вверх
отправить
поиск
админ
главная
|
Гексаподный аппарат Илизарова/ Hexapod Iliazrov external fixator |
 |
 |
 |
Отправлено Яков Одесский 06 Ноябрь 2006, 15:04
Уважаемые коллеги ! Позвольте представить Вам "Гексаподный аппарат Илизарова" Dear colleges! I would like to present an Ilizarov Hexapod Apparatus. Гексапод представляет собой кинематический механизм, реализующий движения в 3-х мерном пространстве с помощью изменения длины 6-и стержней, закрепленных к 2-м платформам. Этот механизм хорошо известен в технике и применяется для имитации полётов, к примеру. The Hexapod represents the kinematic mechanism that realizes the three dimensional movements by different lengths of the six distractors connected to the two platforms. It's well known in technique and uses for imitation of flying and other machines.
 Эта система была впервые представлена в Гамбурге 11 лет назад и разработана доктором Сейде и профессором Волтером. The system has been developed in Germany and first presented at the Ilizarov meeting in Hamburg in 1995 by Dr. K. Seide and prof. Wolter.
 Гексапод сет для аппарата Илизарова состоит из 6-и телескопических стержней с переменной длиной от 105 до 240 мм, 6-и У-образных адапторов, измерительной линейки и компьютерной программы. The Hexapos set for Ilizarov apparatus consists of six telescopic distraction rods of varying length from 105-240 mm, 6 Y-adaptors, a measuring stick and the software.
 6 telescopic distraction rods | 
 6 Y - adaptors |  Software |  Measuring stick | Y-sобразные адапторы подходят для всех размеров и типов колец аппарата Илизарова и свободно распределяются по кольцам. Шаровидное соединение адапторов с телескопическими стержнями придает прочность системе. The Y- adaptors can be utilized with all types of the Ilizarov rings. It is possible to place the adaptors freely along the rings as necessary. The connection between the Y-adaptors and the distraction rods is through a universal ball and socket joint.
 Программа очень проста и не требует подключения к интернету. Базовые данные включают размеры колец, положение У-адапторов на кольцах и размеры дистракционных стержней. После введения в компьютер этих данных, программа выдает положение проксимального кольца относительно дистального. The software is very simple to use and does not need any connection to the Internet. The base data needed includes the diameter of the upper and lower rings, the positions of the Y adaptors on each ring and the length of the distraction rods. After the input of this data into the computer, the program shows the initial position of center of the upper ring in relation to the lower.
 Середина дистального кольца является центром отсчёта, From this point, all adjustments are made with specific reference to the central point of the lower ring, since this ring remains in a static position.
 относительно этой точки вводится в программу место расположения оси исправления деформации или репозиции и их величины последовательно во всех плоскостях относительно 3-х осей в 6-и степенях свободы. All adjustments can be in three planes. The CORA is entered in relation to the center of the distal ring and the desired correction entered into the computer. The software then makes the appropriate adjustments for deformity correction consistently for each plane according to the plan developed on the basis of the malalignment test along three axes with six degrees of freedom.
 После соответствующей обработки, компьютер выдаёт программу, дающую возможность с точностью до 1 градуса и 1 мм. производить закрытые манипуляции с фрагментами!!! Коррекционный план включает время коррекции, её частоту в соответствии с выбором хирурга. Каждая цифра на плане означает количество кликов на соответствующем дистракционном стержне, каждый клик составляет 0,1 мм. The software displays a plan for correction detailing the steps according to the surgeons input of the number of days and steps desired. The numbers on the slide enumerates the number of clicks on each specific distractor necessary to obtain the desired correction. Each click is a 0.1mm length of distractor.
 Кроме того, компьютер выдаёт окончательную длину стержней и изменения между кольцами, так что можно следить за процессом коррекции без дополнительных рентгеновских снимков, только по измерению длины стержней. Beyond this, the software determines the final length of the distractors and the changes between the rings so that the progress and changes can be monitored to assure that the changes have occurred appropriately along the scheduled plan.
Нет необходимости накладывать Гексаподный сет на операционном столе. Его установка и снятие занимает около 15 минут, безболезненное. There is no necessity to establish Hexapod in operation room, it application and removal is quick, taking only about fifteen minutes for each procedure, and is pain-free.
После окончания коррекции сет можно снять и установить другому пациенту. Так, к примеру, имея только 2 сета в течение первого года, мною проведены 21 коррекция. After removal, it is possible to put it to the following patient, thus, having 3-4 Hexapod sets it is possible to treat consistently big number of patients. I, for example for a year having 2 sets, have applied them 21 times.
