вверх
отправить
поиск
админ
главная
|
множественная эпифизарная дисплазия? |
 |
 |
 |
Отправлено Виктор 13 Сентябрь 2006, 21:02
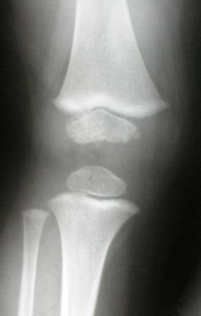
Уважаемые коллеги! Помогите уточнить диагноз. На ортопедический прием мама привела упитанного 3 летнего мальчика. Родился и рос нормальным ребенком. Последнее время стал жаловаться на ножки. Мама заметила Х-образную деформацию нижних конечностей. При осмотре отмечена легкая вальгусная деформация коленных суставов, плоскостопие. Предполагаю, что это МЭД - множественная эпифизарная дисплазия. Р-грамма прилагается. Какие варианты лечения?. С уважением Виктор
<
|
>
|
|
Ответить
|
Re: множественная эпифизарная дисплазия?
Evgueny Tchekashkine 15 Сентябрь 2006, 00:30
|
Виктор, Здравствуйте,
Для начала понаблюдайте ребёнка в динамике: замеряйте расстояние между внутр.лодыжками при сомкнутых коленных суставах с интервалом в 3-4 мес. Зачастую варус/вальгус у детей этого возраста спонтанно коррегируется.
Порекомендуйте ортопедическую обувь - поддержка внутреннего продольного свода, физио для стоп, направленное на укрепление коротких мышц стопы,
ходьба без орт. обуви, т.е. босиком не желательна. Контроль за весом тела.
Если деформация прогрессирует в динамике , то обычно выполняем коррегирующую варизирующую шеврон остетомию дистального отдела бедра в один этап на обоих ногах при симметричности процесса.
Одной из причин прогрессирования варус/вальгус отклонения мех оси коленного сустава -врожденная или приобретенная (менингококковая инфекция) патология ростковой зоны - формирование соед.тканных тяжей от эпифиза к метафизу в то
время, когда соседняя зона остается активной в плане продольного роста.
Томография, ЯМР позволят прояснить ситуацию.
При более близком рассмотрении Рг создается впечатление неоднородности структуры зоны роста в латералных отделах дист. бедра при нормальной
структуре медиальной пластинки. Эпифизы, на мой взгляд, выглядят вполне симметричными и не измененными.
Евгений И.Чекашкин
|
[
Ответить ]
|
Re: множественная эпифизарная дисплазия?
Виктор 15 Сентябрь 2006, 22:01
|
Уважаемый Евгений! Спасибо за обстоятельный совет. Обязательно сделаю КТ или МРТ. Неоднородность структуры зоны роста я, к сожалению, не заметил. По-моему, возникают ассоциации с механизмом развития избыточной антеверсии шейки бедра. Но, все-таки у меня остается впечатление «сжатости» метафизов, особенно бедра.

Для иллюстрации привожу пример из «Нормальной рентгеноанатомии костно-суставной системы детей». В. И. Садофьева. ЛЕНИНГРАД «МЕДИЦИНА» 1990
С уважением Виктор.
|
[
Ответить ]
|
Re: множественная эпифизарная дисплазия?
Andre Pakh 17 Сентябрь 2006, 00:28
|
В> Уважаемые коллеги! Помогите уточнить диагноз. На ортопедический прием мама привела
В> упитанного 3 летнего мальчика. Родился и рос нормальным ребенком. Последнее время стал
В> жаловаться на ножки.
Вечером,ночью? Как часто? Нагрузка?
В> это МЭД - множественная эпифизарная дисплазия. Р-грамма прилагается. Какие варианты
^^^^^^^^сурово ;) В любом случае одних снимков коленных суставов для такого вывода недостаточно. По снимкам- норма
Best regards,
Andre_Pakh
|
[
Ответить ]
|
Re: множественная эпифизарная дисплазия?
Виктор 17 Сентябрь 2006, 07:14
|
Уважаемый Andre! Спасибо. Отвечаю
««Вечером,ночью? Как часто? Нагрузка? По снимкам- норма
Боль беспокоит в течение дня после того, как много побегает - просится на ручки потому, что устали ножки. Сопровождается ли усталость болью трудно определить, со слов матери мальчик в это время не плачет. Спасибо за комментарий. Виктор.
Всем спасибо за комментарии. Вероятно, на этом и успокоюсь. Буду придерживаться советов Евгения.
|
[
Ответить ]
|
Re: множественная эпифизарная дисплазия?
mark eidelman 23 Сентябрь 2006, 17:30
|
Eto obychnyi snimok, moghet est valgus( so what?), no nikakogo MED net, ne pugaites i ne pugaite roditelei
|
[
Ответить ]
|
( Ответить )
|
|