вверх
отправить
поиск
админ
главная
|
врожденный вывих бедра с неартрозом |
 |
 |
 |
Отправлено А.В.Владзимирский 05 Май 2006, 14:57 ДНИИТО
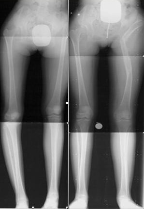
Коллеги из отделения детской ортопедии и травматологии обратились за консультацией. Девочка, 12 лет. Диагноз: врожденный вывих левого бедра с образованием неартроза, coxa valga sininstra, укорочение левой нижней конечности до 5 см, варусная деформация левого голеностопного сустава.Из анамнеза - диагноз был выставлен после рождения, получала функциональное лечение, в 1995 г. - скелетное вытяжение, потом гипс. В 96-ом разрешили осевую нагрузку в шине Виленского. Из-за неких семейных проблем перестали наблюдаться у врача. Через год - перелом н/3 левой голени, закончившийся неправильным сращением. В 1999 г. - остеотомия и АВФ. В настоящее время - соматически без особенностей, ходит самостоятельно, объем движений в тазобедренном суставе: отведение - Д 120, С 110; ротацию снаружи-внутрь - Д 40-30, С 15-20, общее укорочение конечности 5 см, в т.ч. голени - 1,5 см. 12 мая планируется консилиум. Очень хотелось бы узнать ваши мнения по поводу оперативного лечения? Заранее благодарим! С уважением, А.В.Владзимирский Донецкий НИИ травматологии и ортопедии
<
|
>
|
|
Ответить
|
Re: врожденный вывих бедра с неартрозом
Odessky Jacob M.D. 05 Май 2006, 19:14
|
Уважаемый д-р Владзимирский!
Прежде, чем выбрать тактику лечения, для начада очень важно ответить на следующие вопросы:
1. Какого истинное укорочение сейчас и какое оно будет по окончании роста.
2. Какие деформации есть на поражённой конечности.
3. Какого состояние зон роста
4. Каковы ожидания от лечения самой пациентки и её родителей.
В плане обследования я бы рекомендовал следующее:
1. КТ для измерения длины ног и Ротационный Профиль.
2. Рентгенография таза с тазобедренными суставами стоя на двух ногах и на каждой в отдельности.
3. Рентгенография ног на всю длину с захватом тазобедренных и голеностопных суставов стоя на двух ногах с компенсацией укорочения.
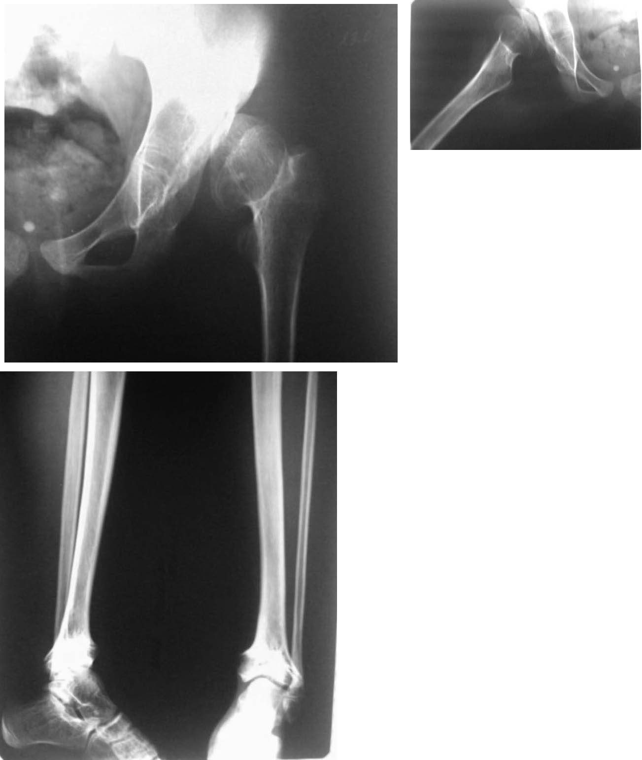
Пока, на основании имеющегося описания и снимков, я бы предложил Реконструкцию тазобедренного сустава по Илизарову (Вальгизирующую подвертельную остеотомию бедра с Варизирующей остеотомией диафиза бедра)и удлинением бедра. Закрыть дистальную зону роста на малоберцовой кости и Супрамаллеолярную остеотомию обеих костей голени для исправления деформации и удлинения.