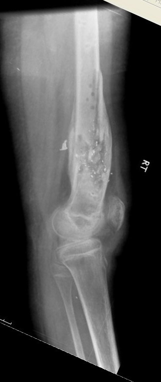
Выше приведены рентгенограммы 13-летнего подростка, страдающего от огнестрельного многооскольчатого перелома дистальной трети бедра. AO наружный фиксатор наложенный в день травмы не дал приемлемой редукции. Через три недели после перелома аппарат Илизарова был наложен без попытки одномоментной репозиции на операционном столе. There are X-Rays of a thirteen year old boy with a comminuted distal femur fracture secondary to a gunshot wound, initially treated with an AO external fixator. The alignment was unacceptable and an Ilizarov external fixator was applied three weeks after the injury. No attempt of definitive reduction was made during the surgery.
Гексаподная приставки наложена на 10 дней и приемлемая редукция была получена. The Hexapod set was applied for ten days and acceptable reduction was received.
По окончанию редукции Гексаподный сет был снят и дальнейшее ведение больного проходило в стандартном режиме аппарата Илизарова. Хороший анатомо-функциональный результат был получен. When reduction was finished, the Hexapod set was removed and further management has been continued by standard Ilizarov regime. Good anatomic and functional results were achieved.
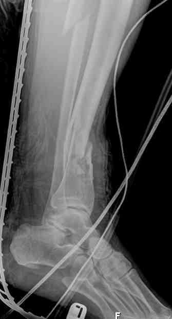
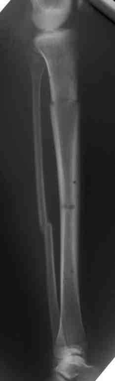
 Выше представлены рентгенограммы открытого оскольчатого перелома нижней трети голени X-rays of Compound Comminuted # Distal/3 Lt Tibia
 Операционные снимки перед и после наложения аппарата Илизарова In operation room before and after Ilizarov apparatus has been applied
  Послеоперационные рентгенограммы Postoperative X-rays
 В нижнем ряду представлены рентгенограммы после окончательной репозиции. And final reduction after Hexapod program has been finished
Одновременное и точное исправление многоплоскостной деформации является очень важным моментом, который трудно даётся при применении аппарата Илизарова, особенно при сочетании с ротационной деформацией.В этом случае гексаподный аппарат Илизарова незаменим. Simultaneous and exact correction of multilane deformities combined with rotation is very important and difficult to accept at application of Ilizarov apparatus. In these cases Ilizarov hexapod apparatus is irreplaceable.
Представлены фотографии и рентгенограммы 21летней девушки, страдающей от bilateral leg malalignment syndrome. The next figure shows pictures and x-rays of 21 y.o. female with bilateral leg malalignment syndrome
 Перед лечением. Before treatment
После деротации левого бедра и голени. After derotation osteotomy of lt femur and tibia
  Результат The final result after derotation osteotomies of rt femur and tibia.
      В верхнем ряду показаны рентгенограммы до, после коррекции и после снятия аппарата Илизарова. On the upper row the X-rays of lt leg before correction, after correction and after apparatus removal have been showed.
 
В нижнем ряду представлены два снимка после коррекции деформации правой голени. Видно, что качество коррекции не зависит от квалификационного наложения аппарата Илизарова, что было специально произведено для проверки работы программы. Lower two X-rays – rt leg after deformity correction. As you can see the quality of correction does not depend of placement of Ilizarov Apparatus
Добавление Гексаподной приставки к аппарату Илизарова сохраняет его независимость и универсальность, позволяя достигнуть более точной и аккуратной коррекции деформации посредством компьютерного обеспечения. Этот метод простой, лёгкий и экономически эффективный. Я настоятельно рекомендую его к широкому применению!!!
The addition of the Hexapod set to standard Ilizarov fixator preserves the independence and universality of the original system while enabling precision accurate corrections of deformity through its software support. It is simple, easy and economically effective. And I recommend it for use very much.
<
|
>
|
|
Ответить
|
Re: Гексаподный аппарат Илизарова
ерохин александр 06 Ноябрь 2006, 20:57
|
Большое спасибо за интересный материал.А где можно приобрести гексапод,или хотя бы комъютерную программу?При небходимости,я думаю,наши умельцы смогут его сами сделать,а вот без программы необойтись.
|
[
Ответить ]
|
Re: Гексаподный аппарат Илизарова
Отправитель: Alexander Chelnokov 06 Ноябрь 2006, 23:51
|
А программу наши умельцы не могут создать? Управление платформой Стюарта - задача не новая. Подключить к проблеме математиков, механиков... Может, и студенты справятся, надо же курсовые на чем-то делать.
