AOTRAUMA.ORG Центр Илизарова  

Ортопедия и травматология Общие вопросы/General questions Help Информационные технологии в медицине
 вверх
 отправить
 поиск
 админ
 главная


Псевдоартроз, краевой дефект
Ортопедия и травматология Отправлено В.Машталов 21 Ноябрь 2006, 15:37 БСМП2 Ростов-на-Дону
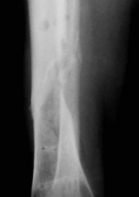
Больная 54 года, 5 м. назад открытый оскольчатый перелом 2-3 тип, Первично ЧКДО, открытое ведение раны, при этапных некрэктомия " ушел" осколок внутренней стенки б/бецовой кости, 7 сутки пластика м/тканями ,вторичные швы.

Контакт отломков только по спирали наружной стенки,заживление раны полное, на 3-4 месяце ЧКДО воздействие на регенерацию микродистрациями , 5 месяц снят аппарат по причине нестабильности и реакции м/тканей. В данный момент проблем с тканями нет, на Р-граммах псевдоартроз, клинически подвижность,больная ходит в ортезе с дозированной нагрузкой.Местно рубцовый процесс 3х5 в зоне перелома.
Готовится к операции.
Планы
1. Только штифт первично динамизированныйДостаточно-ли кантакта для сращения?
2.Аддаптирующая резекция через небольшой разрез вне рубца, с оставлением костных фрагментов парадифизарно, как элемент костной пластики, штифт с динамизацией первично (возможно, на начальном этапе + 2 кольца ЧКДО с отсрочкой дистального блокирования)с последующей компенсацией укорочения транспортом на штифте.
К сообществу за советом!С ув. В. Машталов

<  |  >

 

  • Сообщения о Ортопедия и травматология
  • Также В.Машталов
  • Связаться с автором
  • Ответить

    Re: Псевдоартроз, краевой дефект
    Alexaander Chelnokov 21 Ноябрь 2006, 22:55
    > регенерацию микродистрациями , 5 месяц снят аппарат по причине
    > нестабильности и реакции м/тканей. В данный момент проблем с тканями
    > нет, на Р-граммах псевдоартроз,


    А нельзя сделать снимки на пленке 15x40 см? Или на 30-40 по диагонали? Можно и увидеть весь сегмент, и ось оценить, и длину, и состояние всех спицевых каналов...

    > 1. Только штифт первично динамизированный
    > Достаточно-ли кантакта для сращения?


    В общем - план здравый, м мы бы заштифтовали, но тут важны детали. Стержень взяли бы бесканальный, титановый и потолще (12 мм). Дистальный отломок заперли бы винтами хотя бы тремя, а лучше 4.
    Возможно, с poller винтами. "Нестабильность и реакция м/тканей" могут быть недооцененным "спицевым" остеомиелитом. Для профилактики инфекции стабильность надо создать максимальную. Запереть лучше бы статически на первые пару месяцев, динамизировать потом.

    > 2.Аддаптирующая резекция через небольшой разрез вне рубца, с
    > оставлением костных фрагментов парадифизарно,как элемнт костной


    По-моему, неоправданное увеличение объема вмешательства только повысит риск проблем.
    [ Ответить ]

    • Re: Псевдоартроз, краевой дефект
      Отправитель: В.Машталов 22 Ноябрь 2006, 17:32
      Стержень взяли бы бесканальный, титановый и потолще (12 мм).

      Не очень ли толстый стержень, рассверливать много, а с учетом "спящего" спиц. остеомиелита не опасно?

      > По-моему, неоправданное увеличение объема вмешательства только повысит
      > риск проблем.


      Если первый вариант достаточен, нам тоже не хотелось-бы увеличивать объем

      Спасибо за совет!

      [ Ответить ]
      • Re: Псевдоартроз, краевой дефект
        Отправитель: Alexaander Chelnokov 22 Ноябрь 2006, 17:35
        ВМ> Не очень ли толстый стержень, рассверливать много, а с учетом "спящего"
        ВМ> спиц. остеомиелита не опасно?