С уважением!
|
[
Ответить ]
|
Re: врожденный вывих бедра с неартрозом
Odessky Jacob M.D. 06 Май 2006, 03:51
|
Уважаемый Ильдар!
На мой взгляд,тройная остеотомия таза показана при конгруентной головке бедра.
Что касается Хиари - её можно выполнить при неконгруентной головке, но в данном случае эта операция не приведёт к усилению отводящих мышц бедра и к снижению давления на головку, что приведёт к болевому синдрому в короткий срок!
Я не настолько категоричен, но увы не совсем согласен с тем, что опорные остеотомии нарушают биомеханику конечности! Позволю себе привести пример, в котором остеотомия восстановила эту биомеханику.
Я согласен с Вами, что вальгизирующие остеотомии ослажняют протезирование тазобедренного сустава, но, позвольте, правильно проведённая восстановительная операция делает протезирование ненужным.
С уважением
3.jpg
21KB (21945 bytes)
|
[
Ответить ]
|
Re: врожденный вывих бедра с неартрозом
Ильдар Ф. Ахтямов 07 Май 2006, 09:09
|
Уважаемый Антон!
Это классический случай высокого врожденного вывиха бедра у подростков. На сегодня существует несколько направлений в лечении подобной патологии в детской ортопедии:
- Формирование дополнительной точки опоры по Илизарову, с одновременным удлинением голени (если есть укорочение),
- Формирование крыши вертлужной впадины (возможно по Хиари),
- Тройная остеотомия таза (типа Соколовского) для создания полноценной опорности в тазобедренном суставе,
- Низведение бедра до уровня естественной вертлужной впадины на АВФ с последующим формированием крыши.
Предпочтительны второй и третий варианты, поскольку это этап для последующей артропластики тазобедренного сустава при развившемся диспластическом коксартрозе. Возможно этапное удлинение голени.
Категорически возражаю против формирования опорных остеотомий, поскольку это нарушает биомеханику всей конечности, отражается и на коленном суставе, а в дальнейшем мешает эндопротезированию ТБС.
"Прошлогодние" пропагандисты формирования доп. точки опоры по Илизарову сейчас "активно делают" науку на преодалении трудностей при эндопротезировании этих больных. Вам это надо? АИФ.
|
[
Ответить ]
|
врожденный вывих бедра
Отправитель: Анна Кузнецова 26 Февраль 2011, 13:15
|
Добрый день уважаемые специалисты!
Мы из Кривого Рога
У моей дочери врожденный вывих ТБС.
На данный момент ей 12 мес.
С 3-Х месяцев мы были 4 мес в стременах и месяц в аппарате.
После (2.11.10) назначения на вытяжку с закрытым вправлением под наркозом. Мы незамедлительно легли в больницу. Дочь проходила в гипсе 2 месяца после вправления.
17.01.11 мы его сняли и одели аппарат. На данный момент ребенок находится в аппарате. А также сделали ренген.
Я вас очень прошу, прокоментируйте рентген(рентген сделан в аппарате). Также 14.02 сделали узи. За месяц появились ядра окостенения.
Я очень на вас надеюсь и очень прошу. Лечащие врачи с моего города не могут дать точную картину итогов лечения. Я боюсь за утраченное время.
А также возможна ли у вас консультация?
Заранее благодарна.
С большим уважением.
Анна
в аппарате, после снятия гипса.jpg
340KB (349175 bytes)
|
[
Ответить ]
|
|
( Ответить )
|
|