Это обсуждение, вероятно, читают и сотрудники организаций, занимающихся разработкой и поставкой имплантатов - может, кто-то подключится к решению этой проблемы?
|
[
Ответить ]
|
Re: Гексаподный аппарат Илизарова
Отправитель: Alexander Chelnokov 07 Ноябрь 2006, 12:06
|
К вопросу о программах - как и предполагалось, отечественные они практически есть, cм. например, здесь.
|
[
Ответить ]
|
Re: Гексаподный аппарат Илизарова
Отправитель: Odessky Jacob M.D. 08 Ноябрь 2006, 00:39
|
Программы платформы Стюарта не адаптированны к нуждам аппарата Илизарова!!!
Программа - не проблема, тот , кто покупает сет, получает программу от фирмы.
Интересен факт того, как я познакомился с этой техникой...
Когда несколько лет назад у нас началась активная пропаганда аппарата Тэйлора, я решил используя их прогоамму соорудить адапторы для илизаровских колец, но перед тем, как взяться за это, подумал поискать в интернете, авось уже есть подобный умник!!! Всё же дешевле преобрести готовое, чем переделывать имеющееся!!!
Мне повезло... с первого поиска я нашёл в Гамбурге людей, которые давно это смастерили...
Кстати фирма называется LITOS . Информацию о них вы можете найти тут www.litos.com
Информация об учёбе будет помещена в ближайшее время на этом сайте.
С уважением!!!
|
[
Ответить ]
|
Re: Гексаподный аппарат Илизарова
Отправитель: Alexander Chelnokov 08 Ноябрь 2006, 22:26
|
OJMD> Программы платформы Стюарта не адаптированны к нуждам аппарата
OJMD> Илизарова!!!
Несомненно! Но все равно это не с нуля вести разработку программного модуля для расчета необходимых перемещений по каждой опоре, полагаю, бOльшая часть работы сделана.
OJMD> Программа - не проблема, тот , кто покупает сет, получает программу
OJMD> от фирмы.
Наверно, такие детали можно делать и на отечественной базе, ничего уж такого super-hi-tech в них нет. И программное обеспечение не с нуля разрабатывать, базис для этого есть. Посмотрел еще sourceforge.net - там есть 4 проекта с открытыми исходниками по управлению гексаподами.
OJMD> в интернете, авось уже есть подобный умник!!! Всё же дешевле
OJMD> преобрести готовое, чем переделывать имеющееся!!!
Это, наверно, справедливо больше для чего-то типа эндопротезов или подобных по сложности изготовления устройств. А телескопические стержни и остальные детали могут быть сделаны на любом отечественном механическом предприятии, нет?
OJMD> Информация об учёбе будет помещена в ближайшее время на этом сайте.
Спасибо, надо бы поднабраться опыта у коллег.
Сегодня попробовали на бедре дистрактор с гексаподно поставленными телескопическими стержнями (см. картинки)-

в общем, даже стандартные детали работают. Хотя шаровые шарниры правильнее будут.
|
[
Ответить ]
|
|
Re: Гексаподный аппарат Илизарова/ Hexapod Iliazro
Alexander Zolotov 08 Ноябрь 2006, 12:34
|
Уважаемые Яков и Александр,
Огромное спасибо за интересную информацию! Уверен, что вопрос "упрощения применения аппарата Илизарова и элегантности работы с ним" волнует многих.
В течение ряда лет мы используем "little trick" при монтаже аппарата Илизарова для устранения угловой деформации, применяя "преизогнутые" заранее штанги с учетом выявленной угловой деформации сегмента. Наш "сет" гораздо скромнее Вашего - обычные штанги; телескопические штанги для изгиба обычных, чтобы не повредить резьбу; угломер; илизаровские шарниры. Но и меньшие возможности. Тем не менее способ корректно работает при устранении угловой деформации, и наш небольшой опыт был представлен в материалах Курганской конференции, 2000 г. и в
американском журнале "Orthopedics", 2002, #8. - P. 805-809 ("Reduction of Angled Displacement With the Ilizarov Apparatus"). При желании могу выслать электронную версию статьи - примерно 400 КБ.
После знакомства с гексаподным аппаратом Илизарова естественное желание приобрести набор и программное обеспечение. Поделитесь, пожалуйста, советом, как это сделать.
|
[
Ответить ]
|
Re: Гексаподный аппарат Илизарова/ Hexapod Iliazro
Отправитель: Alexander Chelnokov 08 Ноябрь 2006, 23:15
|
AZ> Илизарова для устранения угловой деформации, применяя "преизогнутые"
AZ> заранее штанги с учетом выявленной угловой деформации сегмента.
Как-то нас с "детства" наоборот учили - если что-то изгибается, значит, аппарат скомпонован неправильно ;-) Но, как иной раз случается, то, что одни принимают за проблему, для других оказывается решением.
