AOTRAUMA.ORG Центр Илизарова  

Ортопедия и травматология Общие вопросы/General questions Help Информационные технологии в медицине
 вверх
 отправить
 поиск
 админ
 главная


Двойной перелом плеча
Ортопедия и травматология Отправлено Станислав Дмитриев 18 Ноябрь 2006, 17:04
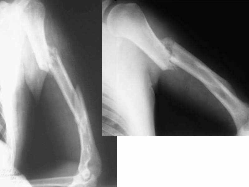
Уважаемые коллеги! Больной 28 лет, по профессии монтажник. 30 августа получил изолированную травму: двойной перелом левого плеча(удар бетонной плитой) с парезом лучевого нерва.
Лечился в ЦРБ по месту жительства в травматологическом отделении - гипсовая лонгета по Турнеру. 6 октября попал в НИИТО. Выполнена <ревизия и невролиз лучевого нерва> - цитирую по выписке. Сначала планировался интрамедуллярный остеосинтез, но во время операции выявлена выраженная костная мозоль, остеосинтез не сделали. В настоящее время имеется вот такая картина (см. приложение). Локтевой сустав - контрактура под прямым углом, объем движений в пределах 5 градусов. Плечевой - движения по всем осям - до 45 гр. Лучезапястный - ладонное сгибание - 10 гр., тыльное - 5 гр. Парез лучевого нерва в течение всего времени - без динамики. Выраженный болевой синдром во всех суставах при попытке пассивных движений.
Поступил к нам в сломанной гипсовой лонгете (похоже ее не меняли за все время).Гипс сняли. Клинически - подвижности в зоне переломов и болей нет.
Какая тактика предпочтительна - оставить все как есть и заниматься устранением конрактур, или все-таки попытаться исправить ось плеча, заштифтовать и затем начать функциональное лечение?
С уважением, Станислав Дмитриев, ГКБ N13, г. Нижний Новгород

<  |  >

 

  • Сообщения о Ортопедия и травматология
  • Также Станислав Дмитриев
  • Связаться с автором
  • Ответить

    Re: Двойной перелом плеча
    Роман Дендымарченко 18 Ноябрь 2006, 21:06
    Сейчас основная жалоба больного - это ограничение подвижности в суставах. А устранив деформацию в плече мы эти жалобы вряд ли устраним. Перелом плеча сросся, деформация до 20 градусов не несет никаких функциональных дефектов, так что лучше сосредоточиться на контрактурах.

    [ Ответить ]

    Re: Двойной перелом плеча
    katsevman_h@walla.com 18 Ноябрь 2006, 21:18
    Уважаемый Станислав, если нет патологической подвижности,то по-моему "оставить все как есть и заниматься устранением конрактур" ,а потом лечить деформацию ,если будет мешать функционально или эстетически. пл. кость прощает дост большие искривления , практ всегда срастается но консервативное лечение проводиться посредством functional braces чтобы не было контрактур. см лекцию Augusto Sarmiento fhttp://www.hwbf.org/ota/bfc/sarm1/exp.htm
    успехов.
    [ Ответить ]

    Re: Двойной перелом плеча
    Alexaander Chelnokov 19 Ноябрь 2006, 01:18
    Полностью согласен с уже высказанным. Сращение уже есть, операция на кости сейчас никаких проблем не решит, а только может усугубить имеющиеся.
    Ревизия нерва была напрасная, как обычно и бывает при закрытых переломах.
    [ Ответить ]

    Re: Двойной перелом плеча
    Станислав Дмитриев 19 Ноябрь 2006, 11:03
    Спасибо всем! Честно говоря, надеялся услышать именно такой ответ. Чем больше смтрю на больного и рентгенограммы, тем меньше хочется туда "лезть".
    Устранение контрактур уже начали, больной приобрел брейс. Проблема (разрешимая), в том, что мать пациента - судья(горе от ума). Впрочем, претензий она никому не предъявляет. Пока.
    С уважением, Станислав Дмитриев.
    [ Ответить ]


    ( Ответить )

    Powered by Zope  Squishdot Powered MedLink
    Посетитель: 0219378
      "По форме правильно, а по существу - издевательство" В.И.Ленин
    ©2001-2019Orthoforum Coordinator.
    [ Главная | Отправить сообщение | Поиск | Админ ]