистального отдела большеберцовой кости
vladimir starostenko. Украина Харьков 19 Март 2006, 12:18
|
на мой взгляд не стоило менять шило на мыло. Для подбных случаев как раз наиболее подящий вариант внеочаговая фиксация.Темолее что стояние отломков удовлетворительное. в крайнем случае при дисконгруэнности сусавных поверхностей открытая репозиция и трансартикульрная фиксация в аппарате.
|
[
Ответить ]
|
Re: Открытый оскольчатый внутрисуставной перелом д
Отправитель: Alexander Chelnokov 19 Март 2006, 18:36
|
vsУХ> на мой взгляд не стоило менять шило на мыло. Для подбных случаев как
vsУХ> раз наиболее подящий вариант внеочаговая фиксация.
Это если с чем сравнивать? Мне, например, неизвестны работы, доказывающие преимущество аппаратной фиксации перед малоинвазивной пластинами с угловой стабильностью.
vsУХ> Тем более, что стояние отломков удовлетворительное.
О каком моменте Вы гворите? В аппарате вообще непонятно какое оно было, все железом перекрыто. Сейчас вроде приемлемо.
vsУХ> в крайнем случае при дисконгруэнности сусавных поверхностей
vsУХ> открытая репозиция и трансартикульрная фиксация в аппарате.
А трансартикулярная-то зачем? В XXI-то веке???
Конечно, можно было сделать ограниченную открытую репозицию суставного конца кости, ввести или только несколько спиц с упорами, или в сочетании с винтами, и оставить аппарат, освободив стопу. Так и делали последние годы, до появления блокируемых пластин, вводимых через небольшой разрез. Но вот они стали доступны, так почему бы ими не пользоваться? Безоговорочного преимущества того или иного подхода здесь нет, подождем и проспективных сравнительных исследований, и ретроспективные, возможно, уточнят показания.
|
[
Ответить ]
|
|
Re: Открытый оскольчатый внутрисуставной перелом дистального отдела большеберцовой кости
Dr. Castro 20 Март 2006, 20:35
|
Ja polnostio podderzivaio pozisii Dr.A.Artemieva, ishodia iz lichnogo opita lechenia podobnih povrezdenia, t.k. ni vizu rezona probovat' vse vidy fixasii v mire, chto bi lechit' togo ze pereloma!
Yours Dr. Castro
|
[
Ответить ]
|
Re: Открытый оскольчатый внутрисуставной перелом дистального отдела большеберцовой кости
Смирнов Алексей 20 Март 2006, 23:49
|
Мне кажется, что все дискутирующие согласным с одним - надо воостанавливать в данной ситуации суставную поверхность. Сделать это закрыто (когда суставная поверхность состит из 3-фрагментов)лично для меня не реально. Конечно можно открыто отрепонировать, зафиксировать спицами и оставить в аппарате, но роль аппарата и выполняет LSP. Разрез в области внутренней поверхность голеностопного сустава и небольшой разрез в ср/3 голени для проксимальных винтов, надкостница не обдирается, пластина вводится подкожно.
Вид конечности на следующий день после операции.
|
[
Ответить ]
|
Re: Открытый оскольчатый внутрисуставной перелом д
Отправитель: Alexey Smirnov 27 Март 2006, 21:52
|
Наверно не дошел, вот еще раз.
8.jpg
14KB (14977 bytes)
|
[
Ответить ]
|
|
Re: Открытый оскольчатый внутрисуставной перелом дистального отдела большеберцовой кости
iris 22 Март 2006, 01:06
|
сделано круто,но нельзя ли было изначально фиксировать суставной компонент 2-3винтами и аппарат сверху???Я понимаю,металл в открытом переломе это плохо,но ведь можно дренировать проточным дренажем.пару раз делал вышло неплохо
iris
|
[
Ответить ]
|
Re: Открытый оскольчатый внутрисуставной перелом д
Anton Kovalenko 27 Март 2006, 21:46
|
Уважаемые коллеги, скажите пожалуйста, возможно ли применять пластины с угловой стабильностью без ЭОПа. Может быть, кто-нибудь поделится подобным опытом?
|
[
Ответить ]
|
Re: Открытый оскольчатый внутрисуставной перелом д
Отправитель: Юрий Алексеевич Булахтин 05 Апрель 2006, 23:09
|
Уважаемый Антон Николаевич!
