вверх
отправить
поиск
админ
главная
Предыдущее
Весь тред
|
Re: Стоит ли фиксировать брейсом?
Коваленко А.Н. 07 Ноябрь 2006, 13:28
|
Глубокоуваемый Игороь Садовник, зачем так нагнетать страсти? Проблема состоит в оснащенности клиник, а не в том, чьего производства фиксатор. У нас в клинике тоже отсутсвует ЭОП. Поэтому чаще пользуемся импортными канюлированными конструкциями, и завидуем тем у кого есть отечественные винты 6 мм из-за возможности ранней послеоперационной нагрузки. Бедро/голень/плечо занимают 1.5-2 часа, если сплошной гвоздь время операции на бедре удваевается, на плече/голени практически нет. Открываемся редко в тяжелых несвежих случаях. Дистальное блокирование с направителем, промахи были в первых нескольких случаях,когда больного снимали со стола, сейчас без блокирования штифт не остается. Основаное время операции занимает попадание проводником в дистальный от точки взода отломок + Рг.
Попутно, разрешите поделится опытом закрытого ретроградного синтеза бедра. Внедрение тяжелая штука, пости года 2 прошло со времени обучения методике. Использовать/убедить использовать дистрактор на бедре/голени удавалось редко. Отлично дистрактор прижился на плече. Зав. отделением не знал точного плана операции(поэтому не смог помешать).Стокнулись со следующей проблемой - при попытке устранить ротацию теряли длину, при дистракиции получали ротацию, при чем при ротации телескопы очень плотно давят на бедро. Больная с ожирением, на ощупь проводили спицу проксимальной опоры, пульсацию бедренной артерии для ориентира определить не возможно. Проксимально латеральный телескоп все время оказывался длиннее, чем надо, меняли его положение.Не смотря на все это, считаю, без дистрактора данная операция заркрыто не возможна , особенно в наших условиях.
Успешный опыт пользвания дистрактором есть(я сам видел, не видел бы- бросил бы попытки пользования дистрактором). Пожалуйста, укажите на допущенные ошибки. Спасибо.

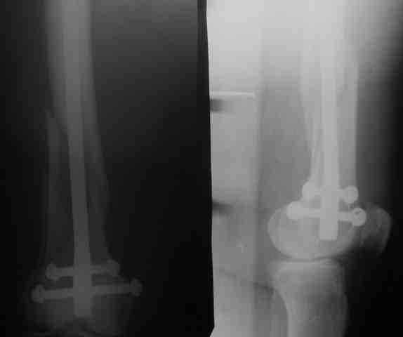
Рг в приложении.
|
|
|
Ответить
|
Re: Стоит ли фиксировать брейсом?
Игорь Садовник 07 Ноябрь 2006, 18:39
|
Увжаемый г.Коваленко,
Благодарю Вас за подробное письмо и прошу меня извинить, если тон моего замечания показался Вам слишком резким. Меня обеспокоило отношение к новым технологиям, которые являются, в какой то степени, новыми решениями все тех же проблем. Появление более сложных устройств и преодоление каких-то дополнительных барьеров никаким образом не отменяют достижений полученных на определенном этапе развития травматологической мысли. И если что то можно сделать более просто хорошо и быстро, то почему бы этому не быть примененным. Операция при использовании фиксиона занимает до 20 минут на
голени, примерно столько же на плече, ну а на бедре зависит конечно от репозиции.
Другое дело, что применим фиксион не во всех случаях.
Буду рад, если мое письмо хоть как то Вас заинтересовало. Возможно более полную информацию Вы могли бы получить у доктора Карпухина, который
единственный, как я знаю. на сегодняшний день имеет опыт такого остеосинтеза в России и у компании "Орто Прайм" в Казани, которая является поставщиком этих устройств.
С уважением,
Игорь Садовник
|
[
Ответить ]
|
Re: Стоит ли фиксировать брейсом?
Alexander Chelnokov 07 Ноябрь 2006, 19:17
|
Приветствую, Антон
КАН> нагрузки. Бедро/голень/плечо занимают 1.5-2 часа, если сплошной
КАН> гвоздь, время операции на бедре удваевается,
Если пообщаться с коллегами, которые имеют давний опыт работы с бесканальыми гвоздями, например, из Ярославля, или с пользователями гвоздей SIGN по всему миру, они скажут, что задержек из-за этого не всречают.
КАН> практически нет. Открываемся редко в тяжелых несвежих случаях.
Если нет ЭОП, нет умения/желания/возможности зондировать концы отломков иглами или тонкими спицами, то небольшой разрез над переломом для пальцевого контроля прохождения фиксатора или проводника не создает проблем.
КАН> бедра. Внедрение тяжелая штука, пости года 2 прошло со времени
КАН> обучения методике.
Приезжайте еще ;-)
КАН> Зав. отделением не знал точного плана операции(поэтому не смог
КАН> помешать).
;-))) Ох, прочитают это ему доброжелатели...
КАН> ротацию теряли длину, при дистракиции получали ротацию, при чем при
КАН> ротации телескопы очень плотно давят на бедро.
В следующий раз сделайте фото в операционной, можно будет более конкретно подсказать. Желательно стержни фиксировать так, чтобы усилия распределялось равномерно. Спицу в дистальной опоре крепить посредине дуги. Прксимальную спицу - ближе к краям дуги, отверстие в 3-4. И ве
затяуть перед основной дистракцией. Иногда мы делаем четвертый телескоп снаружи - от центра верхней дуги к центру дистальной, по диагонали к имеющмся. Надо будет попробовать поставить стержни а ля гексапод.
КАН> Больная с ожирением, на ощупь проводили спицу проксимальной
КАН> опоры, пульсацию бедренной артерии для ориентира определить не
КАН> возможно.
Если пациент на спине, спица вводится спереди назад (не наклонно изнутри кнаружи!), и спица попадает на кость, артерия всегда сильно
медиальнее. И седалищный нерв.
КАН> Проксимально латеральный телескоп все время оказывался длиннее,
КАН> чем надо, меняли его положение.
При ретроградном можно сделать проксимальную часть вообще без шарниров, то есть не наклонять дугу к бедру, тогда спицу тоже закрепить ближе к середине дуги. Мы пользуемся уже собранным дистрактором, поэтму, чтобы не переделывать, оставляем его таким, как для антеградного.
КАН> Не смотря на все это, считаю, без дистрактора данная
КАН> операция заркрыто не возможна , особенно в наших условиях.
Не так категорично - без дистрактора она труднее и травматичнее, да и промежностным упором можно раздавить все, что есть.
КАН> допущенные ошибки. Спасибо. Рг в приложении.
Снимки вполне симпатичные. Единственное, по ротации не понял, уж больно неразборчивый тот, который без гвоздя.
|
[
Ответить ]
|
( Ответить )
|
|