AZ> Наш "сет" гораздо скромнее Вашего - обычные штанги;
AZ> телескопические штанги для изгиба обычных, чтобы не повредить
AZ> резьбу; угломер; илизаровские шарниры.
Если пользоваться шарнирами, зачем гнуть стержни? А преизогнутые стержни должны потом выпрямляться? За счет чего?
AZ> желании могу выслать электронную версию статьи - примерно 400 КБ.
Пришлите, pls, что-то не получается сообразить, как оно работает. Сюда не пройдет, на личную почту pls. Можно потом будет на http://weborto.net выложить, если не возражаете.
|
[
Ответить ]
|
Re: Гексаподный аппарат Илизарова/ Hexapod Iliazro
Отправитель: Ramil 09 Ноябрь 2006, 16:12
|
В Америке этот аппарат называется аппаратом Тейлора и дaвно известен. Описан у Dr.Paley.
|
[
Ответить ]
|
Re: Гексаподный аппарат Илизарова/ Hexapod Iliazro
Отправитель: Odessky Jacob M.D. 10 Ноябрь 2006, 02:31
|
Уважаемый Рамиль! И аппарат Тэйлора и гексаподный аппарат Илизарова были разработанны в одно и то-же время. Оба базируются на платформе Стюарта. Кстати в 70-х годах подобный патент впервые запатентован во Франции, но почему-то не применялся и был забыт.
Для комерческой выгоды, аппарат Тэйлора был сконструирован таким образом, чтобы диаметр его колец не совпадал с кольцами аппарата Илизарова! Это привело к тому, что набор аппарата Тэйлора уступает Илизаровскому в выборе диаметра колец. Этот факт порой приводит к необходимости выбирать кольцо большего диаметра, что , как Вы понимаете снижает стабильность системы аппарат-кость. Кроме того, универсальный шарнир аппарата Тэйлора существенно уступает в прочности шаровому соединению Гексаподного аппарата Илизарова. Аппарат Тэйлора имеет МАКРОПОДВИЖНОСТЬ!!!Есть и другие преимущества ГАИ перед АТ... К примеру в АТ фиксированы места прикрепления стержней, что заставляет всегда во время операции делать поправку при фиксировании шанцов и спиц. В ГАИ - прикрепление аддапторов свободное. Программа АТ имеет 5 различных вариантов, а ГАИ - один универсальный. АТ имеет 4 размера стержней, ГАИ - один - универсальный.
Но самое главное - наличие стока колец аппарата Илизарова, которые не нуждаются в замене на Тэйлоровские даёт возможность имея 3 гексаподных сета лечить одновременно большое колличество пациентов, что даёт огромный экономический эффект!!!И ещё...Гексаподный сет вернул аппарату Илизарова его исключительность и универсальность, он по - прежнему лучший из аппаратов наружной фиксации, существующий на сегодняшний день.
С уважением
|
[
Ответить ]
|
Re: Гексаподный аппарат Илизарова/ Hexapod Iliazro
Отправитель: Alexander Chelnokov 11 Ноябрь 2006, 00:53
|
OJMD> Тэйлора и гексаподный аппарат Илизарова были разработанны в одно
OJMD> и то-же время. Оба базируются на платформе Стюарта. Кстати в
OJMD> 70-х годах подобный патент впервые запатентован во Франции, но
Видел на одной из конференций, как проф. Шевцов В.И. на слайде показывал тоже гексапод, но российский (см. приложение).

Может быть, кто-то в курсе, что это за устройство? Как оно управляется? Заранее спасибо!
|
[
Ответить ]
|
Re: Гексаподный аппарат Илизарова/ Hexapod Iliazro
Отправитель: Odessky Jacob M.D. 12 Ноябрь 2006, 23:54
|
Эта фотография из лекции профессора Шевцова на Российско-Израильской конференции, которая была в Хайфе в декабре прошлого года. Я, к сожалению опоздал на начало этой лекции по причине аварии на железной дороге. Фотографию видел раньше, но не совсем её понимаю. С одной стороны - 6 стержней, с другой стороны их расположение не похоже на тейлоровские или гексаподовские. Давайте с этим вопросом обратимся к коллегам их Кургана. Может быть уважаемый Владимир Иванович объяснит нам суть увиденного.
Заранее благодарю.
|
[
Ответить ]
|
Re: Гексаподный аппарат Илизарова/ Hexapod Iliazro
Отправитель: Leonid N. Solomin 10 Ноябрь 2006, 18:08
|
Вот, Яша, дорогой, как бывает!..... ;-) Дай прочитать Мареку Эйдельману - будет самый счастливый день в его жизни!