        Рассверливать надо будет в основном центральный отломок, в дистальном чуть канал наметить. Смысл в использовании большего диаметра и количества запирающих винтов, чтобы даже ходьба с нагрузкой не была проблемой. Я не знаю, какие фиксаторы доступны в Ваших условиях, поэтому пишу, как делал бы сам.

        ВМ> Если первый вариант достаточен, нам тоже не хотелось-бы увеличивать объем

        "Первый вариант" у Вас прозвучал как просто штифтование с динамическим запиранием. А тут есть и другие важные нюансы. Вообще, закрыто штифтовать в случаях краевых дефектов доводилось не раз, проблем это не создает, разве только с удалением потом торопиться не надо.

        [ Ответить ]
        • Re: Псевдоартроз, краевой дефект
          Отправитель: В.Машталов 22 Ноябрь 2006, 19:06
          Ув.Александр Николаевич !
          Спасибо за нюансы, они иногда решающие
          С учетом веса больной ( 60 кг.) и доступности имплантатов выбираем 10 мм стержень Syntes c 5,0 винтами. Большое спасибо всему сообществу!

          [ Ответить ]
          • Re: Псевдоартроз, краевой дефект
            Отправитель: Alexaander Chelnokov 22 Ноябрь 2006, 19:07
            Фирма Synthes много стержней выпускает - какой именно намереваетесь использовать? Если будет бесканальнывй Expert - наверно, самое то,
            можно будет очень надежно зафиксировать дистальный фрагмент. Винтов 5 мм для массы 60 кг должно хватить.


            [ Ответить ]
            • Re: Псевдоартроз, краевой дефект
              Отправитель: В.Машталов 22 Ноябрь 2006, 19:08
              удем обсуждать с больной финансовую сторону вопроса и возможность поставки нам инструмента ( в регионы они не очень охотно высылают инсрумент, занят в
              Москве, навернее А. Семенистым) если нет, то UTN c 3-мя винтами дистально.

              [ Ответить ]
              • Re: Псевдоартроз, краевой дефект
                Отправитель: Alexander Chelnokov 22 Ноябрь 2006, 19:09
                > Будем обсуждать с больной финансовую сторону вопроса и возможность поставки
                > нам инструмента


                А почему именно Synthes? Есть ведь того же назначения фиксаторы и отечественные, и польские, и венгерские, и всякие еще немецкие, швейцарские и т.п.

                > занят в Москве, навернее А. Семенистым)

                ;-)

                > если нет, то UTN c 3-мя винтами дистально.

                У UTN винты разве 5 мм, не 4?
                Полагаю, что за деньги, потраченные на UTN от Synthes, можно приобрести несколько отечественных стержней - и копии UTN только ленивый не выпускает, и есть выпускаемая предприятием "ЦИТО" наша модификация, которая и винтов позволяет внизу ввести не 3, а 4 (в овальное отверстие можно ввести 2), и диаметр вместо 8,9,10 мм - 9, 10.5 и 12 мм. Есть выпускаемые "Остеомедом" клоны Expert...

                [ Ответить ]
                • Re: Псевдоартроз, краевой дефект
                  Отправитель: В.Машталов 23 Ноябрь 2006, 18:15
                  На 10 у UTN от Synthes 5,0, так же как у остеомеда, А остоемедовский Expert..., кажется Мастер, это вариант! Инструмент они нам высылают (по крайней мере мы ставим их длинные "PFN")
                  По поводу Ваших модификаций ЦИТО много здесь читал, но мое ображение к ним успехов не имело, или секрет или не на того менеджера попал.
                  Опять-же- инструмент, сложно зависить от их временной аренды. Увы инструмент мы приоретаем из внутренних резервов и возможностей.
                  Интерес есть, заскочу в ЦИТо Будучи в столице. Кстати, может они выпускаю и Ваши плоские развертки для канала по дополнительной просьбе?
                  С ув. В.Машталов

                  [ Ответить ]
                  • Re: Псевдоартроз, краевой дефект
                    Отправитель: Alexander Chelnokov 23 Ноябрь 2006, 21:51
                    ВМ> Опять-же- инструмент, сложно зависить от их временной аренды. Увы инструмент
                    ВМ> мы приоретаем из внутренних резервов и возможностей.


