ВХОД ДЛЯ ПАЦИЕНТОВ
вверх
поиск
админ
главная
исходное
|
Re: возможно ли безоперационное лечение
послал Попов Виктор, г.Караганда 12 Июль 2006, 10:48
|
Господин Корчаков Д.А.
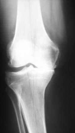
Глядя на снимки, кроме оперативного лечения в голову ничего не приходит. Хотя бы корригирующая кортикотомия б/б кости с минимальной внешней фиксацией. Высылаю пример.

На последнем фото внешний вид больной на завершающем этапе лечения (30 сутки) с трансформацией АВФ из гибридного в стержневой. Боль уходит сразу после операции. При данной Р-картине консервативно показано применение только обезболивающих препаратов - трамадол до 3 мес. по 100-200 мг в сутки, возможно внутрисуставное введение морфина 1,0 мл. При скрыто протекающем синовиите добавляются НПВС. Кроме того, должна помочь остеорефлексотерапия - в/костной иглой пункция проксимального метафиза б/б кости с введением 1,0-0,5 мл. физ.р-ра или новокаина. Возможе и вариант расширенного вмешательства по Беку: узким долотом через кожный разрез в 3-4 мм делается «прокол» кортикального слоя и маятникообразными движениями разрушается костный мозг. Боль проходит практически всегда и надолго.
Начнешь лечить подобного больного как он того хочет, т.е. консервативно, в дальнейшем могут возникнуть вопросы – зачем взялся лечить если знал, что не поможет?
С уважением Виктор
|
| Послать ответ |
Обратите внимание: Поля с жирными названиями обязательны.
Старайтесь отвечать в рамках обсуждаемой темы, а не начинать новые обсуждения.
Указывайте адекватную тему сообщения, чтобы было ясно, о чем оно.
Не послайте сообщений не по теме (оффтопик), раздраженных, грубых или обидных комментариев. Здесь это неуместно.
|