AOTRAUMA.ORG Центр Илизарова  

Ортопедия и травматология Общие вопросы/General questions Help Информационные технологии в медицине
 ВХОД ДЛЯ ПАЦИЕНТОВ
 вверх
 поиск
 админ
 главная


врожденная патология
Информационные технологии в медицине Прислано Anton Vladzymyrskyy 26 Сентябрь 2006, 22:16
из
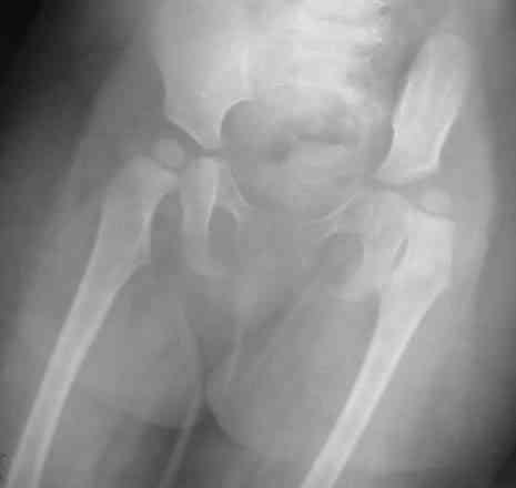
Уважаемые коллеги! Окажите, пожалуйста, консультативную помощь! Девочка, 1 г 9 м ДЗ: врожденная патология головного мозга, врожденная дисплазия, подвывих, приводящая контрактура левого тазобедренного сустава, микроцефалия, миоклонические припадки, грубая задержка психофизического развития, с-м Айкарди?
Жалобы родителей на укорочение левой ноги, невозможность ходить, сидеть. Впервые обратили внимание на укорочение левой нижней конечности 4 месяца назад. Осмотрена по месту жительства в ЦРБ, направлена в ДНИИТО. Ребенок от I беременности, I срочных родов, протекавших с анемией, осложненные преждевременным отхождением вод, вес при рождении 4100. В анамнезе - пупочная грыжа, респираторные заболевания, рахит, тетрапарез, судорожный синдром, сальмонельоз.
12.06.05. МРТ головного мозга/консультация невролога - микроцефалия со структурной аномалией головного мозга (агенезия мозолистого тела, атрезия передних рогов боковых желудочков, расширение затылочных швов с обеих сторон), задержка психомоторного развития, тетрапарез, миокинетические, эпилептические приступы, частичная атрофия зрительных нервов.
Особенности объективного осмотра в настоящее время: Умеренный тетрапарез. Признаки рахита (деформация костей черепа, четки). Дыхание пуэрильное. Тоны сердца ритмичные, шумов нет. Живот мягкий, безболезненный, печень +1,5 см. Склонность к запорам. Местный статус: резкое приведение левого бедра, относительное укорочение левой нижней конечности. Ограничение отведения в тазобедренных суставах, особенно слева. Гипертонус мышц левой нижней конечности. Ограничение сгибания в левом коленном суставе.
Объем движений (левый ТБС): сгибание-разгибание (фиксированное) 65-165; разведение - D 45, S 65. Положение сустава по отношению к линии Розера-Нелатона - D 0,5 см, S 1,5 см. Хронаксиметрия - возбудимость нервных стволов нижних конечностей в норме, двигательная реакция мышц типичная.
Ваше мнение о лечении дисплазии/подвывиха с учетом общей тяжелой неврологической симптоматики? Консервативно, оперативно, методы, сроки, этапы?
Заранее благодарю!
С уважением,
Антон Владзимирский
Донецкий НИИ травматологии и ортопедии

Послать ответ

Имя
Email
Уведомление Сообщить мне по e-mail об ответах на это сообщение
Название
Комментарий
(Проверьте URL! Не забудьте написать http://!)
Кодировка
Если не знаете, что выбрать, выберите "Просто текст"!
Приложение
Можно приложить к сообщению файл c изображением, который затем будет доступен увидевшим сообщение.
Подготовка иллюстраций:
  • Рентгенограммы: черно-белые полутоновые изображения в формате JPEG (8 bit, greyscale) с разрешением от 300х200 до 1024х768 пикселов;
  • Клинические фотографии: полноцветные изображения в формате JPEG (24 bit, truecolor) с разрешением от 300х200 до 1024х768 пикселов;
  • Схемы и рисунки: черно-белые (2 bit) штриховые (line-art) изображения в формате GIF или compressed TIFF
  • Подберите степень сжатия файла JPEG и размер изображения таким образом, чтобы необходимые детали были различимы, но размер файла не превышал 75 кб.
  • Учтите, что текущая версия программного обеспечения Форума позволяет приложить к одному сообщению лишь один файл-вложение. Поэтому, если необходимо отправить несколько изображений, можно либо послать каждое как отдельное сообщение, либо в графическом редакторе объединить изображения в одно (сделать коллаж).
  • Если при подготовке изображений встречаются трудности, не стесняйтесь обратиться к координатору Форума.

  • Введите видимые символы в обратном порядке. Enter the above characters in reverse order (*Обязательно)
    В тексте сообщения можно использовать теги HTML <B> <I> <P> <A> <LI> <OL> <UL> <EM> <BR> <TT> <HR> <STRONG> <BLOCKQUOTE> <DIV .*> <DIV> <P .*>
  • Обратите внимание: Поля с жирными названиями обязательны.
  • Старайтесь отвечать в рамках обсуждаемой темы, а не начинать новые обсуждения.
  • Указывайте адекватную тему сообщения, чтобы было ясно, о чем оно.
  • Не послайте сообщений не по теме (оффтопик), раздраженных, грубых или обидных комментариев. Здесь это неуместно.
  • Powered by Zope  Squishdot Powered MedLink
    Посетитель: 0408349
      "По форме правильно, а по существу - издевательство" В.И.Ленин
    ©2001-2019Orthoforum Coordinator.
    [ Главная | Отправить сообщение | Поиск | Админ ]