                    Отечественный должен быть недорогой.

                    ВМ> Интерес есть, заскочу в ЦИТо Будучи в столице.

                    Да, надо при случае и мне наведаться, узнать, что новенького.

                    ВМ> Кстати, может они выпускаю и Ваши плоские развертки для канала по
                    ВМ> дополнительной просьбе?


                    В планах. Пока одну сделали для пробы - из нержавейки. Вроде похоже, и по обычном каналу хорошо идет, но не знаю, можно ли так ее гнуть, как титановую. Буду давить, чтобы все-таки сделали титановые. Заготовки я и тут нашел, можно на месте сделать, но что-то среди фрезеровщиков пока травматизм упал, что ли... ;-)

                    [ Ответить ]
              • Re: Псевдоартроз, краевой дефект
                Отправитель: Алексей Семенистый 23 Ноябрь 2006, 18:18
                >инсрумент, занят в
                Москве, навернее А. Семенистым) если нет, то UTN c 3-мя винтами дистально.


                Неправда это, у нас свой инструмент.
                UTN с 3-мя винтами так себе будет. Проксимальный из дистальных очень блмзко к перелому будет (если не через перелом). У Expert самый проксимальный из 4-х дистальных винтов ближе к концу штифта, чем у UTN, кажется, на 8 мм.
                Солидные Expert почему-то стоят в 2 раза дороже и в РФ могут быть привезены только на заказ.


                > кажется Мастер, это вариан! Инструмент они нам высылают

                "Мастер" тоже не 5 копеек стоит, но действительно вариант.

                > крайней мере мы ставим их длинные "PFN")

                Ну, и как они Вам?

                > успехов не имело, или секрет или не на того менеджера попал.
                > Опять-же- инструмент, сложно зависить от их временной аренды.


                Вот-вот, таже ерунда :)

                Удачи! А.Семенистый

                [ Ответить ]
                • Re: Псевдоартроз, краевой дефект
                  Отправитель: В.Машталов 23 Ноябрь 2006, 22:58
                  > Неправда это, у нас свой инструмент.

                  Только завидую Вашей матер. базе, значит в Москве появились еще фанаты Експерта.

                  >> крайней мере мы ставим их длинные "PFN")
                  >
                  > Ну, и как они Вам


                  Мы их используем только при подвертельных и высоких диафизарных переломах и
                  только в версии long, так как сомневаемся, что шеечные винты могут работать динамично. Кстати,
                  разнос по углам шеечных и дистальных отверстий достаточно удобно при дистальном блокировании, но то, что шеечные винты не канюлированные это
                  анахронизм.

                  > > успехов не имело, или секрет или не на того менеджера попал.
                  >> Опять-же- инструмент, сложно зависить от их временной аренды.
                  >
                  > Вот-вот, таже ерунда :)


                  время тратить на поездку к ним безполезно ( метро, 10 ост тролллейбуса)и не стоит без протеже Алескандра Николаевича.
                  с ув. В. Машталов

                  [ Ответить ]
                  • Re: Псевдоартроз, краевой дефект
                    Отправитель: Alexander Chelnokov 23 Ноябрь 2006, 23:14
                    ВМ> Мы их используем только при подвертельных и высоких диафизарных переломах и
                    ВМ> только в версии long, так как сомневаемся, что шеечные винты могут работать динамично.


                    А что, фиксаторы такого дизайна показали невозможность телескопирования при вертельных переломах? Шеечные винты у таких конструкций, правда, могут так "динамично работать" иной раз, что не обрадуешься - Z-эффект, миграция...

                    ВМ> Кстати, разнос по углам шеечных и дистальных отверстий достачно

                    Нельзя ли чуть поподробнее про "разнос по углам"?

                    ВМ> то,что шеечные винты не канюлированные это анахронизм.

                    А зачем они так уж нужны канюлированные? Спица нужна лишь для ориентации перед сверлением. В некоторых случаях она все равно уже отсутствует к мооменту введения винта, а то и уже при формировании канала, и винт замечательно все равно вводится. Иногда она чуть изгибается, и если настойчиво сверлить, то можно и ее перепилить,
                    кусочек остается в шейке и головке, проблемы тоже особой нет, но неприятный осадок остается.