Всего наилучшего,
Л.Соломин
|
[
Ответить ]
|
Re: Гексаподный аппарат Илизарова/ Hexapod Iliazro
Отправитель: mark eidelman 11 Ноябрь 2006, 04:26
|
lenya ya prochital, pravda ne ponyal chemu mne radovatsya. Yasha ochen krasivo i podrobno vse obyasnil,p ozvolu sebe tolko utochnit neskolko faktov: TSF ne menee a bolee stabilen po sravneniu s Ilizarov (primerno v2 raza), diametry TSF ne menshe a bolshe chem in standard Ilizarov set (varies from 40 to 230 cm), TSF deshevle chem Hexapod.Ya ne expert in Hexapod poetomy ne pozvolyau sebe sudit o vechah kotorye ne znayu, no in TSF ya mogu sudit. I samoe glavnoe : kogda mne pokaghut sluchai sravnimye s temi kotorye ya tebe ughe pokazyval a ne te chto predstavleny tut ya poimu dlya chego eto nughno delat. Posylau my paper about TSF moghet byt komu to eto budet interesno.
 606KB (621016 bytes)
Regards
Mark (a ne Marek).
|
[
Ответить ]
|
Re: Гексаподный аппарат Илизарова/ Hexapod Iliazro
Отправитель: Nikolaj Wolfson 11 Ноябрь 2006, 12:29
|
Приветсвую Марк:
>> TSF ne menee a bolee stabilen po sravneniu s Ilizarov (primerno v2 raza),
Откуда такая информация? Поделись если не сложно. Меня этот вопрос очень интересует.
Благодарю.
Коля
|
[
Ответить ]
|
Re: Гексаподный аппарат Илизарова/ Hexapod Iliazro
Отправитель: Alexander Chelnokov 11 Ноябрь 2006, 14:10
|
Вообще-то собранный аппарат Тэйлора со всем зажатыми гайками заметно люфтит в шарнирах. Стабильность то есть обеспечивается за счет напряжения тканей?
|
[
Ответить ]
|
Re: Гексаподный аппарат Илизарова/ Hexapod Iliazro
Отправитель: mark eidelman 11 Ноябрь 2006, 15:34
|
Hi Niki, my computer does not support Russian, so I will write in English.
Go to the www.jcharleystaylor.com-table of contexts.-Abstract TSF as virtial hinge.I will citate it for you:TSF has been mechanically tested for stiffness.Compared to Ilizarov frame TSF is:
1.1 times as stiff in axial compression;
2.0 in bending
2.3 as stiff on torsion.
You know exactly who is Charlie Taylor, if he said that he is tested, I belive he did what he wrote.
Another source for information is J.Binski paper
( you can find reference in my paper above).I'm sending also PDF file of TSF hardware.
 TSF presentation hardware manual Doni site.pdf, 1092KB (1118665 bytes)
Sasha Chelnokov- most not TSF surgeons tested stability of TSF frame above the table on saw bone models( usually on the congress demonstrations, when all struts even mot tightened firmly enough!).
Today I did many frames, believe me my patients did not suffer from frame instability, if you remember I discussed in Kyoto ways how to dynamize TSF.
I think that hexapod in Russia will work , you have huge amount of the Ilizarov equipment.But I dont use TSF for correction of simple fractures and ordinary lengthening, Ilizarov will do the same job.My feeling that TSF and Hexapod usung same mechanism, but Mersedes and Lada similar also( both are cars!).Today I'm doing many foot cases, show me another frame were you can correct varus, supination, aquinus, rotation and cavus by simple mouth clicking!!!This is true hexapod using same idea as TSF, both working on the same principe of the Stuart platform, the difference is that behind TSF are standing Smith and Nephew and after Hexapod few germans surgeons.
Finally thank to Yakov, good presentation of ineteresting idea.
Mark Eidelman.
|
[
Ответить ]
|
Re: Гексаподный аппарат Илизарова/ Hexapod Iliazro
Отправитель: Alexander Chelnokov 11 Ноябрь 2006, 18:44
|
Привет, Mark,
me> mechanically tested for stiffness.Compared to Ilizarov frame TSF is:
me> 1.1 times as stiff in axial compression;
Извини, но все это лукавство. Не существует стандартного, как крыса линии Vistar, "аппарата Илизарова", с которым можно сравнивать другие аппараты. Можно так скомпоновать два аппарата, что один будет и менее, и более легким-жестким-прочным-тяжелым-громоздким, чем другой - в зависмости от диаметра колец, как они соединены, сколько и какие чрескостные элементы, как они закреплены, на каком расстоянии от опоры, как напряжены-натянуты и т.п. Сорри за банальность.
me> You know exactly who is Charlie Taylor, if he said that he is
me> tested, I belive he did what he wrote.
