AOTRAUMA.ORG Центр Илизарова  

Ортопедия и травматология Общие вопросы/General questions Help Информационные технологии в медицине
 вверх
 отправить
 поиск
 админ
 главная


Эндопротез 1 пальца
Ортопедия и травматология Отправлено Arshak Mirzoyan 03 Сентябрь 2006, 19:27
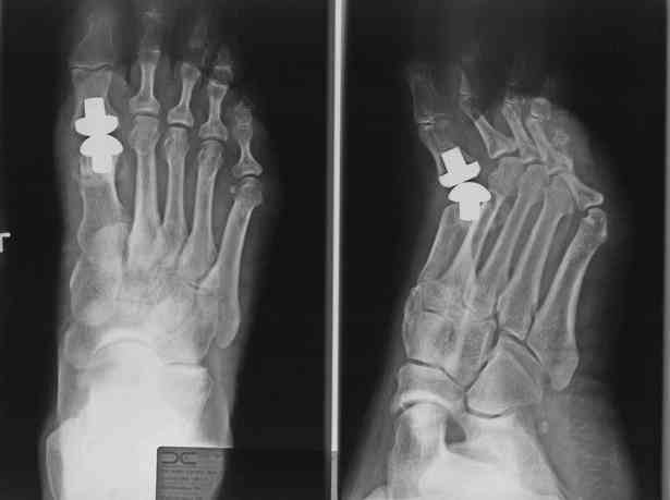
Уважаемые коллеги,Женщина 55 лет, живет в Литве, жалуется на сильные боли, отечность. Со слов больной по телефону, около года назад, предположительно по повду halluxvalgus, было проведено эндопротезирование плюснефалангового сустава.
Можно предположить нестабильность одного или обейх компонентов эндопротеза (?) Что посоветовать, куда направить на очную консультацию, лечение?
Благодарю заранее,
Аршак Мирзоян

<  |  >

 

  • Сообщения о Ортопедия и травматология
  • Также Arshak Mirzoyan
  • Связаться с автором
  • Ответить

    HP-Compaq nc6000 коробка, документация , пол-цены от нового
    VEGLAS - SPB 09 Октябрь 2006, 15:18
    Продаю отличный игровой ноутбук в Санкт-Петербурге Hewlett-Packard-Compaq nc6000 на Centrino

    Конфигурация ноутбука: процессор - Intel Pentium-M 1.4 Ghz (не Celeron)
    video Ati Radeon 9600 - в отличие от других видеокарт имеется поддержка пиксельных шейдеров, с установкой доп. памяти
    вполне позволяет играть в DOOM3-QUAKE 4, Lara Croft Tomb Raider Legend, Battle Field 2, Need For Speed: Hot Pursuit 2, в отличии от новых ноутбуков Acer.
    память 256Mb PC2700 (512Mb +25$)
    жесткий диск 30gb 5400RPM
    привод DVDROM, могу поставить DVDCDRW за 40$, но при текущей цене на 1Gb флешки особого смысла нет.
    отлична яркая матрица 14 дюймов
    Порты и периферия: COM (!), LPT, IrDA, USB 2.0 2 шт, PCMCIA 2 шт, S-video out, modem 56k, LAN 10/100/1000Mbit (!)
    Внутренний модуль bluetooth и WiFi - как опция.
    вес ноутбука 2.25кг!!!
    аккумулятор держит до 3,5 часов - как новый.
    В комплекте коробка, описание ноутбука, драйвера

    Подробное описание ноутбука тут

    Состояние хорошее, коробка, документация. Продается в связи с переходом на более мощный ноутбук HP.

    Остаток гарантии 3 месяца, гарантийный талон от фирмы VEGLAS.

    Теперь о цене. Продается за 15600 руб.

    Если отбросить все неразумные предложения по 40-50 тыс руб - почти пол-цены нового ноутбука nc6000 :)

    Для сравнения цены на Яндексе: тут

    Аргументированный торг принимается по тел. (812)600-10-25 или ICQ 333882008, Вера.

    [ Ответить ]


    ( Ответить )

    Powered by Zope  Squishdot Powered MedLink
    Посетитель: 0221378
      "По форме правильно, а по существу - издевательство" В.И.Ленин
    ©2001-2019Orthoforum Coordinator.
    [ Главная | Отправить сообщение | Поиск | Админ ]