                    ВМ> время тратить на поездку к ним безполезно (метро, 10 ост
                    ВМ> тролллейбуса)и не стоит без протеже Алескандра Николаевича.


                    Кому надо протеже составить - обращайтесь. ;-)

                    [ Ответить ]
                    • Re: Псевдоартроз, краевой дефект
                      Отправитель: В.Машталов 25 Ноябрь 2006, 23:41
                      > А что, фиксаторы такого дизайна показали невозможность
                      > телескопирования при вертельных переломах? Шеечне винты у таких
                      > конструкций, правда, могут так "динамично работать" иной раз, что не
                      > обрадуешься - Z-эффект, миграция...


                      Динамичность не прогнозируема, один винт ползет, другой стоит, люфт винтов в гвозде большеват, а их 2, так,что мы не рискуем при вертельных переломах.

                      > ВМ> Кстати, разнос по углам шеечных и дистальных отверстий достачно
                      >
                      > Нельзя ли чуть поподробнее про "разнос по углам"?


                      Отвестия дистально и проксимально находятся не по одной линии, а под углом 20 гр, т.е дистальное блокирование проводится в обычном направлении, а не по углом, что достаточно неудобно.

                      > ВМ> то,что шеечные винты не канюлированные это анахронизм.
                      >
                      > А зачем они так уж нужны канюлированные? Спица нужна лишь для
                      [...]
                      > неприятный осадок остается.


                      Может Вы и правы.

                      > Кому надо протеже составить - обращайтесь. ;-)
                      Когда там буду, шепотом скажу что от Вас.;-)

                      с ув. В.Машталов

                      [ Ответить ]
                      • Re: Псевдоартроз, краевой дефект
                        Отправитель: Алексей Семенистый 25 Ноябрь 2006, 23:43
                        Приветствую!

                        > Динамичность не прогнозируема, один винт ползет,другой стоит, люфт винтов в
                        > гвозде большеват, а их 2, так,что мы не рискуем при вертельных переломах.


                        Но рискуете при подвертельных!

                        > Отвестия дистально и проксимально находятся не по одной линии , а под углом
                        > 20 гр, т.е дистальное блокирование проводится в обычном направлении, а не по
                        > углом, что достаточно неудобно.


                        Тоже не Остеомед придумал. Это у всех подобных гвоздей есть.

                        > > А зачем они так уж нужны канюлированные? Спица нужна лишь для
                        > > ориентации перед сверлением.


                        Все-таки лучше сначала спицей. Если сверло не туда пошло, эту дырку уже не залепишь.

                        А.Семенистый

                        [ Ответить ]
                        • Re: Псевдоартроз, краевой дефект
                          Отправитель: В.Машталов 25 Ноябрь 2006, 23:44
                          > Но рискуете при подвертельных!

                          Да, но здесь это менее принципиально, риск обусловлен бюджетом.

                          > Тоже не Остеомед придумал. Это у всех подобных гвоздей есть.

                          Даже не сомневался, хотя недавно смотрел Таргон Эскулапа, там этой фишки нет, радует что копирум лучшее.


                          > > > А зачем они так уж нужны канюлированные? Спица нужна лишь для
                          >> > ориентации перед сверлением.
                          >
                          > Все-таки лучше сначала спицей. Если сверло не туда пошло, эту дырку уже не
                          > залепишь.


                          Да мы не только это умеем делать на "коленке", иногда больше половины комплекта инструмента нашим людям кажется лишним!!!
                          Я за технологичность.
                          В.Машталов

                          [ Ответить ]
                          • Re: Псевдоартроз, краевой дефект
                            Отправитель: Alexander Chelnokov 26 Ноябрь 2006, 00:19
                            >> Но рискуете при подвертельных!
                            > Да, но здесь это менее принципиально, риск обусловлен бюджетом.


                            Скпасибо Алексею Семенистому, пояснившему, что речь про гвоздь, который по дизайну ближе не к проксимальному, а к реконструкционному, с двумя одинаковыми шеечными винтами, хоть и бОльшими, чем 6,5 мм. Тогда я с Вами солидарен в том, что остеопорозные вертельные переломы для такого гвоздя не лучшее решение, будут случаи прорезания. А подвертельные - самое то ренокструкционного. Винт на всю длину сидит в одном фрагменте, которому не надо телескопироваться, там нет
                            остеопороза...