Лучше полагаться на суждения независимых экспертов.
me> I'm sending also PDF file of TSF hardware.
Спасибо!
me> demonstrations, when all struts even mot tightened firmly enough!).
Специально все затянул, болтаются сами шарниры в основании стратов. Я к чему - надо ли вообще так уж напирать именно на механические характеристики, мол, "TSF в 1,1 раза чего-то там". Ведь ценное в нем, как я понимаю, отнюдь не это. Заведомо понятно, что механические качества любых получивших распространение систем достаточны для решения тех задач, для которых они существуют. А "после 9 куска сахара чай уже слаще не делается".
me> from frame instability, if you remember I discussed in Kyoto ways
me> how to dynamize TSF.
Да, это уже проблемы, специфические для конкретной "железки", а не для метода Илизарова, нет?
me> I think that hexapod in Russia will work, you have huge amount
me> of the Ilizarov equipment.
Да, сдается мне, что и из обычных телескопов с двухплоскостными шарнирами можно соорудить платформу Стюарта. Пока нет доступного software, будем пользоваться по крайней мере для одномомоментной репозиции под image intensifier.
me> But I dont use TSF for correction of simple fractures and ordinary
me> lengthening, Ilizarov will do the same job.
Давай начнем с того, что из "набора многоцелевых деталей для остеосинтеза по Илизарову" можно соорудить конструкцию, которая может перемещать фрагменты так, как любая другая, в т.ч. TSF. А вот обратное утверждение неверно. Как пример возьми перемещение половин таза.
me> My feeling that TSF and Hexapod usung same mechanism, but
me> Mersedes and Lada similar also( both are cars!).
В рамках автомобильной метафоры я бы сравнил TSF с городской машинкой для блондинок, а Илизаров - это off-road шасси и полная любых деталей мастерская в распоряжении профессионального гонщика-автомеханика. Полочка для гексапода в этой мастерской в России пока пустая, но уже любовно застелена свежей газеткой ;-)
me> Today I'm doing many foot cases, show me another frame were you
me> can correct varus, supination, aquinus, rotation and cavus by
me> simple mouth clicking!!!
Спроси Сашу Кириенко, еще в бытность его у Кургане со стопой чего только аппаратами не делали, ту же косолапость. Да, применение TSF, видимо, и hexapod, существенно понижает планку доступности, с той же стопой мне увиденное про TSF очень понравилось.
me> same principe of the Stuart platform, the difference is that
me> behind TSF are standing Smith and Nephew and after Hexapod few
me> germans surgeons.
Из этого можно с уверенностью только заключить, что маркетинг продукции Смита с племянником будет на порядок мощнее.
Еще раз напомню "urban legend" про времена космической гонки СССР-США - выявилась проблема: чернильные ручки в невесомости плохо пишут. Американцы потратили милиарды тысяч и сделали таки ручку, которой невесомость нипочем. Давай после интересоваться, а как там у русских с этой проблемой. Разведка выяснила - коварные русские пишут карандашом.
А тут немецкие коллеги молодцы, они, похоже, осваивают и направление a la TSF - таже заранее скомпонованный упрощенный frame - easyhex. Тот,
который Hexapod Ilizarov - теперь polihex.
см. http://litos.com/pdf-downloads/poli_hex_easy_hex_engl.pdf
Мне интересно, неужели в России ничего не делается в этом направлении? Все-таки, наверно, в Кургане готовят бомбу какую-то, а пока просто
маскируются.
me> Finally thank to Yakov, good presentation of ineteresting idea.
Да, присоединяюсь. Полагаю, еще далеко не всем аспектам проблемы было уделено достаточно внимания, так что не прощаюсь.
Марк, огромное тебе спасибо за активное подключение к обсуждению этого интересного направления, твой опыт эксперта по проблеме таких
аппаратов, ценные текстовые материалы. Когда будешь курс по TSF организовывать - не забудь сообщить, постраемся поучаствовать. А то к
нам приезжай. И Якова с гексаподом тоже ждем.
|
[
Ответить ]
|
Re: Гексаподный аппарат Илизарова/ Hexapod Iliazro
Отправитель: mark eidelman 11 Ноябрь 2006, 20:05
|
Sasha, a chem ty struts zatyagival na vystavke (by 2 wrenches or your fingers?)-see remarks about not TSF surgeons and they feelings.
Naschet lukavstva- niskolko.
TSF will be part of everyday equipment all over the world, in Russia too.
