вверх
отправить
поиск
админ
главная
|
Нестабильность эндопротеза тазоберденного сустава. Ревизия |
 |
 |
 |
Отправлено Савицкий Евгений 05 Август 2006, 22:02
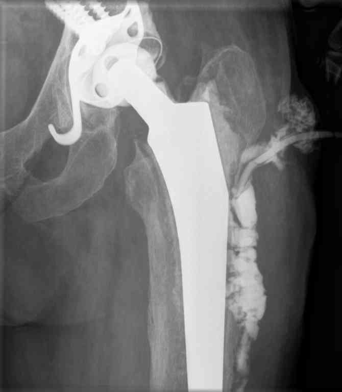
Уважаемые коллеги.Подскажите, пожалуйста, варианты ревизии у пациентки 65 лет с нагноением эндопротеза т\б сустава. В 2004 году установлен эндопротез с гладким п\о течением и заживлением раны. На протяжении всего времени больную беспокоили боли в области паха: бедра. Поступила с обстрением болевого синдрома и уже в отделении развился покожный абсцесс с формированием свища. Фистулография- в приложении. Достаточно ли удалить протез и установить промывную систему или лучше спейсер? Если спейсер, тогда как дренировать костномозговой канал? Спасибо.
<
|
>
|
|
Ответить
|
Re: Нестабильность эндопротеза тазоберденного суст
Alexander Rykov 07 Август 2006, 13:21
|
Евгений, судя по снимкам и анамнезу пациентке был установлен тотальный цементный эндопротез: ножка Мюллера прямая, кольцо Ганса, на 4-х винтах,
чаша на цемент, головка - керамическая. Произведено либо Матис либо Centerpulce (сегодня Зиммер). Гладко никогда похоже не было - инфекция
сидела в бедренном канале и разрешилась формированием свища, опять таки судя
по снимкам - идущего не в полость (не факт) сустава а в бедренный канал.
Ножка явно нестабильна. В таком случае вряд ли обойдется одноэтапной ревизией. Я бы определился с микробом - подготовил антибактериальную
программу и антисептики - выполнил хорошую ревизию сустава: убрал ногу и голову 100%, санировал бедренный канал и фрезами тоже, убрал бы 1/3 пробки (если она из кости) и всю (если она полимерная), тазовый компонент при стабильности может и оставил! (зависит от местных находок и вирулентности заразы), а может быть убрал только чашу и цемент (варианты разные), установил бы спейсер с антибиотиками (флора уже известна) с моделированием головки под 28 мм (если чашу оставил) и больше если удалил только чашу, и
еще больше (если удалил кольцо) - костномозговой канал дренировать не надо (но спейсер должен заполнить все свободное пространство (в качестве мерила используйте удаленную ногу с цементом или рашпиль последний). Дренировал бы только мягкотканную рану (полость сустава) активным дренажом и недолго.
Затем классическое ведение 3-4 месяцев спейсер и вторая ревизия с бактериоскопией из разных мест и установка новых компонентов - лучше бесцементных, или вновь спейсер на следующий срок. Все долго, дорого и нудно, но другого не дано. С уважением и удачи в трудной работе.
А Рыков
Хабаровск.
|
[
Ответить ]
|
Re: Нестабильность эндопротеза тазоберденного сустава. Ревизия
Волокитина Елена Александровна 08 Август 2006, 11:49
|
Уважаемый Евгений! В данной ситуации считаю целесообразным убрать весь протез, санировать рану, дополнительно проработать кость фрезами, рашпилями, установить спейсер с антибиотиками во впадину и в бедро (подробно методика описана глубокоуважаемым Р.М.Тихиловым в форуме, посмотрите переписку по аналогичным случаям за конец прошлого года), смоделировать в цементной впадине полусферу для головки, восстановить опорность конечности. Оставлять промывную систему или нет, будет зависеть от того, как удастся Вам санировать рану во время вмешательства. Активные дренажи и антибиотикотерапия, в зависимости от результата посева на микрофлору, обязательны. Если пациент не настроен на длительное лечение и этапные операции, то после удаления протеза и заживления раны,целесообразно разрешить ходьбу с нагрузкой для формирования неоартроза, после чего выполнить медиализирующую остеотомию для улучшения опорости конечности.
С уважением Е.А.Волокитина
|
[
Ответить ]
|
( Ответить )
|
|