LCP без ЭОПА ставим везде. Ксати и без центрирующих втулок (дорогие очень и есть у меня не ко всем сегметам). Не заметил, чтобы это мешало цетрации винта в отверстии и создавало проблемы с фиксацией его в пластине. А внимание обратите вот на что. Вначале, даже если мы тянули винты фирменным динамометрическим ключом нередко один из них "клинило" в пластине и при снятии терялся эффект малоинвазивности - приходилось соединять дистальный и проксимальный доступы и "подрывать" пластину параллельно кости. Связано это, на мой взгляд, с неприменением иногда, аппаратной дистакции, прежде всего на бедре - пока пластина заблокируется винт перекашивает. Поэтому обязательно надо дистрактор (из аппарата Илизарова, АО и т.д.). На верхней конечности таких проблем не возникало и при использовании только ассистента.
Юрий Алексеевич Булахтин
|
[
Ответить ]
|
Re: Открытый оскольчатый внутрисуставной перелом д
Отправитель: Anton Kovalenko 07 Апрель 2006, 00:50
|
Уважаемый Юрий Алексеевич Булахтин!
Спасибо за советы.На ловца и зверь-4.04.06 пластины появились и в нащем городе, т.е. пришли представители, показали, что есть в наличии.
Производство венгров. Показали и умный гвоздь для голени. Почти эксперт. Хорошая навигационная система для тех у кого нет ЭОПа. Уже успели проверить на больном. И цены вполне приемлемы-9000 за сталь на голень, 25 % откат оператору. Остальной прирост цен связан с аппетитами хирургов :(, соответсвенно обратно пропорционален количеству желающих качественно полечиться. По-моему, хотя бы на этапе становления методики это далеко не самое главное.
ЮА> дисальный и проксимальный доступы и "подрывать" пластину параллельно
Несколько не сообразил, что может означать термин "подрывать".
ЮА> кости. Связано это, на мой взгляд, с неприменением иногда,
ЮА> аппаратной дистакции, прежде всего на бедре - пока пластина
Думаю что тракция на столе тоже подойдет?
ЮА> заблокируется винт перекашивает. Поэтому обязательно надо дистактор
А смещения типа рекурвации( или провисания концов отломков и т.п.) устраняются вручную? Сколько раз(серий) выполняются контрольные рентгенографии на столе?
--
Best regards,
Начинающий нейлер Коваленко А.Н.
|
[
Ответить ]
|
Re: Открытый оскольчатый внутрисуставной перелом д
Отправитель: Юрий Алексеевич Булахтин 09 Апрель 2006, 10:37
|
Здравствуйте Антон Николаевич!
Я имел в виду вот что. Когда ставите пластину с угловой стабильностью малоинвазивно то делаете два разреза в области введения винтов. При удалении, в случае заклинивания винтов в пластине, конструкция приобретает Т-, Г-, П-образную форму или расчески с определенным количеством зубьев. В этом случае удалить ее через маленькие разрезы невозможно. Приходиться освобождать ее из мягких тканей на всем протяжении и "подрывать" параллельно кости с помощью "зубила и такой-то матери". Для уменьшения вероятности этого используем дистрактор, как я уже говорил. Кроме этого пользуемся еще таким приемом - отрепонировали кость, кладем пластину и прихватываем ее сначала обычными винтами которые подтягивают кость к пластине. Потом вводим блокированные, а обычные удаляем.
|
[
Ответить ]
|
Re: Открытый оскольчатый внутрисуставной перелом д
Отправитель: Илья 14 Апрель 2008, 17:00
|
Уважаемый Антон,
Я прекрасно знаю продукцию венгров. Кого конкретно вы имеете ввиду - Sanatmetal или Medmetal? Если первых, то тогда понятно про гвозди, а если вторых - непонятно про пластины... И у первых, и у вторых с пластинами беда, особенно с углововй стабильностью...
|
[
Ответить ]
|
|
( Ответить )
|
|