AOTRAUMA.ORG Центр Илизарова  

Ортопедия и травматология Общие вопросы/General questions Help Информационные технологии в медицине
 вверх
 отправить
 поиск
 админ
 главная


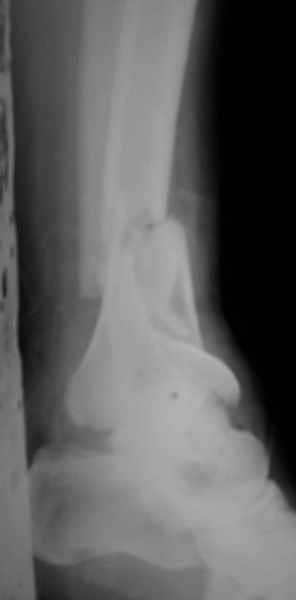
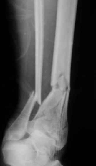
Открытый оскольчатый перелом н/3 голени.
Ортопедия и травматология Отправлено Ренжин Алексей 27 Октябрь 2006, 12:05
Здравствуйте, коллеги! 16/10/06 г. В отделение поступила больная с производственной травмой - Открытый оскольчатый перелом метафиза и метадиафиза обеих костей правой голени со смещением отлоков.
При поступлении произведено ПХО ран, наложена система скелетного вытяжения за пяточную кость. Проводилась антибактериальная терапия, перевязки. На данный момент раны зажили первичным натяжением, швы сняты. Сохраняется лёгкая гиперемия в области одной из ран. Планируя оперативное лечение хотелось бы узнать Ваше мнение о наиболее рациональном методе лечения данного перелома.

<  |  >

 

  • Сообщения о Ортопедия и травматология
  • Также Ренжин Алексей
  • Связаться с автором
  • Ответить

    Re: Открытый оскольчатый перелом н/3 голени.
    Anton Vladzymyrskyy 27 Октябрь 2006, 17:11
    По-моему мнению, ЧКО стержневым аппаратом с фиксацией стопы (перекрест спиц через пяточную кость). Можно было бы это сделать и сразу.

    С уважением,
    А.В.Владзимирский
    ДНИИТО

    [ Ответить ]

    • Re: Открытый оскольчатый перелом н/3 голени.
      Отправитель: Alexaander Chelnokov 27 Октябрь 2006, 17:15
      Этот вариант оптимален для временной фиксации.
      Сейчас надо озаботиться окончательным восстановлением анатомии суставного конца tibia. Закрыто тут вряд ли удастся многое сделать, даже если есть усилитель рентгеновского изображения, так что нужна открытая репозиция, особенно наружной половины суставной площадки. А окончательная фиксация - к чему душа больше лежит, и что ситуация позволяет. Можно зафиксировать аппаратом (циркулярным или гибридным),
      можно пластину, лучше с угловой стабильностью. В наших краях наиболее доступны LCP Distal tibia (Synthes) или Numelock (Stryker).

      [ Ответить ]
      • Re: Открытый оскольчатый перелом н/3 голени.
        Отправитель: Ренжин Алексей 27 Октябрь 2006, 22:56
        Пластин с угловой стабильностью нет. Есть реконструктивные. Два подобных случая были по весне. Оба были мужчины старше 50 лет. Один случай закончился остеомиелитом, развившимся через 2 мес. Удалили метал (2 пластины и горстку винтов) - зажило. У второго результат получше - миграция одного винта, который , соответственно, тоже удалён. Сейчас ходит с тростью. В данном случае молодая девушка. Поэтому хотелось избрать наиболее результативный вариант.

        [ Ответить ]
        • Re: Открытый оскольчатый перелом н/3 голени.
          Отправитель: Alexaander Chelnokov 28 Октябрь 2006, 11:27
          РА> Пластин с угловой стабильностью нет. Есть реконструктивные.

          Они здесь не подходят. Сейчас есть возможность приобретать необходимые фиксаторы у представителей на средства пациента или родственников, на операцию дают и инструменты. Конечно, необходимо предварительное знакомство с технологией.

          РА> Два подобных случая были по весне. Оба были мужчины старше 50 лет.
          [...]

          IMHO не стоит идти на поводу у ситуации, мол, раз есть реконструктивные пластины, так всем только их и будем применять.

          РА> случае молодая девушка. Поэтому хотелось избрать наиболее
          РА> результативный вариант.


          Если выбор все-таки будет между аппаратом и рекон. пластинками, то аппарат намного более надежен, и возможность проведения спиц и толкателей намного шире, чем винтов через пластинку. Надо в любом случае сначала восстановить форму суставной поверхности.

