Ответить
|
Re: Введение илиосакральных винтов
Anton Kovalenko 14 Ноябрь 2006, 22:57
|
Загляните на www.odoc.ru
Всего наилучшего,
Коваленко
|
[
Ответить ]
|
Re: Введение илиосакральных винтов
Алексей Семенистый 15 Ноябрь 2006, 01:54
|
>нигде меодики введения илиосакральных винтов! Подскажите другие варианты!
А какие книги вы читаете?...
Вообще, лечение надо было начинать с таза. На голени можно ожидать большие проблемы уже через 2-3 месяца.
А.Семенистый
|
[
Ответить ]
|
Re: Введение илиосакральных винтов
Отправитель: Роман дендымарченко 15 Ноябрь 2006, 20:17
|
-На голени можно ожидать большие проблемы уже через 2-3 месяца-
А в чем будут заключаться проблемы? Замедленная консолидация или...
С уважением, Р.Дендымарченко
|
[
Ответить ]
|
Re: Введение илиосакральных винтов
Отправитель: Алексей Семенистый 15 Ноябрь 2006, 23:28
|
В лучшем случае - замедленная консолидация, а вообще - потеря репозиции, миграция винтов и/или перелом пластины. Внешняя иммобилизация не спасет.
Чья это пластина? Какая (открытая или закрытая) была репозиция?
С уважением А.Семенистый
|
[
Ответить ]
|
Re: Введение илиосакральных винтов
Отправитель: Maxim Agalakov 15 Ноябрь 2006, 23:49
|
> Внешняя иммобилизация не спасет.
точно!!!!!!!
> Чья это пластина? Какая (открытая или закрытая) была репозиция?
Так ли важно -чья это пластина? Сомнительные пластины при адекватной хирургической технике часто реализуются в похожий результат (из
скромного личного опыта), представлвляется, что более важен подход к технике, обращение с мягкими тканями.
Интересен ваш вариант, детали техники было бы очень приятно узнать (без обиняков, искренне), но
принципиально, что не так? Как бы Вы сделали?
|
[
Ответить ]
|
Re: Введение илиосакральных винтов
Отправитель: Алексей Семенистый 16 Ноябрь 2006, 12:36
|
> > Так ли важно -чья это пластина? Сомнительные пластины при адекватной
> хирургической технике часто реализуются в похожий результат (из
> скромного личного опыта),
Скажу по другому: Оригинальные пластины (гвозди, винты, аппараты...) при плохой хирургической технике и нарушении технологии, всегда дают плохой результат. Многие хирурги негативно или скептически относятся к дорогим оригинальным имплантатам, потому, что не получили желаемого результата от их применения. Но эти хмрурги не хотят признавать, что в плохом результате виноват не имплантат, а их руки (и головы конечно), которые несоблюдают общих принципов и частных технологий.
> представлвляется, что более важен подход к
> технике, обракщении с мягкими, тканями.
Не менее важен!
> но
> принципиально, что не так?
Неудовлетворительная репозиция: вальгус, диастаз по медиальному кортикалу. Наверняка репозиция была открытой недели через две после травмы, а значит травматичной со скелетированием отломков. Наличие в диафизарной части пластины 7 ответстий не означает, что во все надо вводить винты. В метаэпифиз необходимо было ввести минимум 3 блокированных винта на всю толщу спонгиозы.
> Интересен ваш вариант, детали техники было бы очень приятно узнать
> (без обиняков, искренне),
>Как бы Вы сделали?
1. Репозиция должна быть закрытой непрямой. Репозиция основных отломков (не промежуточных!) по длине и по осям (варус\вальгус и т.д).
2. Фиксация - биологичная, по принципам относительной стабильности.
3. С гвоздем бы сюда не полез
4. В зависимости от состояния мягких тканей или аппарат, или LCP PLT (LISS) на 9 отверстий. Если пластина (как внутренний фиксатор), то 4-5 отверстий в зоне разрушения кости оставил бы без винтов, для репозиции использовал бы временный стержневой аппарат (АО, Зиммер, S&N,... - НО не МКЦ)
5. Только сначала бы разобрался с тазом
С уважением А.Семенистый
|
[
Ответить ]
|
Re: Введение илиосакральных винтов
Отправитель: Maxim Agalakov 16 Ноябрь 2006, 12:39
|
> эти хмрурги не хотят признавать, что в плохом результате виноват не
> имплантат, а их руки (и головы конечно), которые несоблюдают общих принципов и частных технологий.
