AOTRAUMA.ORG Центр Илизарова  

Ортопедия и травматология Общие вопросы/General questions Help Информационные технологии в медицине
 ВХОД ДЛЯ ПАЦИЕНТОВ
 вверх
 поиск
 админ
 главная
 исходное


Re: Открытый вн.суставной перелом голени
послал Никита Заднепровский 26 Июль 2006, 00:01


Здравствуйте, коллеги.
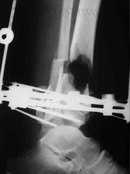
Состояние раны: постепенно очищается, заполняется грануляциями с участками фибрина. Воспаление мягких тканей вокруг раны купировано. В глубине раны, ближе к дистальному отломку, остается небольшой "гнилой угол" с весьма скудным отделяемым. Две "большие" перевязки в течение недели, с частичными некр- и секвестрэктомиями в условиях операционной.
При закрытой попытке поймать и собрать отломки дистального фрагмента спицами с напайками, удача покинула меня.:-(
Срепонировать суставную поверхность мне не удалось. Только зря прошил ткани, а отломки остались в прежней позиции. Так и подмывало провести спицу через ахилл ... или пойти открыто задним доступом и притянуть винтом. Но смущает один момент: на чем будет держаться резьбовая часть винта, если передная поверхность разбита в хлам? Винт будеть елозить и не даст должной копрессии. Есть ли резон, при нынешнем состоянии раны, пойти на открытую репозицию заднего отдела суставной поверхности?
Так и не определился с тактикой по закрытию дефекта. Вариант с гофрированием подразумевает резекцию малоберцовой кости на длину дефекта или "пустить" отломки вдоль, относительно друг друга, чтобы не наносить дополнительной травмы и не открываться? Вариант с рекурвационно-медиальной ангуляцией подкупает своей необычностью, но тоже, наверное, требует резекции малоберцовки, дабы не натянуть кожный покров с противоположной стороны голени. Думаю, оба варианта реальны для выполнения в наших условиях. Не нашел методики по ротационной технике замещения раневого дефекта предложенного Александром Николаевичем.
Нуждаюсь в комментариях и советах по дальнейшей тактике ведения такого больного.

С уважением, Заднепровский Никита Николаевич
Послать ответ

Имя
Email
Уведомление Сообщить мне по e-mail об ответах на это сообщение
Название
Комментарий
(Проверьте URL! Не забудьте написать http://!)
Кодировка
Если не знаете, что выбрать, выберите "Просто текст"!
Приложение
Можно приложить к сообщению файл c изображением, который затем будет доступен увидевшим сообщение.
Подготовка иллюстраций:
  • Рентгенограммы: черно-белые полутоновые изображения в формате JPEG (8 bit, greyscale) с разрешением от 300х200 до 1024х768 пикселов;
  • Клинические фотографии: полноцветные изображения в формате JPEG (24 bit, truecolor) с разрешением от 300х200 до 1024х768 пикселов;
  • Схемы и рисунки: черно-белые (2 bit) штриховые (line-art) изображения в формате GIF или compressed TIFF
  • Подберите степень сжатия файла JPEG и размер изображения таким образом, чтобы необходимые детали были различимы, но размер файла не превышал 75 кб.
  • Учтите, что текущая версия программного обеспечения Форума позволяет приложить к одному сообщению лишь один файл-вложение. Поэтому, если необходимо отправить несколько изображений, можно либо послать каждое как отдельное сообщение, либо в графическом редакторе объединить изображения в одно (сделать коллаж).
  • Если при подготовке изображений встречаются трудности, не стесняйтесь обратиться к координатору Форума.

  • Введите видимые символы в обратном порядке. Enter the above characters in reverse order (*Обязательно)
    В тексте сообщения можно использовать теги HTML <B> <I> <P> <A> <LI> <OL> <UL> <EM> <BR> <TT> <HR> <STRONG> <BLOCKQUOTE> <DIV .*> <DIV> <P .*>
  • Обратите внимание: Поля с жирными названиями обязательны.
  • Старайтесь отвечать в рамках обсуждаемой темы, а не начинать новые обсуждения.
  • Указывайте адекватную тему сообщения, чтобы было ясно, о чем оно.
  • Не послайте сообщений не по теме (оффтопик), раздраженных, грубых или обидных комментариев. Здесь это неуместно.
  • Powered by Zope  Squishdot Powered MedLink
    Посетитель: 0196906
      "По форме правильно, а по существу - издевательство" В.И.Ленин
    ©2001-2019Orthoforum Coordinator.
    [ Главная | Отправить сообщение | Поиск | Админ ]