                            > Да мы не только это умеем делать на "коленке", иногда больше половины
                            > комплекта инструмента нашим людям кажется лишним!!!
                            > Я за технологичность.


                            Так ли уж всегда все неправы насчет "лишнего инструмента"...
                            Перед этим комплектом был предыдущий, и про него тоже "нашим людям" говорили, что надо делать все "по оригинальной методике", и не моги иначе. Однако же кто-то предложил следующий комплект, которые устраняет недостатки предыдущего.
                            Если ручка не пишет в невесомости, кто-то разрабатыает супер-ручку, которая таки там пишет, а кто-то обходится карандашом ;-) Важно, достигается ли необходимый результат.

                            [ Ответить ]
                        • Re: Псевдоартроз, краевой дефект
                          Отправитель: Alexander Chelnokov 25 Ноябрь 2006, 23:48
                          >> > А зачем они так уж нужны канюлированные? Спица нужна лишь для
                          >> > ориентации перед сверлением.
                          АС> Все-таки лучше сначала спицей. Если сверло не туда пошло, эту дырку уже не залепишь.


                          Да вопросов нет, она сначала и вводится, убедились, что она там, где надо, сформировали канал по спице, внимательно следя за картинкой и ощущениями. И если вытащили спицу по ходу сверления или по окончании, то винт и неканюлированный завинчивается замечательно.

                          [ Ответить ]
                          • Re: Псевдоартроз, краевой дефект
                            Отправитель: Алексей Семенистый 25 Ноябрь 2006, 23:49
                            > Да вопрососв нет, она сначала и вводится..... И если вытащили спицу по ходе сверления или по окончании,
                            > то винт и неканюлированный завинчивается замечательно.


                            Все правильно говоришь. Только у обсуждаемого имплантата и соответствующее 8-ми мм. сверло неканнюлированное! И вообще этот PFN-Oм сосвсем не такого дизайна, как PFN-Synthes, скорее на Beznoska и на S&N (TriGen))похож.

                            [ Ответить ]
                            • Re: Псевдоартроз, краевой дефект
                              Отправитель: Alexander Chelnokov 26 Ноябрь 2006, 12:47
                              > Все правильно говоришь. Только у обсуждаемого имплантата и
                              > соответствующее 8-ми мм. сверло неканнюлированное!


                              Ну хоть втулка для пробной спицы-то есть?

                              > И вообще этот PFN-Oм сосвсем не такого дизайна, как PFN-Synthes,
                              > скорее на Beznoska и на S&N (TriGen))похож.


                              Не доводилось таким пользоваться. Может, где-то на выставках и видел, но не обратил внимания, видимо.


                              [ Ответить ]
                              • Re: Псевдоартроз, краевой дефект
                                Отправитель: Алексей Семенистый 26 Ноябрь 2006, 13:49
                                > Ну хоть втулка для пробной спицы-то есть?

                                НЕТУ!!!

                                > > скорее на Beznoska и на S&N (TriGen))похож.
                                >
                                > Не доводилось таким пользоваться. Может, где-то на выствках и видел,
                                > но не обратил внимания, видимо.


                                Ты не много потерял!

                                А.Семенистый

                                [ Ответить ]
                                • Re: Псевдоартроз, краевой дефект
                                  Отправитель: Alexander Chelnokov 26 Ноябрь 2006, 13:53
                                  > > Ну хоть втулка для пробной спицы-то есть?
                                  > НЕТУ!!!


                                  Это очевидное упущение разработчиков.
                                  Придется выкручиваться - или взять такую втулку от другого набора, или идти в "Детский мир" за игрой "Сделай сам" ;-)

                                  >> но не обратил внимания, видимо.
                                  > Ты не много потерял!


                                  Для эрудиции надо будет познакомиться.