>
примерно об этом и говорил
> репозиции использовал бы временный стержневой аппарат (АО, Зиммер, S&N,... - НО не МКЦ)
кажется не столь принципиальным - по сути -дистрактор
> 5. Только сначала бы разобрался с тазом
конечно, но в принципе таз можно полечить и позже, все равно время потеряно,.. хоть сустав
|
[
Ответить ]
|
Re: Введение илиосакральных винтов
Отправитель: Алексей Семенистый 16 Ноябрь 2006, 12:43
|
> > репозиции использовал бы временный стержневой аппарат (АО, Зиммер, S&N,... - НО не МКЦ)
>
> кажется не столь принципиальным - по сути -дистрактор
С дистрактором (по одному Шанцу в каждый из основных отломков) тяжеловато получается. Стандартная компановка трубчатого фиксатора для репозиции (по два стержня в каждый отломок и 2 трубки соединенные третьей через два зпжима "трубка к трубке") позволяет легко репонировать и временно зафиксировать отломки до наложения пластины.
> конечно, но в принципе таз можно полечить и позже, все равно время
> потеряно,.. хоть сустав
Контрактура коленного сустава ничто по сравнению с нестабильным тазовым кольцом.
С уважением А.Семенистый
|
[
Ответить ]
|
Re: Введение илиосакральных винтов
Отправитель: Maxim Agalakov 16 Ноябрь 2006, 12:45
|
> Контрактура коленного сустава ничто по сравнению с нестабильным тазовым кольцом.
> С уважением А.Семенистый
очень приятно слышать, хотя многие из коллег с этим не согласятся. С нестабильностью более-менее успешно боремся, а с контрактурами не очень получается
|
[
Ответить ]
|
Re: Введение илиосакральных винтов
Отправитель: Alexander Chelnokov 17 Ноябрь 2006, 23:35
|
АС> С дистрактором (по одному Шанцу в каждый из основных отломков)
АС> тяжеловато получается. Стандартная компановка трубчатого фиксатора
Напоминаю о возможности использовать спицевой дистрактор. Натянутая спица позволяет много больше, чем стержень (half-pin).
АС> Контрактура коленного сустава ничто по сравнению с нестабильным тазовым кольцом.
Тазовое кольцо стабилизировать бывает много проще, чем добиться хорошей амплитуды движений в колене.
|
[
Ответить ]
|
Re: Введение илиосакральных винтов
Отправитель: Алексей Семенистый 18 Ноябрь 2006, 12:08
|
> Напоминаю о возможности использовать спицевой дистрактор. Натянутая
> спица позволяет много больше, чем стержень (half-pin).
Помню, помню. Дейстительно удобно при штифтовании, но для малоинвазивной техники пластинами кольцевые опры весьиа мешают.
> Тазовое кольцо стабилизировать бывает много проще, чем добиться
> хорошей амплитуды движений.
Много проще иметь в отделении концепцию об оказании своевременной поэтапной помощи больным с политравмой. Все надо делать во время, тогда не надо будет лечить уже последствия травмы. Вопрос больше организационный, чем чисто хирургический
С уважением А.Семенистый.
|
[
Ответить ]
|
Re: Введение илиосакральных винтов
Отправитель: Владимир Бахарев 16 Ноябрь 2006, 21:54
|
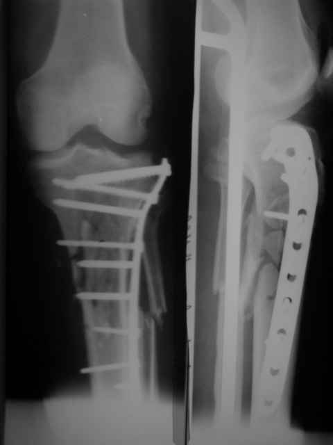
-Неудовлетворительная репозиция: вальгус, диастаз по медиальному кортикалу.
Вальгуса нет(мы не предоставили осевых снимков)
В диастазе стоит единственный отломок размером 1.2 на 2.5 по медиальной поверхности,остальные отломки всев контакте!
- Наверняка репозиция была открытой недели через две после травмы, а значит травматичной со скелетированием отломков.
Да
-В метаэпифиз необходимо было ввести минимум 3 блокированных винта на всю толщу спонгиозы.
