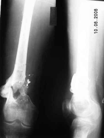
Возможно, проф. Лазарев предложит другой вариант, а в наших условиях мы бы закрыто заштифтовали бы бедро антеградно. Устранили бы варус, используя голень как рычаг, вероятнее всего, даже дистрактор не понадобился бы. В приницпе, можно и ретроградно ири наличии движений в колене, но варус будет труднее устранить - можно и предварительно аппаратом в таком случае.
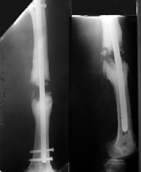
Стержень можно использовать и обычный потолще, но лучше бы с возможностью введения большего, чем два фронтальных, числа запирающих винтов.
Учитывая наличие этой мощной спайки, запереть можно сразу динамически.
Рефрактур уж точно можно будет не опасаться, а за несколько месяцев даже при отсутствии заполнения костью по всей окружности, этот обходной "мостик" упрочнится и возьмет на себя нагрузку. В приложении пример такого рода "эндопротезирования диафиза", прошло больше 3 лет.

Пациентка, страдающая еще и инсулинозависимым диабетом, не хромает, работает инженером.
|