Ответить
|
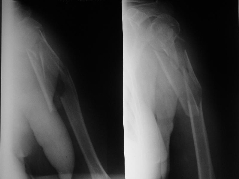
Re: Оскольчатый перелом плеча
Djoldas Kuldjanov 17 Август 2006, 14:00
|
Доминирующая ли рука и какая профессия?
Если выбор на интрамедулярный штифт, я бы сделал КТ головки, информация необходима для определения вовлечения головки в перелом, имеется опасность
расколочения и для ориентира расположения блокирующих шурупов.
Другой вариант, небольшой гипс на локтевой сустав как груз для тракции, повязкой за кисть выше-вниз можно контролировать сгибание и разгибание на место перелома, небольшая отводящая подушка в живот (у женщин молочная железа в зоне перелома
создает варус)сделать ренген снимки через одну недели. Перелом низкоэнергетический, может быть, без операции обойдется.
|
[
Ответить ]
|
Re: Оскольчатый перелом плеча
Отправитель: Maxim Agalakov 17 Август 2006, 14:03
|
"Рука не доминирующая, но тоже нужна" - А.Н. Челноков. Больная уже лечилась консервативно в гипсовой повязке и на вытяжении, в настоящее время настаивает на оперативном лечении.
> перелом, имеется
> опасность
> расколочения и для
> ориентира
> расположения
> блокирующих шурупов
Есть и другие косые снимки, на которых не определяется вовлечение головки, если успеем - сделаем КТ. Спасибо за интерес к нашему случаю.
|
[
Ответить ]
|
|
Re: Оскольчатый перелом плеча
tigran 18 Август 2006, 04:31
|
mozhet vozmozhno apparat Ilizarova nalozhit?
mi pokhochuiu operatsiiu odnazhdi delali ..
|
[
Ответить ]
|
Re: Оскольчатый перелом плеча
Sergey Melashenko 20 Август 2006, 21:54
|
Ув. коллеги. Интересно, насколько разрушена головка, особенно ее артикулирующая поверхность, может для начала сделать КТ головки.
На счет операции - стоит ли ее вообще делать, куда Вы собираетесь забить стержень, на расколете ли головку, если она еще целая. В любом случае Вы
не добъетесь стабильной фиксации, прийдеться иммобилизировать где-то на месяц. Вопрос: какова будет функция после травматичной операции, а она
имеенно таковой будет и последующей иммобилизации. ВЧКДО сделать не получиться - не за что зацепиться.
Предлагаю вести больную на функциональной гипсовой повязке по Сармиенто. Под собственной тяжестью предплечья и н/3 произойдет постепенная тракция
плеча по оси с последующей самопроизвольной репозицией и сращением.
Причем в плечевом и локтевом суставах будут сохраняться небольшие движения, стимулирующие кровообращение и, соответственно, сращение.
Главное в последующем заняться хорошей реабилитацией.
У меня был примерно похожий случай, веду консервативно, уже занимаюсь ЛФК. Динамика хорошая. Завтра вышлю снимки.
Благодарю за внимание.
С ув. Сергей Мелашенко,
Приморск, Запорожская обл.
Ukraine
|
[
Ответить ]
|
Re: Оскольчатый перелом плеча
Отправитель: Maxim Agalakov 20 Август 2006, 22:18
|
> В любом случае Вы
> не добъетесь стабильной фиксации, прийдеться иммобилизировать где-то на
> месяц. Вопрос: какова будет функция после травматичной операции, а она
> имеенно таковой будет и последующей иммобилизации. ВЧКДО сделать не
> получиться - не за что зацепиться.
Почему ЗИМО стал травматичным и нестабильным? иммобилизация не планируется, максимум- косыночной повязкой на пару недель.
> Предлагаю вести больную на функциональной гипсовой повязке по Сармиенто.
по-иоему метод Сармиенто имеет ограничения как раз для таких переломов
> Под собственной тяжестью предплечья и н/3 произойдет постепенная тракция
> плеча по оси с последующей самопроизвольной репозицией и сращением.
диафизарный компонет - возможно, головка - вряд ли
> Причем в плечевом и локтевом суставах будут сохраняться небольшие
> движения, стимулирующие кровообращение и, соответственно, сращение.
попытаемся сохранить возможность выполнения полного объема движений
С уважением,
Максим Агалаков
|
[
Ответить ]
|
Re: Оскольчатый перелом плеча
Отправитель: Alexaander Chelnokov 20 Август 2006, 22:22
|
> Ув. коллеги. Интересно, насколько разрушена головка, особенно ее
> артикулирующая поверхность, может для начала сделать КТ головки.
По нескольким снимкам в чуть разых проекциях она не фрагментирована. А если и были трещины, за прошедшие 3 недели они "слиплись", очевидно. А КТ если сделаем - еще можем испугаться увиденного :-)
> На счет операции - стоит ли ее вообще делать,
Тетушка хоть и имеет родственников, но живет одна, так что ей хочется побыстрее стать независимой в самообслуживании.
> куда Вы собираетесь забить
> стержень, на расколете ли головку, если она еще целая.
Стержень, понятное дело, надо в плечо поместить. Расколоть можно, но можно и принять меры, чтобы избежать этого - аккуратно подготовить канал в головке, ввести несколько временных спиц...
>В любом случае Вы
> не добъетесь стабильной фиксации, прийдеться иммобилизировать где-то на
> месяц.
Стабильность тут в основном зависит от дизайна фиксатора. Если в головке будет несколько винтов под разными углами, то иммобилизация не нужна. Хотели использовать длинный T2 PHN Stryker, но в наличии пока есть только короткие, 150 мм.