          [ Ответить ]
    Re: Открытый оскольчатый перелом н/3 голени.
    дмитрий бондарь 27 Октябрь 2006, 23:01
    АВФ вчера.Возможно получится репонировать суставную поверхность за счет лигаментотаксиса,а затем прошить дистальные отломки спицами с упором.открыто(мне кажется)репонировать суставную поверхность будет трудновато,много мелких отломков(может я неправ)
    С уважением Д.Б.

    [ Ответить ]

    • Re: Открытый оскольчатый перелом н/3 голени.
      Отправитель: Шарафиев Руслан 28 Октябрь 2006, 00:59
      Здравствуйте коллеги! В данной ситуации я полностью согласен с мнением Александра Николаевича! Практически любой внутрисуставной(тем более приведенный на снимках) перелом требует открытой репозиции.Судя по приведенным рентгенограммам, в области дистального тибио-фибулярного сочленения имеется "минус" ткань на tibia, которая может потребовать костной пластики.Метод фиксации любой,главное ранние движения в суставе. С уважением Руслан Ш.

      [ Ответить ]
    Re: Открытый оскольчатый перелом н/3 голени.
    Inspector 28 Октябрь 2006, 00:43
    Почему никто про малоберцовую кость не говорит? Ее длину нужно восстановить и смещение устранить. Уж чем это сделать - не особо принципиально, можно хоть спицами.
    А с б/б костью - можно аппарат, но идеально, конечно пластина с угловой стабильностью.
    А каков был размер раны при поступлении? Быть может, все вышеперечисленное можно было бы и сразу сделать...
    [ Ответить ]

    • Re: Открытый оскольчатый перелом н/3 голени.
      Отправитель: Alexaander Chelnokov 28 Октябрь 2006, 11:29
      I> Почему никто про малоберцовую кость не говорит? Ее длину нужно

      Наверно, потому, что это очевидно.

      I> А с б/б костью - можно аппарат, но идеально, конечно пластина с
      I> угловой стабильностью.


      Идеально - хорошо восстановить анатомию с минимальной операционной травмой. А чем фиксировать - дело второе, это не диафиз. Аппарат менее комфортабелен для пациента, но фиксирует не хуже, фиксирующие элементы можно вводить не в узком секторе, как пластина дает, а практически
      циркулярно. Плюс есть возможность управлять положением отломков после операции. Да и экономический фактор присутствует.

      I> А каков был размер раны при поступлении? Быть может, все
      I> вышеперечисленное можно было бы и сразу сделать...


      А что, есть возможность вернуться к моменту поступления?

      [ Ответить ]
    Re: Открытый оскольчатый перелом н/3 голени.
    Inspector 28 Октябрь 2006, 01:38
    Видел фото из Франции. Профессор G. Taglang при таких повреждениях делает интремедуллярный синтез б/б кости! А перед этим вводит канюлированный винт со стороны наружной лодыжки, устраняя смещение м/б кости.
    [ Ответить ]

    • Re: Открытый оскольчатый перелом н/3 голени.
      Отправитель: Alexaander Chelnokov 28 Октябрь 2006, 22:15
      I> Видел фото из Франции. Профессор G. Taglang при таких повреждениях
      I> делает интремедуллярный синтез б/б кости!


      Многие эпиметафизарные переломы можно штифтовать, особенно если гвоздь под это приспособлен (отверстия более дистально, кучно, и винтов можно провести больше). Хотя штифтование без ЭОП - при околосуставных переломах утомляет и сильно портит настроение.
      Но тут проблема не в фиксаторе (аппарат Илизарова вполне способен решить эту проблему, и найти его не проблема где угодно), а в первую очередь в репозиции.

      I> А перед этим вводит канюлированный винт со стороны наружной
      I> лодыжки, устраняя смещение м/б кости.


      Безусловно, вилку голеностопного сустава необходимо восстановить тем или инм способом.

      [ Ответить ]
    Re: Открытый оскольчатый перелом н/3 голени.
    Vladislav 28 Октябрь 2006, 16:40
    Berja vo vnimanije problemu mjagkih tkanej i risk otkritoj repoziciji, proboval bi fiksirovatj intrameduljarnim sterznem.
    [ Ответить ]

    • Re: Открытый оскольчатый перелом н/3 голени.
      Отправитель: Alexaander Chelnokov 28 Октябрь 2006, 21:54
      V> Berja vo vnimanije problemu mjagkih tkanej i risk otkritoj repoziciji,
      V> proboval bi fiksirovatj intrameduljarnim sterznem.


      Каким образом интрамедуллярный стержень здесь уменьшит риск открытой репозиции? Само по себе введение стержня положение фрагментов суставной поверхности не улучшает.

      К слову, тема этого обсуждения обозначена неточно, тут перелом дистального суставного конца типа 43-C, а не "открытый оскольчатый перелом н/3 голени", т.е. диафизарный, 42-.

