AOTRAUMA.ORG Центр Илизарова  

Ортопедия и травматология Общие вопросы/General questions Help Информационные технологии в медицине
 вверх
 отправить
 поиск
 админ
 главная


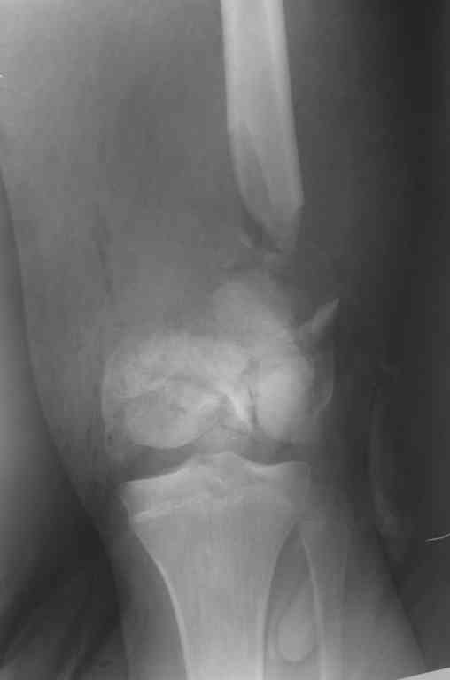
Внутрисуставной перелом бедренной кости
Ортопедия и травматология Отправлено Ekaterina A. Ozerova 18 Октябрь 2006, 21:32
Уважаемые коллеги! Хотелось бы услышать ваше мнение по тактике лечения перелома бедра.
Пациент 17 лет. Травма 07.10.2006 - попал под грузовик. Рана на бедре зажила первичным натяжением. Мы рассматриваем следующие варианты: открытая репозиция + 1)остеосинтез аппаратом внешней фиксации; или 2)фиксация пластиной LCP. Ваши предложения? Как бы вы поступили с имеющимся дефектом бедренной кости?Екатерина Анатольевна Озерова

<  |  >

 

  • Сообщения о Ортопедия и травматология
  • Также Ekaterina A. Ozerova
  • Связаться с автором
  • Ответить

    Re: Внутрисуставной перелом бедренной кости
    дмитрий бондарь 18 Октябрь 2006, 23:26
    Глубокоуважаемая Екатерина Анатольевна !IMHO АВФ следовало бы поставить еще на этапе ПХО.При монтаже АВФ стоит предусмотреть возможность выращивания регенерата,а возможно,и модуль на коленный сустав для ранних движений.после выращивания регенерата можно,наверное,будет закрыто заштифтовать,но это вопрос будущего.Не совсем ясно,что там с надколенником.Хотелось бы уточнить,локальный статус на момент поступления и объем первичного вмешательства(в частности был ли вскрыт сустав)Ставить LCP на таком переломе,в условиях рубцов и при наличии дефекта-удовольствие еще то!
    Удачи
    С уважением Д.Б.

    [ Ответить ]

    Re: Внутрисуставной перелом бедренной кости
    Антон Андрианов 19 Октябрь 2006, 20:25
    Уважаемая коллега,
    солидарен с коллегой в необходимости аппаратной фиксации на первом этапе. Спице-стержневой аппарат установленный на оба сегмента смог бы лигаментотаксисом подправить сусавные взаимоотношения. Минимально- инвазивный остеосинтез пластиной по латеральному контуру бедренной кости с введением коллапана в дефект, геля или гранул могут вполне закончиться консолидацией. А ревизию сустава, санацию хрящевой поверхности можно выполнить и позднее. Успехов Вам.
    [ Ответить ]

    Re: Внутрисуставной перелом бедренной кости
    Каминский Андрей 20 Октябрь 2006, 21:47
    Картинка конечно страшненькая, но можно рискнуть и не открываться.
    Внешняяя фиксация тем и хороша, что позволяет получать нормальные ФУНКЦИОНАЛЬНЫЕ результаты при жуткой анатомии. Попробуйте собрать закрыто. Адаптация возможна постепенная. Важно суставные поверхности сохранить конгруетными. постепенно загоните"шип" проксимального отломка в ценр мышелков и на фиксацию.
    Сустав лучше фиксировать в аппарате с шарнирами, для разработки движений. Решение с длинной оставьте на потом.
    Удачи.
    [ Ответить ]


    ( Ответить )

    Powered by Zope  Squishdot Powered MedLink
    Посетитель: 0163427
      "По форме правильно, а по существу - издевательство" В.И.Ленин
    ©2001-2019Orthoforum Coordinator.
    [ Главная | Отправить сообщение | Поиск | Админ ]