Введено два блокируемых винта длинной 70 мм.и один спонгиозный.
|
[
Ответить ]
|
Re: Введение илиосакральных винтов
Отправитель: Владимир Бахарев 16 Ноябрь 2006, 08:23
|
-Какая (открытая или закрытая) была репозиция?
Репозиция была выполнена открыто(закрыто к сожалению не получилась-большие сроки и множество отломков)
-Чья это пластина?
LCP"SYNTHES"-прокимальная латеральная для б/берцовой кости
|
[
Ответить ]
|
Re: Введение илиосакральных винтов
Отправитель: Alexaander Chelnokov 16 Ноябрь 2006, 00:51
|
Чем отличается подход к введению винтов (количество, места введения, моно-, бикортикальные) у прежних поколений пластин и LCP?
Чего ждать, если в LCP вводить винты практически так же, как в DCP?
|
[
Ответить ]
|
Re: Введение илиосакральных винтов
Отправитель: Егор Павлов 13 Декабрь 2006, 21:58
|
Проблемы, ув. Роман, в ДНК... дело в том, что вы как бы это сказать, не рубите фишку, вот
|
[
Ответить ]
|
|
Re: Введение илиосакральных винтов
Alexander Chelnokov 15 Ноябрь 2006, 11:35
|
Можно посмотреть на нынешние снимки таза в аппарате, фас и inlet?
|
[
Ответить ]
|
Re: Введение илиосакральных винтов
Отправитель: Владимир Бахарев 16 Ноябрь 2006, 12:13
|
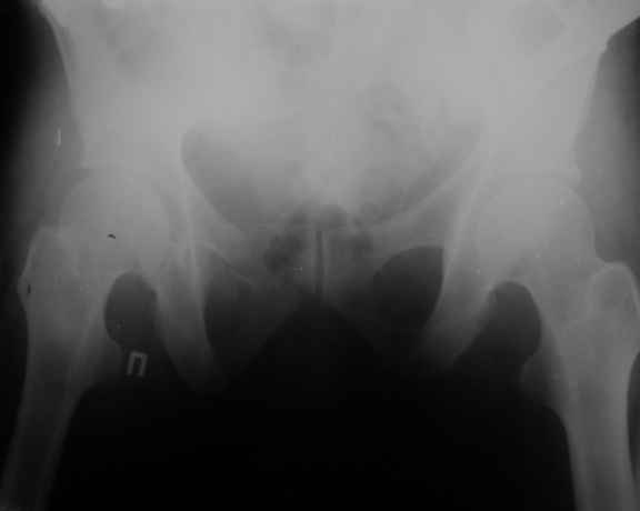
Александр Николаевич! Походу самим не справиться (может к себе возмете, а?) Мы бы съездили к вам посмотрели как это делается!
Снимки вот

|
[
Ответить ]
|
Re: Введение илиосакральных винтов
Отправитель: Alexander Chelnokov 17 Ноябрь 2006, 23:36
|
Может быть, наше отделение должно открыться на следующей неделе после ремонта, в понедельник позвони pls.
|
[
Ответить ]
|
|
Re: Введение илиосакральных винтов
Maxim Agalakov 15 Ноябрь 2006, 19:05
|
> (перелом лонной, седалищной костей справа . Разрыв КПС слева)
может быть и двустороннее повреждение задних отделов
> извинямси за качество R-грамм).
> Сохроняется смещение. Попытаемся его устранить этапно, но сомневаемся,
> хватит ли жесткости АВФ, и нет нигде методики введения илиосакральных
> винтов! Подскажите другие варианты!
по представленным рентгенограммам понять почти ничего невозможно из-за низкого качества, снимки идут в динамике? Для уточнения характера повреждения таза необходимо сделать хотя бы "inlet". повреждение представляется вертикально-нестабильным, в этом случае устранить краниальное и, возможно, передне-заднее смещение "передней рамой" невозможно и дело тут не в жесткости АВФ. Кольцевой опорой можно сделать все что угодно.
А методика проведения илиосакральных винтов есть и в Мюллере, на odoc.ru тоже доступно (правда там обсуждается транссакральная фиксация, но принципы те же). Единственно, методика введения винтов в классическом варианте предполагает положение пациента на животе, что в условиях аппарата затруднительно, поэтому мы делаем на спине, используя спицы в качестве ориентиров, кроме того лучше использовать канюлированные (проще).
Удачи!
|
[
Ответить ]
|
( Ответить )
|
|