Ответить
|
Re: Таз - 1
Maxim Agalakov 04 Май 2006, 13:48
|
Уважаемый Антон,
Вы имеете дело с высоким двухколонным перломом вертлужной впадины, формулируя диагноз на основании принятых в современном мире классификаций (Leturnel, OTA), вы без особого труда найдете практически в любой современной травматологической книжке (лучше все же иностранной) рекомендации по планированию доступа к вертлужной впадине.
На этом сайте есть пара переведенных статей
http://odoc.ru/article.php?name=article_6
http://odoc.ru/article.php?name=article_7
P.S. Перевод, возможно, не совсем корректный, но смысл уразуметь можно.
С уважением Максим Агалаков
|
[
Ответить ]
|
Re: Таз - 1
Алекей Владимирович Рунков 05 Май 2006, 10:39
|
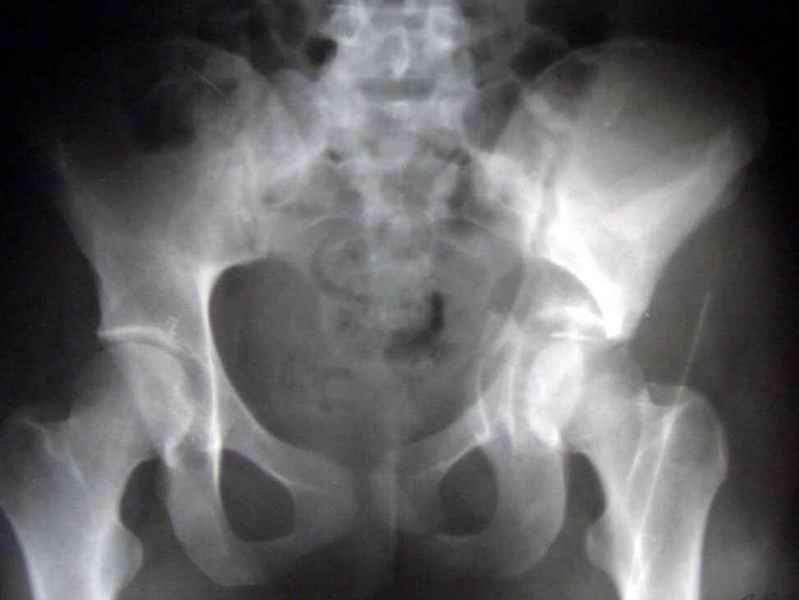
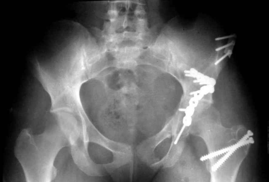
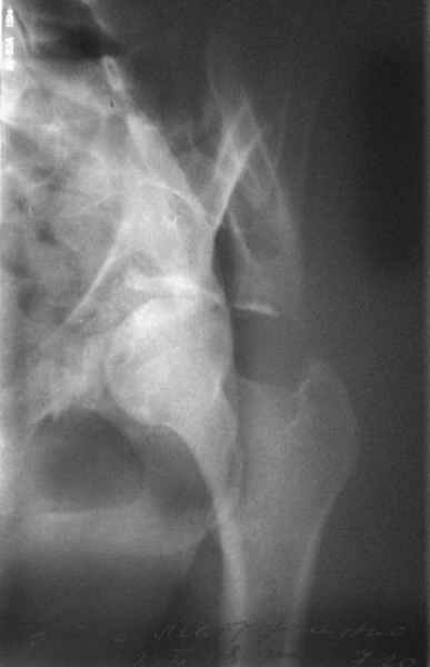
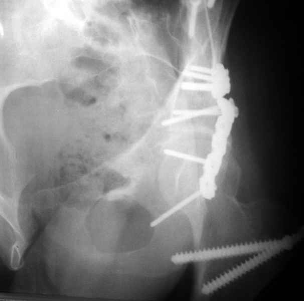
Посылаю схемы и 3D реконструкцию подобного повреждения. Называется он полным высоким двухколонным переломом вертлужной впадины, а "переломы крыла и тела подвздошной кости" входят в это понятие.

Вариантов остеосинтеза много (можно и не оперировть, т.к. конгруентность при таких переломах как правило сохраняется)
1 закрытая репозиция аппаратом + фиксация через проколы винтами
2 закрытая репозиция передней колонны + открытая задней колонны из задне-неружного доступа
3 открытая репозиция передней колонны из подвздошнго доступа + открытая задней колонны из задне-наружного доступа
4 открытая репозиция из илиоингвинального доступа
5 открытая репозиция из Y образного доступа
Я бы ориентировался на Y образный доступ
или из двух если есть сомнения в целостности задних отделов крыла.
прикладываю схему доступа и случай.
Одним задне наружным переднюю колонну не достать, а илио-ингвинальный более сложный не позволяет контролировать суставную поверхность и трудно управлять задней колонной.
Желаю удачи
|
[
Ответить ]
|
( Ответить )
|
|