AOTRAUMA.ORG Центр Илизарова  

Ортопедия и травматология Общие вопросы/General questions Help Информационные технологии в медицине
 вверх
 отправить
 поиск
 админ
 главная


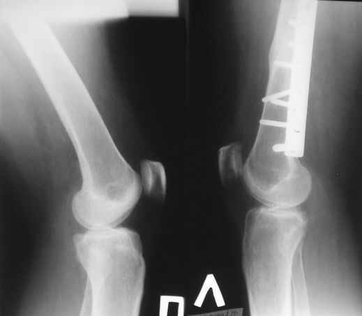
Пластина на бедре
Ортопедия и травматология Отправлено Юрий Алексеевич Булахтин 14 Август 2006, 17:37 Камчатский Военно-морской госпиталь
Уважаемые коллеги!
На консультацию пришла женщина, 40 лет. В 2004г. автодорожная травма - перелом бедра. Остеосинтез пластиной. Мягкие ткани зажили первичным натяжением, перелом сросся.

Укорочение бедра 0,5 см. Беспокоят постоянные боли в области колена. Снимки на руках были только вот эти.
Думаю, что оперировавшие коллеги не устранили ротационное смещение. Какие у кого соображения в отношении дальнейшей тактики?

<  |  >

 

  • Сообщения о Ортопедия и травматология
  • Также Юрий Алексеевич Булахтин
  • Связаться с автором
  • Ответить

    Re: Пластина на бедре
    Alexander Chelnokov 14 Август 2006, 19:57
    ЮАБ> постоянные боли в области колена. Снимки на руках были только вот эти.
    ЮАБ> Думаю, что оперировавшие коллеги не устранили ротационное смещение.


    Это при открытой-то репозиции?
    Проверить, впрочем, несложно - уложить коленки одинаково в 0 градусов ротации, и сделать обзорный снимок таза с тазобедренными суставами. По различиям контуров можно сориентироваться. Более точно померять антеверсию можно, сделав аналогичный снимок в положения сгибания 90 градусов в тазобедренных и коленых суставах.
    Но для мальротации ее жалобы не самые характерные. Надо в любом случае снимки тазобедренных суставов сделать. И посмотреть амплитуду движений.
    [ Ответить ]

    Re: Пластина на бедре
    дмитрий бондарь 14 Август 2006, 20:21
    Здравствуйте!Посмотрите Т\Б сустав и поясничный отдел позвоночника
    С уважением Д.Б.
    [ Ответить ]

    Re: Пластина на бедре
    Рубан Алексей Анатольевич 15 Август 2006, 00:17
    Посмотрев рентген возник вопрос. В пластине ли дело? В нижней трети бедреннй кости и дистальном эпифизе участок порозности с довольно четкими контурами. Возможно формируется или сформировалась киста. Иногда они дают боли за счет повышения внутрикостного давления.

    С уважением Рубан А.А.

    [ Ответить ]

    Re: Пластина на бедре
    Alexander Rykov 15 Август 2006, 02:02
    Возможно имела место травма коленного сустава (рентгеннеконтрастная), что на фоне перелома бедра не заметили. Сейчас - ее следы. Поискать в коленке
    следует. А Рыков.
    [ Ответить ]

    Re: Пластина на бедре
    дмитрий бондарь 15 Август 2006, 21:23
    День добрый!Мизера ходят парами!Сегодня убрал пластинку с бедра у б-го с подобными болями.В дистальном отделе осумкованный абсцесс диаметром до3 см.Клинико-лабораторные показатели в норме...не ожидал...неприятно...
    С уважнием Д.Б.
    [ Ответить ]


    ( Ответить )

    Powered by Zope  Squishdot Powered MedLink
    Посетитель: 0214230
      "По форме правильно, а по существу - издевательство" В.И.Ленин
    ©2001-2019Orthoforum Coordinator.
    [ Главная | Отправить сообщение | Поиск | Админ ]