      [ Ответить ]
    Re: Открытый оскольчатый перелом н/3 голени.
    Алексей Семенистый 30 Октябрь 2006, 02:29
    Действительно, речь идет о сложном внутрисуставном, да еще и открытом переломе 43С.3.
    Репозиция и сотеосинтез м\берцовой кости в анатомичном положении должна предшествовать вмешательству на метаэпифезе tibia. Возможно, после этого суставной перелом покажется не таким уж и страшным.
    Во-вторых, восстановление функции будет зависеть от точности репозиции и стабильности фиксации суставной поверхности tibia. Возможно потребуется костная пластика дефекта губчатого вещества.
    Каким образом крепить метаэпифиз к диафизу - вопрос десятый - возможно все: аппарат, пластина, гвоздь.
    Учитывая, что перелом был открытый и есть какая-то гиперемия вокруг одной из них (кстати, что и где это были за раны?), мы бы остановились на фиксации в аппарате, но м\берцовую кость сначала бы открыто репонировали и синтезировали пластиной.

    P.S. Думаю, что G.Taglang лечил так перелом 43С.1 или 43С.2, а каннюлированным винтом, введенным снаружи внутрь фиксировал простой суставной перелом в сагитальной плоскости.

    С уважением А.Семенистый
    [ Ответить ]

    Re: Открытый оскольчатый перелом н/3 голени.
    Alexander Artemiev 31 Октябрь 2006, 08:10
    Приветствую всех.
    1. Представленные рентгенограммы во-превых плохого качества (ну да ерунда), а во-вторых (самое главное) - в нестандартных проекциях. Невозможно оценить количество и положение фрагментов суставной поврехности. Собственно это делает обсуждение бессмысленным. Мы обсуждаем не конкретный случай, а вообще...
    2. Независимо от этого основная проблема - не в фиксации, а в репозиции. Жаль, что не сделали сразу. Видимо, придется открываться.
    3. Оптимальным представляется сочетание следующих компонентов:
    - внешний остеосинтез
    - открытая репозиция
    - допольнительная фиксация крупных фрагментов винтами с целью сокращения сроков внешней фиксации.
    4. Мне стыдно и неловко ссылаться на себя, но первые два элемента я как мог подробно и доступно описал в своей брошюрке...
    Один из кейсов -
    вот здесь...
    Сейчас бы вместо спиц возможно провели винты...
    С уважением Александр Артемьев
    [ Ответить ]

    • Re: Открытый оскольчатый перелом н/3 голени.
      Отправитель: Alexander Chelnokov 31 Октябрь 2006, 23:24
      Спасибо за высказанное суждение. Действительно, винты - хорошее дополнение к чрескостному остеосинтезу.
      По поводу приведенного примера - видимо, это страничка для пациентов?
      Этот пример не "пациента с оскольчатым переломом обеих лодыжек..." - это была бы непрямая травма, отрывные переломы. Тут как раз типичное прямое повреждение дистального суставного конца tibia, когда таран действует как молоток, а малоберцовая может вообще остаться целой. Репозиция почти хорошая, передний край остался чуть проксимальнее.
      Спасибо!

      [ Ответить ]
      • Re: Открытый оскольчатый перелом н/3 голени.
        Отправитель: Alexander Artemiev 31 Октябрь 2006, 23:26
        > Спасибо за высказанное суждение. Действительно, винты - хорошее
        > дополнение к чрескостному остеосинтезу.


        Последнее время решили возвести это в культ.. Хотя не всегда есть возможность.

        > По поводу приведенного примера - видимо, это страничка для пациентов?

        Исключительно для пациентов. Просто это единственное что оказалось под рукой. неохота было сжимать фото, цеплять их и пр..

        > Этот пример не "пациента с оскольчатым переломом обеих лодыжек..." -
        > это была бы непрямая травма, отрывные переломы. Тут как раз типичное
        > прямое повреждение дистального суставного конца tibia, когда таран
        > действует как молоток, а малоберцовая может вообще остаться целой.


        Не спорю. Но в том случае, который обсуждаем, тоже таран хорошо поработал. Хотя и попроще.
        Я привел пример репозиции суставных поверхностей.

        > Репозиция почти хорошая, передний край остался чуть проксимальнее.

        Это случай симультантного выполнения операций на позвоночнике и обоих гоелностопах.
        Другая нога - вообще в хлам, пошли на первичный артродез. Параллельно - фиксация позвоночника.
        Операция в положении больного на животе. Жаль, пациент гастарбайтер - не проследить отдаленный результат...
        Удачи всем.
        Александщр Артемьев

        [ Ответить ]

     

    ( Ответить )

    Powered by Zope  Squishdot Powered MedLink
    Посетитель: 0220451
      "По форме правильно, а по существу - издевательство" В.И.Ленин
    ©2001-2019Orthoforum Coordinator.
    [ Главная | Отправить сообщение | Поиск | Админ ]