Ответить
|
Re: Пяточки
Odessky Jacob M.D. 18 Ноябрь 2006, 12:29
|
Уважаемый Дмитрий! Можете ли Вы добавить аксиальные проекции!
С Уважением!
|
[
Ответить ]
|
Re: Пяточки
Юрий Алексеевич Булахтин 18 Ноябрь 2006, 14:22
|
Уважаемый Дмитрий!
Присоединяюсь к мнению Я.Одесского о необходимости аксиальных снимков и, наверное, сразу снимков по Бродену (через каждые 10 градусов внутренней ротации стопы). Кроме этого необходима КТ. Она позволит уточнить срослись переломы или нет. Соответственно и тактика: если не срослись можно попробовать АВФ; если срослись -артродез.
Кстати, обследован ли у пациента позвоночник? Сочетание типичное для такого механизма травмы.
Юрий Алексеевич Булахтин
|
[
Ответить ]
|
Re: Пяточки
дмитрий бондарь 18 Ноябрь 2006, 22:36
|
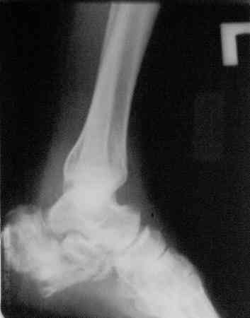
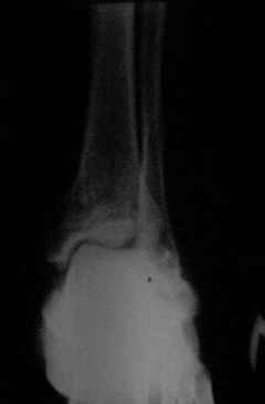
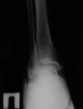
Здравствуйте,коллеги!Все оказалось даже хуже!Сегодня больной госпитализирован и:
1)конечности фиксированы ЛОНГЕТАМИ!!!
2)сняв гипс,справа обнаружен пролежень 5 на 5 см по задней поверхности
3)отек стоп значительно выражен
Снимки и фото стоп выложу в понедельник
Позвоночник не поврежден.
С уважением Д.Б.
|
[
Ответить ]
|
Re: Пяточки
Отправитель: Alexaander Chelnokov 19 Ноябрь 2006, 00:54
|
> Здравствуйте,коллеги!Все оказалось даже хуже!Сегодня больной госпитализирован и:
> 1)конечности фиксированы ЛОНГЕТАМИ!!!
И что вызывает эмоции аж на три восклицательных знака? Чем гипсовая шина не иммобилизация?
> 2)сняв гипс,справа обнаружен пролежень 5 на 5 см по задней поверхности
Аппарат это не помешает наложить, возможно.
> 3)отек стоп значительно выражен
Куда ж без него...
> Снимки и фото стоп выложу в понедельник
Спасибо. Наверно, тут оптимален минимальный аппарат, позволяющий низвести бугор для восстановления формы стопы.
Как-то не хочется даже обсуждать открытую репозицию с полным восстановлением анатомии подтаранного сустава и костной пластикой...
|
[
Ответить ]
|
Re: Пяточки
Отправитель: Ramil 19 Ноябрь 2006, 01:41
|
С левой стопой дело похуже. Нужен прямой снимок, да и боковой не помешает повторить на всю стопу, ну и плюс аксиальный. Готовтье аппарат.
|
[
Ответить ]
|
|
Re: Пяточки
Алексей Семенистый 19 Ноябрь 2006, 03:11
|
>Средств для лечения в серьезных больничках нет! (ориентировочный запрос в региональном центре-2000 У.е минимум)
Вообщем недорого. Только и за 100000 у.е хорошо не будет, в лучшем случае - удовлетворительно.
|
[
Ответить ]
|
Re: Пяточки
vladimir starostenko 19 Ноябрь 2006, 06:15
|
думаю что уместно в данном случае аппарат с последующем возможно трехсуставным артродезом
|
[
Ответить ]
|
Re: Пяточки
Отправитель: Корышков Николай 19 Ноябрь 2006, 22:14
|
Работая с подобными пациентами, назначаем, если купировался, даже частично к этому времени, болевой синдром, дозированную нагрузку, обязательно эласт. компрессию (бинт или гольфы) на фоне приема детралекса (1т х 3-4р) и трентала с реополиглюкином в/в, донаторов кальция (миокальцик - назальный спрей). Дистракция в КДА на стороне с некрозом, видимо над пяточным сухожилием, показана для низведения пяточного бугра, стимуляции регенерации в костной ране. Некроз в зависимости от его глубины подвергать этапным некрэктомиям. Если он поведет себя, как поверхностный, возможна самоэпителизация или расщепленный дерматомный трансплантат. Через 1-1,5 месяца, в которые идет это лечение, (соответсвенно они плюсуются к выше названному сроку) проводим расклинивающий компрессионный подтаранный артродез с коррекцией положения заднего отдела стопы. В качестве фиксаторов погружные конструкции - канюлированные винты.
Н.Корышков, РосНИИТО им.Р.Р.Вредена
|
[
Ответить ]
|
Re: Пяточки
Отправитель: Alexaander Chelnokov 19 Ноябрь 2006, 22:45
|
Приветствую, Николай Алекксандрович
КН> детралекса (1т х 3-4р) и трентала с реополиглюкином в/в, донаторов
КН> кальция (миокальцик - назальный спрей).
