вверх
отправить
поиск
админ
главная
|
Ликвидация ложного сустава |
 |
 |
 |
Отправлено Клиника хирургии суставов 24 Апрель 2006, 12:50
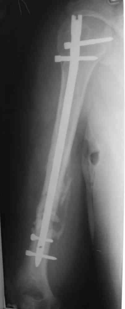
Уважаемые коллеги! Помогите в выборе тактики лечения больной Р.,56 лет, с болтающимся ложным суставом с/3 правой плечевой кости 2-х летней давности. В анамнезе - бронхиальная астма, гормонозависимая форма, ожирение III cт. Травма - автодорожная, получила закрытый многооскольчатый перелом диафиза плечевой кости со смещением (от метафиза до метафиза), в экстренном порядке нами произведен закрытый остеосинтез стержневым аппаратом, отломки удалось сопоставить анатомически. В дальнейшем больная выпала из поля зрения. Как потом выяснилось, после снятия стержневого аппарата, больная долечивалась по Илизарову специалистом из г. Кургана. Аппарат Илизарова удален из-за нагноения мягких тканей. Последние два года работая бухгалтером, фиксирует плечо ортезом. Теперь вновь обратилась к нам для ликвидации ложного сустава.
<
|
>
|
|
Ответить
|
Re: Ликвидация ложного сустава
Василий Мамонов 24 Апрель 2006, 20:42
|
На мой взгляд, целесообразно выполнить антеградный блокируемый интрамедуллярный остеосинтез. При наличии достаточного диаметра костномозгового канала по проводнику произвести его рассверливание и установить штифт по-возможности без вскрытия места перелома. При наличии симптомов повреждения лучевого нерва необходимо выполнить его ревизию и мобилизовать отломки "открыто".
Василий Мамонов, ГНЦ РАМН.
|
[
Ответить ]
|
Re: Ликвидация ложного сустава
Alexander Chelnokov 24 Апрель 2006, 22:19
|
Как-то робеешь общаться сразу с целой клиникой, может, выделите сотрудника с именем и фамилией? Хотя бы с псевдонимом? :-)
Кхс> выяснилось, после снятия стержневого аппарата, больная долечивалась по Илизарову
Кхс> специалистом из г. Кургана.
Намекаете, что это он все испортил? ;-)
Кхс> Аппарат Илизарова удален из-за нагноения мягких тканей.
Кхс> Последние два года работая бухгалтером, фиксирует плечо ортезом.
Кхс> Теперь вновь обратилась к нам для ликвидации ложного сустава.
Действительно, ситуация непростая. Как я понял, к аппаратным вариантам отношение у всех заинтересованных скорее отрицательное.
Есть вариант открытого вмешательства с резекцией зоны ложного сустава, костной пластикой и накостным остеосинтезом хорошей пластиной, в смысле мощной и длинной.
Предложение коллеги Мамонова, возможно, более привлекательно. У пациентов с невысокими функциональными потребностями есть смысл добиваться не сращения, а стабильной, безболезненной и функциональной конечности, что может быть достигнуто "эндопротезированием диафиза" интрамедуллярным стержнем. У нас несколько таких больных наблюдаются уже 2-3 года, вроде неплохо.
Будут трудности с закрытым вскрытием канала (нужен инструмент типа длинного шила). Можно взять штифт с блокированием, а можно и прямоуголного сечения типа Зверева-Ключевского. Есть варианты закрытого штифтования в нейтральном положении, с компрессией, открыто с резекцией и компрессией.
Не уверен, что через 2 года надо стараться решить в одну операцию проблемы несращения плеча и лучевого нерва (вряд ли они есть, да и не упомянуты).
|
[
Ответить ]
|
Re: Ликвидация ложного сустава
Отправитель: Алексей Семенистый 24 Апрель 2006, 23:11
|
>Клиника< В анамнезе - бронхиальная астма, гормонозависимая форма, ожирение III cт.
>A.Ch< Есть вариант открытого вмешательства с резекцией зоны ложного сустава, костной пластикой и накостным остеосинтезом хорошей пластиной, в смысле мощной и длинной.