                                  [ Ответить ]
                                  • Re: Псевдоартроз, краевой дефект
                                    Отправитель: В.Машталов 27 Ноябрь 2006, 16:16
                                    Не совсем так плохо, есть 2- втулки и 2- спицы, Пока верхняя или нижняя спица через втулку держит ось в другую вводишь неканюлированный винт.
                                    Сверло под винт конусное, нивелирует погрешности с одной стороны, но с другой стороны - винт вводится с определенным напряжением, Т.Е два винта с
                                    напряжением (ч. перекосом все-таки загоняются) означает- прощай любая динамизация, здравстуй уже не Z-эффект а У или Х - эффекты.
                                    В. Машталов

                                    [ Ответить ]
                                    • Re: Псевдоартроз, краевой дефект
                                      Отправитель: Алексей Семенистый 27 Ноябрь 2006, 17:14
                                      > спица через втулку держит ось в другую вводишь неканюлированный витн.

                                      Отстал от жизни совсем! Кажется они только одну втулку давали в аренду. Неужели вторую сделали!? Молодцы!


                                      > напряжением( ч. перекосом все-таки загоняются) означает- прощай любая
                                      > динамизация, здравстуй уже не Z-эффект а У или Х - эффекты.


                                      "У" - это когда один винт лоиается, а "Х" - когда оба?

                                      А.Семенистый.

                                      P.S. Так что и чем за операцию в результате сделали, или собираетесь?

                                      [ Ответить ]
                                      • Re: Псевдоартроз, краевой дефект
                                        Отправитель: В.Машталов 27 Ноябрь 2006, 17:16
                                        "У" - это когда один винт лоиается, а "Х" - когда оба?

                                        Именно так!

                                        > P.S. Так что и чем за операцию в результате сделали, или собираетесь?

                                        Пока нет, ремонтирум ЭОП( РТС612 буть он неладен, вернее ладен), с результатми ознакомлю, как только...., собираемся UTN 10 мм, померили 3
                                        винта 5,0 ( вернее4,9) помещаются дистально . На Мастере 10 мм винты 4,0 ( а не 5,0) так-что по прочности примерно одинаково будет ( 4Х 4,0 или 3Х 5,0.)

                                        С ув. В. Машталов

                                        [ Ответить ]
                                        • Re: Псевдоартроз, краевой дефект
                                          Отправитель: Алексей Семенистый 27 Ноябрь 2006, 17:20
                                          > винта 5,0 ( вернее4,9) помещаются дистально . На Мастере 10 мм винты 4,0 ( а
                                          > не 5,0)


                                          Ситуация плановая. На заказ Остеомед сделает вам дырки под 5,0 винты, а Synthes привезет неканнюлированный Expert

                                          Удачи! А.Семенистый

                                          [ Ответить ]
                                          • Re: Псевдоартроз, краевой дефект
                                            Отправитель: В.Машталов 27 Ноябрь 2006, 21:10
                                            В этой ситуации Нам прийдется иметь на столе 1 штифт, т.к Synthes на заказ привезет 1 штифт и Остеомед будет сверлить только 1 штифт на заказ, а
                                            ошибиться в длинне здесь нельзя ни как. Увы больная 2-3 штифта оплачивать не будет.Увы, наши благие намеренья корректирует ситуация.

                                            С ув. В.Машталов

                                            [ Ответить ]
                                            • Re: Псевдоартроз, краевой дефект
                                              Отправитель: Алексей Семенистый 28 Ноябрь 2006, 00:03
                                              > В этой ситуации Нам прийдется иметь на столе 1 штифт, т.к Synthes на
                                              > заказ привезет 1 штифт


                                              А UTN-ов у Вас будет три?

                                              > Остеомед будет сверлить только 1 штифт на заказ,

                                              Уверены? Нам и по три насверливали.

                                              > ошибиться в длинне здесь нельзя ни как. Увы больная 2-3 штифта
                                              > плачивать не
                                              > будет.Увы, наши благие намеренья корректирует ситуация.


                                              В такой ситуации мы делаем на длинной пленке снимок всей голени (можно обеих) с плотно приложенной к коже спицей известной длины с максимального расстояния рентгеновской трубки и минимальным расстоянием между кассетой и голенью.