I will arange second course in Haifa 2008 (2 days including live OR and patients demonstration - you can come)
Mark.
|
[
Ответить ]
|
Re: Гексаподный аппарат Илизарова/ Hexapod Iliazro
Отправитель: Jacob Odessky 15 Ноябрь 2006, 22:16
|

Уважаемые коллеги! Посылаю несколько снимков, снятых во время докладов по применению аппарата Тейлора на конференции в Киото. Обращаю ваше внимание на добавочные стержни, установленные на аппараты Тейлора!!! Интересно, зачем их надо устанавливать на аппарат, который в 1.1 раза прочнее на аксиальную компрессию, 2,0 раза прочнее на изгиб и 2,3 раза прочнее на ротацию??? Может, уважаемый Марк нам объяснит!!!
Dear colleagues! I send few pictures which have been taken during reports of application of the
Taylor spatial frame at last ASAMI meeting in Kyoto. I pay your attention to the additional rods
established on TSF!!! Interest to know what for they should be established on the device that in
1.1 times as stiff in axial compression, 2,0 times in bending and 2,3 times as stiff on torsion??? Dear Mark! Would you like to comment these facts???
|
[
Ответить ]
|
Re: Гексаподный аппарат Илизарова/ Hexapod Iliazro
Отправитель: Odessky Jacob M.D. 11 Ноябрь 2006, 15:03
|
Приветствую, дорогие коллеги!
Марк написал: "TSF ne menee a bolee stabilen po sravneniu s Ilizarov (primerno v2 raza)"
Дорогой Марк! Я не сравнивал аппарат Тейлора с классическим аппаратом Илизарова, я сравнивал его с Гексаподным аппаратом Илизарова. Я думаю, что проводились стендовые испытания аппаратов Тейлора в сравнении с аппаратом Илизарова, на которые ты ссылаешься, когда пишешь о приблизительно 2-х кратной стабильности аппарата Тейлора...И сможешь дать нам всем на них ссылки. Проверить макроподвижность аппарата Тейлора может любой из вас, достаточно собрать аппарат Тейлора и попробовать его пошевелить - эффект потрясающий...На форуме есть коллеги, которые могли в этом убедиться на конференции в Киото.
Что касается сравнения аппаратов Тейлора и Гексаподного аппарата Илизарова, если мы все наберёмся терпения, через месяц-полтора, я надеюсь будут результаты стендовых испытаний, которые вскоре планируются начать одним из уважаемых участников нашего форума.
Марк написал:"diametry TSF ne menshe a bolshe chem in standard Ilizarov set (varies from 40 to 230 cm)"
Дорогой Марк! Я могу тебя попросить перечислить диаметры всех колец аппарата Тейлора, только , пожалуйста не ссылайся на их сайт!
Марк написал:"TSF deshevle chem Hexapod".
Дорогой Марк! Когда ты пишешь о стоимости аппарата, надо брать во внимание не только абсолютную стоимость , но и обращаемость системы... На сколько я знаю, в Израиле аппарат Тэйлора в самом начале стоил 12000$ и стоил до недавнего времени около 8000$, сейчас его цена для одного больного что-то около 5-6 тысяч $.
Стоимость одного кольца Тейлора 1000$ + НДС 15,5% , стоимость одного стержня 700$ + НДС 15,5%. Поскольку нет универсального стержня в аппарате Тэйлора, надо иметь запас стержней, и 6 -ю не обойтись.
Начальная стоимость Гексапод сета в Израиле была 10000$ + НДС, потом цена снизилась до 5000 Евро, сейчас она стоит на 3500 Евро.
За 2 года, имея первый год 2 сета, а второй ещё один, я применил гексаподный сет 40 раз!!!
Теперь у меня вопрос к Марку...Дорогой Марк! Сколько раз ты сможешь применить 3 аппарата Тейлора за 2 года? На мой взгляд, можно это сделать только при одном условии - поменять полностью запас Илизаровских колец на Тейлоровские , и прикупить в придачу минимум 5 наборов из 6 Тейлоровских стержней.
В связи с этим у меня есть второй вопрос!!! Зачем менять имеющиеся запасы колец аппарата Илизарова? Зачем тратить огромнейшие деньги на ЭТО. когда можно добиться тех - же результатов меньшими затратами... Не ужели ты думаешь, что если бы аппарат Тейлора был действительно дешевле, я бы не занимался им???
