AOTRAUMA.ORG Центр Илизарова  

Ортопедия и травматология Общие вопросы/General questions Help Информационные технологии в медицине
 вверх
 отправить
 поиск
 админ
 главная


Остеомиелит
Ортопедия и травматология Отправлено Антон Коваленко 24 Июнь 2006, 23:50
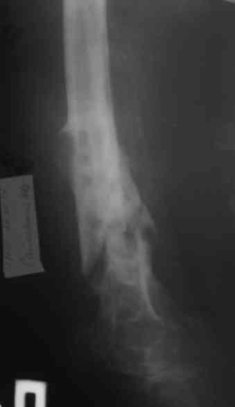
Уважаемые коллеги! Пациент лечился по поводу перелома н/3 бедра 1 год назад.
В настоящий момент: Несросшийся перелом н/3 правого бедра. Остеомиелит, свишевая форма.Контрактура коленного сустава.
Из свища скудное гнойное отделяемое. Как минимизировать количество операций, максимально улучшить качество жизни, сократить время пребывания в аппарате внешней фиксации, т.е. вернуть больного к нормальной жизни за минимальное количество ходов?
Да, стоит наверное добавить, что у нас отсутствует ЭОП. Как вы оцените следующую тактику: санация - антеградная установка спейсера на сплошном штифте + внешняя фиксация на 2 месяца - восстановление объема движений в коленном суставе?

<  |  >

 

  • Сообщения о Ортопедия и травматология
  • Также Антон Коваленко
  • Связаться с автором
  • Ответить

    Re: Остеомиелит
    Alexander Rykov 24 Июнь 2006, 23:56
    Не факт, что поможет. Вариант классический в стране ГА Илизарова - санация - удаление всего мертвого с резекцией и потерей длины - аппарат для сращения и восстановления длины в один или два этапа (судя по ситуации). Многократно опробован. Тем паче, что остеомиелит хоть и травматический (операционный), но не канальный-тотальный (от штифта), а достаточно локален (от пластины).

    А. Рыков Хабаровск.


    [ Ответить ]

    • Re: Остеомиелит
      Отправитель: Anton Kovalenko 24 Июнь 2006, 23:58
      РАГ> Не факт, что поможет.

      Не факт что поможет - что?

      РАГ> Вариант классический в стране ГА Илизарова - санация -

      От санации никто не отказывается!

      РАГ> но не канальный-тотальный (от штифта),
      РАГ> а достаточно локален (от пластины).


      Штифт со спейсером предлагается не для санации тотального остеомиелита, а для создания депо антибиотика и уменьшения срока пребывания в аппарате Илизарова. А сам АВФ нужен по причине того, что изготовив спейсер на сплошном штифте, мы без ЭОПа вряд ли заблокируем дистальные винты, следовательно, не сможем избежать ротации на штифте по крайней мере два месяца.


      [ Ответить ]
      • Re: Остеомиелит
        Отправитель: Alexander Rykov 25 Июнь 2006, 00:00
        Привет. Я имел в виду предложенную Вами программу лечения. Поражение кости остеомиелитическим процессом (судя по рентгенограммам) не канальное - когда спейсер можно поставить в канал после санации на какое-то время, а по всей окружности кости - когда придется делать спейсер в виде простой "болванки на арматуре). Вероятнее всего при хорошей санации получится дефект и укорочение. При втором этапе (как я понял, вы планируете БИОС) не факт, что восстановите длину и не "полыхнет" инфекция. Поэтому и предложена другая программа. Ваше право выбора - удачи на сложном пути избавления больного от ятрогенного о\миелита. Если проинформируете, что получилось, спасибо.
        С приветом А. Рыков.

        [ Ответить ]
        • Re: Остеомиелит
          Отправитель: Коваленко А.Н. 25 Июнь 2006, 22:21
          Спасибо за подробный комментарний. Еще раз посмею себе воспользоваться Вашим опытом и задам следующий вопросы. Сколько больному (при лечении аппаратом) ориентировочно носить аппарат и когда приступать к лечению контрактуры коленного сустава?
          Постараюсь предоставить послеоперационные и отдаленные результаты.

          [ Ответить ]

     

    ( Ответить )

    Powered by Zope  Squishdot Powered MedLink
    Посетитель: 0175546
      "По форме правильно, а по существу - издевательство" В.И.Ленин
    ©2001-2019Orthoforum Coordinator.
    [ Главная | Отправить сообщение | Поиск | Админ ]