                                              А.Семенистый

                                              [ Ответить ]
                                              • Re: Псевдоартроз, краевой дефект
                                                Отправитель: В.Машталов 28 Ноябрь 2006, 17:39
                                                Матис дает с возвратом 3, но возврат только упакованных Мы делаем примерку самого штифта под Эопом по здоровой ноге в начале операционного дня, отдаем в стерилизацию искомый, остальные отправляем в
                                                упаковке. Голь на выдумку хитра!

                                                с ув. В. Машталов

                                                [ Ответить ]
                                                • Re: Псевдоартроз, краевой дефект
                                                  Отправитель: Алексей Семенистый 28 Ноябрь 2006, 17:41
                                                  Вообщем, то же самое только вид сбоку. Все равно стерилизуете 1, т.е на операцию идете с 1 штифтом. Так узнайте длину не в день операции, а за две недели до. И закажите 1 нужного размера, но более подходящий, чем UTN, ведь время есть.

                                                  С уважением А.Семенистый

                                                  [ Ответить ]
                                                  • Re: Псевдоартроз, краевой дефект
                                                    Отправитель: В.Машталов 28 Ноябрь 2006, 21:24
                                                    > Вообщем, то же самое только вид сбоку. Все равно стерилизуете 1, т.е на
                                                    > операцию идете с 1 штифтом. Так узнайте длинну не в день операции, а за
                                                    > две недели до. И закажите 1 нужного размера, но более подходящий, чем UTN,
                                                    > ведь время есть.


                                                    Да, но еще 2 в запасе, есле чего - спокойнее, можно и стерилизнуть. С нашими друзьями из Матиса потом легче объсниться, чем с больными в случае
                                                    проблем.

                                                    Воистину семь раз отмерь!
                                                    Мы уже созрели к Експерту или Мастеру, PHNу, дал задание нашему дилеру соорганизовать нам складик, тем более данная проблема не единственная под
                                                    эти штифты, растем, фанатеем, уже интересы начитают выходить за пределы стандартных диафизарных штифтов. К хорошему привыкаешь быстро. Спасибо, не без Вашей помощи!
                                                    Да и вопросов возникает все больше, надеюсь на дальнейшую помощь сообщества.
                                                    С ув. В. Машталов

                                                    [ Ответить ]
                                                    • Re: Псевдоартроз, краевой дефект
                                                      Отправитель: Алексей Семенистый 01 Декабрь 2006, 00:37
                                                      Synthes начинает ввозить стерильные штифты. Появился Expert на бедро.

                                                      Удачи, А.Семенистый

                                                      [ Ответить ]
                                                • Re: Псевдоартроз, краевой дефект
                                                  Отправитель: Alexander Chelnokov 28 Ноябрь 2006, 17:44
                                                  ВМ> Мы делаем примерку самого штифта под Эопом по здоровой ноге в начале

                                                  У нас обычно есть возможность взять нужный штифт из нескольких десятков, но все равно предпочитаем предварительно сделать снимок с линейкой. Точнее всего получается, если положить линейку вдоль сегмента и сделать два маленьких снимка с центрацией на суставы.
                                                  Линейка, сегмент и кассета должны быть параллельны. Луч им перпендикулярен. Один длинный снимок дже с большого расстояния дает искажения, линейка ближе к трубке, поэтому увеличена чуть больше.
                                                  А вообще для голени - вполне можно и рулеткой померять здоровую.

                                                  [ Ответить ]
                                                  • Re: Псевдоартроз, краевой дефект
                                                    Отправитель: Алексей Семенистый 28 Ноябрь 2006, 21:21
                                                    > У нас обычно есть возможность взять нужный штифт из нескольких
                                                    > десятков,


                                                    Сытый голодного не разумеет!

                                                    > Точнее всего получается, если положить линейку вдоль
                                                    > сегмента и сделать два маленьких снимка с центрацией на суставы.
                                                    > Линейка, сегмент и кассета должны быть параллельны. Луч им
                                                    > перпендикулярен. Один длинный снимок дже с большого расстояния дает
                                                    > искажения, линейка ближе к трубке, поэтому увеличена чуть больше.


                                                    Конечно.

                                                    > А вообще для голени - вполне можно и рулеткой померять здоровую.