Марк написал:"I samoe glavnoe : kogda mne pokaghut sluchai sravnimye s temi kotorye ya tebe ughe pokazyval a ne te chto predstavleny tut ya poimu dlya chego eto nughno delat"
Уважаемый Марк! Спасибо за интересную презентацию! Только позволю себе сказать, что она ничего не доказывает! Поверь мне, что за 25 лет применения аппарата Илизарова, я могу показать и случаи по-хлеще твоих и большего количества!!! Такие вещи можно делать не и классическим аппаратом Илизарова, что до сих пор делают многие форумчане, и не только. В этом ничего сверх естественного нет. Это не доказывает преимущество аппарата Тейлора. Надо понимать , что есть разница между методом Илизарова, техникой Илизарова и аппаратом Илизарова.
Можно применять метод Илизарова аппаратом Илизарова или аппаратом Тэйлора. Даже удлинение на гвозде, если при этом используется получение дистракционного регенерата - это тоже по методу Илизарова, но не по технике Илизарова. Ведь любой фиксатор - внутренний лил наружный - это средство для достижения цели. В этом плане у аппарата Тейлора и Гексаподного аппарата Илизарова есть преимущества - компьютерная поддержка - перед всеми остальными аппаратами. А разница между ними, описана мной выше!!!
Всем лучших благ!!!
|
[
Ответить ]
|
Re: Гексаподный аппарат Илизарова/ Hexapod Iliazro
Отправитель: mark eidelman 11 Ноябрь 2006, 16:37
|
Yasha privet,
vse chto ya hotel skazat ya tebe ughe sto raz govoril , povtoryatsya ne budu.Tolko moi tebe sovet: ne bud stesnitelen.Esli ty delaesh veschi pohleche moih with Hexapod , a ne tolko correction of simple things, pokazyvai ih !
Ghmu ruku.
Mark
|
[
Ответить ]
|
Re: Гексаподный аппарат Илизарова/ Hexapod Iliazro
Отправитель: Odessky Jacob M.D. 11 Ноябрь 2006, 18:30
|
Привет, Марк!
Благодаря посланному тобой файлу - TSF presentation hardware manual Doni site.pdf, 1092KB (1118665 bytes)Я могу закрыть вопрос стоимости...Посмотри, что написано на 41 странице, приведённого тобой текста, для упрощения я встаил страницу отдельно, чтобы тебе не надо было искать... Теперь каждый может произвести расчёт на сколько аппарат Тейлора "дешевле"
Что же касается их возможностей, как средства для устранения деформаций, то они в этом отношении одинаковые.
По-поводу стабильности - стендовые испытания покажут.
С уважением.
7.jpg
29KB (30007 bytes)
|
[
Ответить ]
|
Re: Гексаподный аппарат Илизарова/ Hexapod Iliazro
Отправитель: Alexander Zolotov 10 Ноябрь 2006, 23:34
|
Приветствую Александр,
Статья в приложении.
az.rar
144KB (148006 bytes)
|
[
Ответить ]
|
|
Re: Гексаподный аппарат Илизарова/ Hexapod Iliazrov external fixator
Odessky Jacob M.D. 10 Ноябрь 2006, 16:17
|
Dear colleagues! Below the announcement from an official site of LITOS about the workshop of Hexapod system for Ilizarov apparatus!
On this site: www.litos.com you can also get acquainted with their production
Уважаемые коллеги! Ниже приведено объявление из официального сайта фирмы ЛИТОС о проведении обучения пользования программой и Гексапод сетом для аппарата Илизарова!
На сайте фирмы ЛИТОС : www.litos.com вы сможете познакомиться с их продукцией.
Workshop Hexapode System
Feb. 23-24, 2007
Hamburg
"Hexapode System at the original Ilisarow Ringfixator (poli hex) and Hexapode System at the tubing system (easy hex)"
For registration please phone
Martin Froh
Tel. +49 40 739 24 39 -23
or e-mail to: froh@litos.com
|
[
Ответить ]
|
Re: Гексаподный аппарат Илизарова/ Hexapod Iliazro
Отправитель: Никита Заднепровский 14 Ноябрь 2006, 22:55
|
Кажется нашел спонсоров для приобретения Гексапода и выезда на учебу (тьфу-тьфу не сглазить ...) Но для оформления документов и средств нужен официальный вызов из Гамбурга на мое имя. Как это сделать? Что посоветуете? Никогда не имел дел с такого рода поездками.
С уважением, Заднепровский Никита Николаевич
|
[
Ответить ]
|
Re: Гексаподный аппарат Илизарова/ Hexapod Iliazro
Отправитель: Alexander Chelnokov 16 Ноябрь 2006, 02:20
|
> документов и средств нужен официальный вызов из Гамбурга на
> мое имя. Как это сделать? Что посоветуете? Никогда не имел
Яков же написал:
-----------------------------
For registration please phone
Martin Froh
Tel. +49 40 739 24 39 -23
or e-mail to: froh@litos.com
-----------------------------
|
[
Ответить ]
|
|
( Ответить )
|
|