вверх
отправить
поиск
админ
главная
|
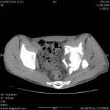
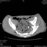
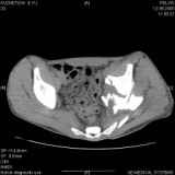
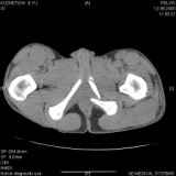
Повреждение вертлужной впадины 2,5 мес. |
 |
 |
 |
Отправлено Leonid Pollyak 17 Сентябрь 2006, 23:52
Уважаемые коллеги! Хотелось бы услышать совет по тактике лечения представлленого больного.Поступил после лечения в одном изотделений области. Травма 2,5 месяца назад. После выведенияиз шока был произведен остеосинтез перелома бедра, предплечья, до перевода к нам проводилосьвытяжение по оси шейки бедра за стержень, введенный в большой вертел. На сегодня деформацияригидна, клинически мобильности не определяется. Заранее признателен. P.S. Данный вид травм не включен в перечень "высокотехнологичных операций", направить длялечения по квотам Минздрава очень сложно.
<
|
>
|
|
Ответить
|
Re: Повреждение вертлужной впадины 2,5 мес.
Evgueny Tchekashkine 18 Сентябрь 2006, 14:04
|
Уважаемый Леонид Наумович,
Тяжелый случай... Поздняя реконструкция такого перелома технически сложное дело, вероятность осложнений,неуд.результатов выше(на PubMed article Johnson, Mast, Matta, Letournell results of acetabular reconstruction 20-120 days after injury).
Принимая во внимание обширность реконструкции, вероятность осложнений( остеоартроз, аваскулярный некроз), которые в любом случае должны будут решаться артропластикой сустава, пожалуй, я бы не стал оперировать сейчас: складывать мозаику многооскольчатого перелома, мобилизуя фактически сросшиеяся воедино фрагменты - дело травматичное с сомнительным результатом.
Думаю, что стоит подождать полной консолидации переломов и месяца через 3-4 при условии неудовлетворительной функции сустава артропластика.
Всего доброго,
Евгений И.Чекашкин
|
[
Ответить ]
|
Re: Повреждение вертлужной впадины 2,5 мес.
Alexaander Chelnokov 18 Сентябрь 2006, 15:28
|
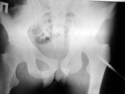
Все-таки надо бы начать не с КТ, а с обзорного снимка таза и косых проекций впадины.
|
[
Ответить ]
|
Re: Повреждение вертлужной впадины 2,5 мес.
Отправитель: Leonid Pollyak 18 Сентябрь 2006, 15:30
|

Это обзорные и косые снимки
С уважением,
Leonid
|
[
Ответить ]
|
Re: Повреждение вертлужной впадины 2,5 мес.
Отправитель: Рунков А..В. 18 Сентябрь 2006, 15:51
|
Пришли еще мелкоскоп.
|
[
Ответить ]
|
|
Re: Повреждение вертлужной впадины 2,5 мес.
Рунков А..В. 18 Сентябрь 2006, 16:02
|
Привет, Леонид. Оскольчатый высокий двухколонный перелом в такие сроки трогать не надо, т.к. это про такие переломы сказано: "кто с ножом на Ж. пойдет тот в ней и останется...".
Может быть неплохой результат при консервативном лечении и ранних движениях.
Если заболит после начала нагрузки в 4-6 месяцев - эндопротез.
|
[
Ответить ]
|
Re: Повреждение вертлужной впадины 2,5 мес.
Leonid Pollyak 18 Сентябрь 2006, 22:57
|
Спасибо за отклики. Мы решили также пока занять выжидательную тактику, позднее решать вопрос об
артропластике.
|
[
Ответить ]
|
( Ответить )
|
|