AOTRAUMA.ORG Центр Илизарова  

Ортопедия и травматология Общие вопросы/General questions Help Информационные технологии в медицине
 вверх
 отправить
 поиск
 админ
 главная
 Предыдущее


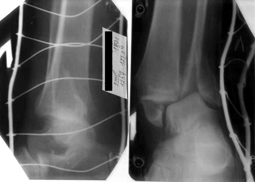
Re: Перелом обеих лодыжек и з/края б/б кости с выв
Sergey Melashenko 19 Август 2006, 12:43

Ув. коллеги.
После проведенной дискуссии пришел к выводу, что трансартикулярная диафиксация не совсем приемлима с учетом современных методик остеосинтеза. Кроме того, вычитал, что хрящ разрушается на расстоянии до 0,5 см от места проведения спицы.

Пока я был в интернатуре, предпочитали осуществлять стабильный остеосинтез с ранней функцией. См. приложения и полнотекстный вариант
статьи.

С ув. Сергей Мелашенко
Приморск, Запорожская обл.
Ukraine
  • Сообщения о Ортопедия и травматология
  • Также Sergey Melashenko
  • Связаться с автором
  • Ответить

    Re: Перелом обеих лодыжек и з/края б/б кости с выв
    Игорь Кучерявый 20 Август 2006, 22:11
    > Пока я был в интернатуре, предпочитали осуществлять стабильный
    > остеосинтез с ранней функцией.



    А вот по этому поводу можно почитать здесь.
    Там доктор Семенистый хорошо пишет по поводу стабильной фиксации и ранней функции.

    С уважением,
    Кучерявый Игорь.

    [ Ответить ]


    ( Ответить )

    Powered by Zope  Squishdot Powered MedLink
    Посетитель: 0070672
      "По форме правильно, а по существу - издевательство" В.И.Ленин
    ©2001-2019Orthoforum Coordinator.
    [ Главная | Отправить сообщение | Поиск | Админ ]