ВХОД ДЛЯ ПАЦИЕНТОВ
вверх
поиск
админ
главная
исходное
|
Re: гипоплазия кости бедра.епифизиолиз.
послал Евгений 21 Май 2006, 15:14
|
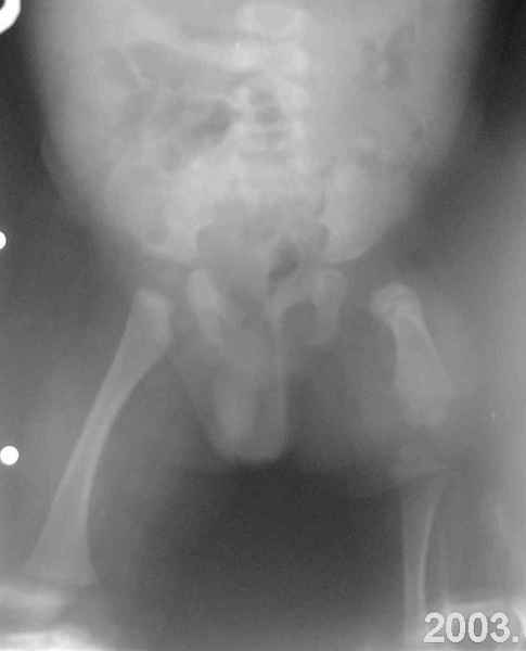
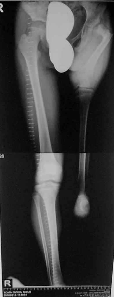
Извините за задержку(по техническим обстоятельствам) еще просим извинения за ошибки (трудный перевод). Больной с врожденной гипоплазией проксимальной части бедра, с ацетабулярной дисплазией. В 6 лет первая операция по стабилизации тазобедренного сустава прилагаю Рг. К нам обратился в следующей ситуацией:укорочение на 26см нижней конечности, соха flecta - 45 °.подвижной до 100°, genu flexum 25-30° мобильный до 90°. Активность мышц бедра- очень слабое, мышцы голени и сама голень отстающей в развитии. В настоящее время пациент ходит самостоятельно с протезом. Спасибо всем еще раз за присланные варианты лечения.Rx при рождении:ниже

Rx на сегодняшнии день

|
Послать ответ |
Обратите внимание: Поля с жирными названиями обязательны.
Старайтесь отвечать в рамках обсуждаемой темы, а не начинать новые обсуждения.
Указывайте адекватную тему сообщения, чтобы было ясно, о чем оно.
Не послайте сообщений не по теме (оффтопик), раздраженных, грубых или обидных комментариев. Здесь это неуместно.
|