"Деост" обещал в июле еще проксимальные плечевые гвоздики - тоже пока нету.. Придется выходить из положения как-то.
> Вопрос: какова будет функция после травматичной операции, а она
Операция не сильно травматичная, 3-4 разрезика по 0,5-1 см. Функция, увы, зависит не только от фиксатора и хорошей операции. Без своевременной разработки иной раз на ровном месте контрактуру можно в итоге увидеть.
>ВЧКДО сделать не
> получиться - не за что зацепиться.
В головку тут можно провести несколько спиц с упорами. Но аппарат тут будет немногим лучше вытяжения на отводящей шине.
А у пожилых, бывает, от тяжести аппарата плечо из сустава вытягивается. И пациентка из области, отпускать вдаль в аппарате - чревато, держать в стационаре до сращения - прошло то время, ездить к нам еженедельно - накладно.
> Предлагаю вести больную на функциональной гипсовой повязке по Сармиенто.
Возможный вариант, хотя за последнее время несколько несращений плеча пришлось оперировать после такого рода иммобилизации. И перелом примерно такой локализации. Может, в наших краях не получается правильно этот брэйс воспроизвести.
Ну и правильно Максим говорит, лечение брэйсом больше ориентировано для диафизарных переломов.
> У меня был примерно похожий случай, веду консервативно, уже занимаюсь
Малоинвазивная внутренняя стабилизация тут привлекательна немедленным "хирургическим сращением" - в случае успеха.
|
[
Ответить ]
|
|
Re: Оскольчатый перелом плеча
Sergey Melashenko 20 Август 2006, 21:56
|
Ув. Максим.
Интересно, как можно было за 2 недели успеть полечить и на вытяжении, и в гипсовой повязке (какой?). Женщина тучная? Как обстоят дела с мягкими тканями? Нет ли проблем с сахаром?. Какая степень риска инфекционных осложнений после операции? Я все-таки сколняюсь к консервативному лечению. А не попробовать ли вытяжение на отводящей шине, см. рис 1.

С ув. Сергей Мелашенко,
Приморск, Запорожская обл.
Ukraine
|
[
Ответить ]
|
Re: Оскольчатый перелом плеча
Отправитель: Maxim Agalakov 20 Август 2006, 22:13
|
> Интересно, как можно было за 2 недели успеть полечить и на вытяжении, и
> в гипсовой повязке (какой?).
sorry, 3 нед (уточнил), повязка Волковича
> Женщина тучная? Как обстоят дела с мягкими
> тканями? Нет ли проблем с сахаром?. Какая степень риска инфекционных
> осложнений после операции?
Особых проблем с перечисленным нет
> Я все-таки сколняюсь к консервативному
> лечению. А не попробовать ли вытяжение на отводящей шине, см. рис 1.
категорически отказывается от конс лечения
|
[
Ответить ]
|
Re: Оскольчатый перелом плеча
Отправитель: Sergey Melashenko 20 Август 2006, 22:43
|
> категорически отказывается от конс лечения
Попробуйте рассмотреть возможность закрытого ВЧКДО аппаратом Илизарова.
С ув. Сергей Мелашенко,
Приморск, Запорожская обл.
Ukraine
|
[
Ответить ]
|
|
Re: Оскольчатый перелом плеча
Maxim Agalakov 20 Август 2006, 22:34
|
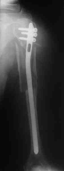
Уважаемые коллеги.
Прооперировали больную с переломом плеча все же гвоздем, Фото в приложении.

|
[
Ответить ]
|
Re: Оскольчатый перелом плеча
Отправитель: Никита Заднепровский 20 Август 2006, 22:38
|
Интересно, а канал рассверливали?
Гвоздик похоже ЦИТОвский?
Полагаю, бабушку можно поздравить с обретением
независимости. Судя по снимкам, неврологических расстройств нет и такая пациентка выпишется после снятия швов.
Какие рекомендации Вы дадите этой женщине на ближайшие 6 месяцев?
С уважением, Заднепровский Никита Николаевич
|
[
Ответить ]
|
Re: Оскольчатый перелом плеча
Отправитель: Maxim Agalakov 20 Август 2006, 22:42
|
> Интересно, а канал рассверливали?
минимально
> Гвоздик похоже ЦИТОвский?
точно
> Какие рекомендации Вы дадите этой женщине на ближайшие 6 месяцев?
ЛФК, ну и гиревым спортом не заниматься:)
|
[
Ответить ]
|
Re: Оскольчатый перелом плеча
Отправитель: Alexaander Chelnokov 20 Август 2006, 23:36
|
Немножко уточню ответы Максима.
НЗ> Интересно, а канал рассверливали?
Только сформировали канал в головке. Диафиз не рассверливали. Хотя при необходимости, конечно, рассверлили бы.
НЗ> Гвоздик похоже ЦИТОвский?
Гвоздь большеберцовый нашей модификации, действительно, их делает предпричятие "ЦИТО". Тут взят 9 мм, укорочен до 240 мм, сделано дополнительное отверстие самое проксимальное, ну и для дистального винта.
НЗ> независимости. Судя по снимкам, неврологических расстройств
НЗ> нет и такая пациентка выпишется после снятия швов.
Неврологии нет, а выписать можно хоть на второй день, швы можно снять и в местной больнице.
НЗ> Какие рекомендации Вы дадите этой женщине на ближайшие 6 месяцев?
Почему так надолго? На ближэайшие недели - разработка движений, и все. Полагаю, что недель после 4 никаких рекомендаций не будет нужно, просто жить обычной жизнью сельской пенсионерки.
|
[
Ответить ]
|
|
( Ответить )
|
|