AOTRAUMA.ORG Центр Илизарова  

Ортопедия и травматология Общие вопросы/General questions Help Информационные технологии в медицине
 вверх
 отправить
 поиск
 админ
 главная


ОБК лонной кости
Ортопедия и травматология Отправлено Рунков А.В. 12 Апрель 2006, 18:15
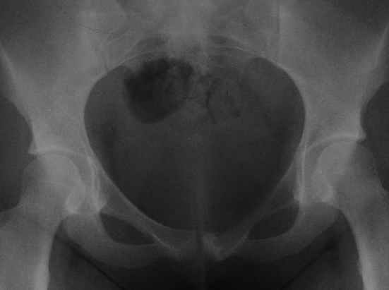
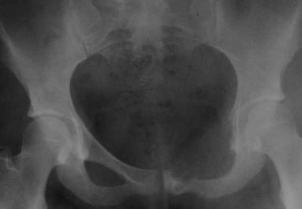
пациентка 20 лет, в сентябре 2005 года почувствовала боли в паху. На снимках заподозрили остеомиелит, лечили антибиотиками без эффекта. К онкологу попала в январе2006. Биопсия в марте 2006 - остеобластокластома. Местные онкологи от операции отказываются.
Вопрос с планом лечения (надо ли замещать деффект и чем) и где оперироваться (опыт подобных операций).В приложении рентгенограммы в динамике (2005 сентябрь, декабрь, 2006 апрель).

<  |  >

 

  • Сообщения о Ортопедия и травматология
  • Также Рунков А.В.
  • Связаться с автором
  • Ответить

    Re: ОБК лонной кости
    Anton Vladzymyrskyy 18 Апрель 2006, 00:53
    Показал случай нашим онкологам. Они советуют сделать КТ, чтобы выяснить распространение процесса в симфизе и вертлужной впадине. Если распространения нет, то у нас обычно просто выполняют резекцию лонной кости без замещения дефекта.

    С уважением,
    А.В.Владзимирский
    Донецкий НИИ травматологии и ортопедии
    [ Ответить ]


    ( Ответить )

    Powered by Zope  Squishdot Powered MedLink
    Посетитель: 0176176
      "По форме правильно, а по существу - издевательство" В.И.Ленин
    ©2001-2019Orthoforum Coordinator.
    [ Главная | Отправить сообщение | Поиск | Админ ]