Вряд ли для больной с ожирением и астмой большая травматичная операция с большим риском вослеоперационной нейропатии лучевого нерва является лучшим выходом...
Очень уважаю внеочаговый остеосинтез по показаниям, но самый большой процент несращений видел при применении аппаратов на плече :).
Мы бы предложили БИОС ретроградно (хотя это не принципиально, можно и сверху). Учитывая,что ложняк "болтающияся", больших трудностей с закрытым вскрытием канала (в зоне ложного сустава) быть не должно. Конечно нужен инструмент: сначала длинная (350-400 мм) острая спица (шило)диаметром 4-5 мм., затем гибкие развертки до 8-9 мм и соответствующий массивный штифт...
С уважением А. Семенистый.
|
[
Ответить ]
|
Re: Ликвидация ложного сустава
Отправитель: Попов Виктор 25 Апрель 2006, 07:27
|
Уважаемый Alexander! Разделяю Вашу иронию.Отвечаю по вопросам.
1.Наше частное лечебное учереждение небольшое - на 10 коек. По сегодняшним понятиям все, что больше 2 м2 и одной койки - это уже клиника
2.Лечение специалиста из г.Кургана гарантировало высочайшее качество применения ВКДО в данной ситуации и повторно заводить речь о данном методе менее квалифицированным специалистом, к которым я себя отношу (по отношению к ВКДО) уже и не удобно.
|
[
Ответить ]
|
Re: Ликвидация ложного сустава
Отправитель: Alexander Chelnokov 26 Апрель 2006, 00:23
|
Ситуация стала более понятна. Однако все-таки обсуждение пока несколько абстрактно, без учета местных условий, доступности тех или иных вариантов. Наверно, лучше сузить тему - чем располагает Ваше учреждение из методик остеосинтеза? Доступен ли закрытый интрамедуллярный остеосинтез? Какие варианты обсуждаются в Вашем коллективе?
Возможно, как вариант может рассматриваться направление пациентки в учреждения других регионов?
|
[
Ответить ]
|
Re: Ликвидация ложного сустава
Отправитель: Попов Виктор 27 Апрель 2006, 18:11
|
Уважаемые коллеги! Большое спасибо за советы, да еще и с иллюстрациями. Наша частная клиника ортопедотравматологического профиля имеет все необходимое для накостного остеосинтеза, но современный интрамедуллярный остеосинтез нам пока не доступен. Предполагаю: предложить больной и далее жить, пользуясь ортезом, а в случае отказа, не рисковать и отправить на лечение в другое лечебное учреждение. К нам больная претензий не имеет, лучевой нерв не поврежден. Достойно и гарантировано помочь не сможем, поскольку я склоняюсь к эндопротезированию диафиза.
С уважением Попов Виктор, г.Караганда, Казахстан.
|
[
Ответить ]
|
|
Re: Ликвидация ложного сустава
Александр Нагога 26 Апрель 2006, 21:54
|
У нас в клинике было два подобных случая. Один пациент до обращения к нам перенес девять хирургических вмешательств в разных медучреждениях города.
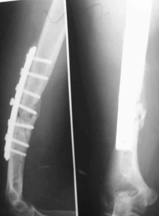
Штифт - отвисание проксимального отдела - накостный остеосинтез, нагноение, АФВ с ревизиями раны, опять пластина и снова нестабильность. Была удалена пластина и выполнен БИОС штифтом ChM (ДЕОСТ). Через 2 нед. пациент сел за руль и вышел на работу. Причем так и работает до сих пор уже 1,5 года, хотя полного сращения мы вроде бы не достигли ( снимки пришлю позже) - пациент не приходил на осмотры, общался только по телефону.
Второй пациент перенес два неудачных накостных остеосинтеза на фоне пареза лучевого нерва. Была удалена пластина и выполнен БИОС штифтом ChM (ДЕОСТ) - это была наша первая операция БИОС.

Так, что если у вашего пациента нет воспалительных процессов, можете использовать наш скромный опыт.
С уважением Нагога Александр и коллектив врачей клиники ОРТО (Самара)
|
[
Ответить ]
|
( Ответить )
|
|