А можно узнать основания для такой практики? Каким образом и какими исследованиями доказана польза этих воздействий при переломах пятки? К слову, миакальцик - не донатор кальция, это кальцитонин лосося.
КН> Дистракция в КДА на стороне с некрозом, видимо над пяточным
[...]
КН> погружные конструкции - канюлированные винты.
Спасибо!
|
[
Ответить ]
|
Re: Пяточки
Отправитель: Николай Корышков 23 Ноябрь 2006, 21:28
|
Детралекс для улучшения микроциркуляции и улучшения венозного возврата, стало быть и спадения отека, эласт. компрессия для того же + возвышенное положение. Реополиглюкин и трентал, чтоб улучшить приток, снять спазм, повысить реологию крови.
Миокальцик при этом, предполагаю, будет способствовать снижению пороза + дозированная нагрузка. Делать расклинивающий подтаранный артродез для реконструкции задних отделов обеих стоп без подготовки - то бишь тогда в 1,5 месяца, считаю рано.
Продолжая работать с пациентом, предложил бы это вмешательство еще через 1,5 месяца.Основания для такой практики простые: работы проф. Ершовой О.Б. по остеопорозу (может это свое прочтение) и практика работы с такими же пяточками еще в
Ярославле, они же везде встречаются. Всего доброго.
|
[
Ответить ]
|
Re: Пяточки
Отправитель: Alexander Rykov 21 Ноябрь 2006, 03:12
|
Для Корышкова Н.А. Вклиниваюсь в разговор. Николай Александрович! Сегодня получил Вашу книгу. Читаю и наслаждаюсь. Спасибо огромное Вам за организацию
доставки. С ув. А Рыков. Хабаровск
|
[
Ответить ]
|
Re: Пяточки
Отправитель: Николай Корышков 23 Ноябрь 2006, 22:43
|
Спасибо, уважаемый Александр Геннадьевич, на добром слове. Надеюсь, когда дочитаете, оно останется таковым же. Привет и поклон Хабаровке, был я в нём раза три за время службы в 55-м погранотряде и после п/з Жегдочи. Всего доброго. Рад, что считаете книгу полезной.
С уважением, Николай
|
[
Ответить ]
|
|
Re: Пяточки
дмитрий бондарь 20 Ноябрь 2006, 23:53
|

Отправляю снимки(свежие)и фото стоп.
С уважениемД.Б.
|
[
Ответить ]
|
Re: Пяточки
Отправитель: Алексей Семенистый 21 Ноябрь 2006, 04:07
|
Жуткая картинка!
Мне кажется, что сейчас это больной для отделения гнойной хирургии. Выставляете ли Вы диагноз остеомиелит? Слева вполне может закончится ампутацией, а протезирование даст лучший функциональный результат.
С уважением А.Семенистый
|
[
Ответить ]
|
|
Re: Пяточки
В.Машталов 21 Ноябрь 2006, 12:17
|
Смотрю фото ! Вот теперь все стало на свои места- не до синтезов и детралексов
Согласен с Алексеем, ампутация это выход и для хирурга и больного и с функциональных и экономических соображений.
В.Машталов
|
[
Ответить ]
|
Re: Пяточки
дмитрий бондарь 21 Ноябрь 2006, 23:32
|
Остеомиелит, конечно, выставляю(Справа). Вопрос об ампутации пока не поднимал,попробую полечить, ну или хотя бы морально подготовить больного (а то ему сказали. походить-полежать в гипсовых лонгетах 2 месяца, и все будет ОК, а тут я с ножовкой-нехорошо получится!) Примерный план
1.Хороший дебридмент пролежня, возможно с вакуумной повязкой, ну и с резекцией кости в пределах кроаоснабжаемых тканей. одновременно готовить лоскут на другой конечности для закрытия дефекта.
2.несвободная кожная пластика(кстати где можно скачать Золтана"пересадка кожи"никто не знает? Пока беру напрокат-неудобно)
3.после решения вопроса с мягкими тканями(если получится)-косточки.
очень расчитываю на советы участников Форума.
Слева сегодня кожа, в принципе, неплохая.то что я поначалу принял за два мелких свища сегодня сухое и чистое,гиперемии нет. Хотелось бы обсудить компоновку аппарата и объем оперативного вмешательства
С уважением Д.Б.
|
[
Ответить ]
|
Re: Пяточки
дмитрий бондарь 21 Ноябрь 2006, 23:50
|
Извините,попутал лево-право
Д.Б.
|
[
Ответить ]
|
Re: Пяточки
ерохин александр 22 Ноябрь 2006, 02:39
|
Больной для "итальянской пластики".Конечно,требуется сначала подлечить рану, удалить,то что подлежит удалению,дождатся роста грануляций.Приживление несвободного лоскута хорошее.Я прооперировал может и не очень много подобных больных-где-то 8-9 случаев,но приживление всегда было,несмотря, что иногда швы ослизнялись.Правда,с учетом комплексной терапии, это тоже требует и средств и главное терпения и больного и врача.Фиксировать одну конечность к другой можно соединив детали аппарата Илизарова,да и перевязывать удобнее.Лечение, конечно займет длительный срок(несколько месяцев).Если возможности нет, или гнойный процесс уже зашел далеко, или есть противопоказания по сопутствующей патологии-тогда ампутация.Напишите потом,что решили и что из этого вышло.Удачи.
|
[
Ответить ]
|
( Ответить )
|
|