                                                    Семь раз отмерь, один раз забей!

                                                    А.Семенистый

                                                    [ Ответить ]
                                        • Re: Псевдоартроз, краевой дефект
                                          Отправитель: Alexaander Chelnokov 27 Ноябрь 2006, 22:08
                                          > Пока нет, ремонтирум ЭОП( РТС612 буть он неладен, вернее ладен),

                                          Знакомая проблема... В округе много их понакупили, даже нам парочка попала.

                                          > с результатми ознакомлю, как только...., собираемся UTN 10 мм, померили 3
                                          > винта 5,0 ( вернее4,9) помещаются дистально.


                                          Может, и хватит этого.

                                          > На Мастере 10 мм винты 4,0 (а не 5,0)

                                          На выставке в Самаре их спрашивал, чего такие гвозди тонкие, и винты, мол, а 12 мм где? Вызвал недоумение этими вопросами... Мол, а зачем, а и так хорошо, а никто не просит...

                                          > так-что по прочности примерно одинаково будет ( 4Х 4,0 или 3Х 5,0.)

                                          Нагрузка равновмерно на все винты не раскладывается, так что наступать сильнее можно с 5 мм. Но расположение отверстий на UTN таково, что
                                          передне-задний винт может быть осью, вокруг которой развивается подвижность во фронтальной плоскости. Так что есть смысл дополнить фиксацию poller'ами.

                                          [ Ответить ]
                      • Re: Псевдоартроз, краевой дефект
                        Отправитель: Alexander Chelnokov 25 Ноябрь 2006, 23:46
                        ВМ> Динамичность не прогнозируема, один винт ползет,другой стоит, люфт винтов в
                        ВМ> гвозде большеват, а их 2, так,что мы не рискуем при вертельных переломах.


                        В общем, не зря в США гвозди PFN такого дизайна больше не применяются.
                        Хотя если аккуратно сделать все, основной шеечный винт ввести до субхондральной кости, второй, который потоньше, взять сильно покороче, то миграция будет редко.

                        ВМ> Отвестия дистально и проксимально находятся не по одной линии , а
                        ВМ> под углом 20 гр, т.е дистальное блокирование проводится в обычном


                        А, это про антеверсию проксимального отдела - это хорошо, но много у каких гвоздей такого назначения есть.

                        >> Кому надо протеже составить - обращайтесь. ;-)
                        ВМ> Когда там буду, шепотом скажу что от Вас.;-)


                        Я при случае тоже замолвлю словечко.

                        [ Ответить ]
    Re: Псевдоартроз, краевой дефект
    Куликов Иван Владимирович 22 Ноябрь 2006, 01:51
    Наверное в данном случае перед интубацией б\берцовой кости хотелось бы сделать сцинтиографию на предмет воспалительных изменений после снятия аппарата. стержнем это хорошо но наверное пока без динамизации и не плохо былобы открытся,резецировать конци и обложить все нормальным аутотрансплантатом из крыла. тогда можно надеятся на сращение.
    [ Ответить ]

    Re: Псевдоартроз, краевой дефект
    Алексей Семенистый 22 Ноябрь 2006, 02:38
    >В данный момент проблем с тканями нет, >...Местно рубцовый процесс 3х5 в зоне перелома.

    Рубцы это уже проблема.

    >1. Только штифт первично >динамизированныйДостаточно-ли кантакта для >сращения?

    Контакт не самое главное. Важнее стабильность и хорошее кровоснабжение.
    Рассверлить-забить-блокировать статично.

    >2.Аддаптирующая резекция через небольшой разрез >вне рубца, с оставлением костных фрагментов >парадифизарно, как элемент костной пластики,

    Рассверливание как элемент костной пластики. Можно декортикацию. Резекцию не стоит, мне кажется.

    >+ 2 кольца ЧКДО с отсрочкой дистального >блокирования)с последующей компенсацией >укорочения транспортом на штифте.

    Если есть значимое укорочение, то да, только про остеотомию м\б кости не забудьте.

    С уважением А.Семенистый

    [ Ответить ]

    Re: Псевдоартроз, краевой дефект
    Odessky Jacob M.D. 22 Ноябрь 2006, 03:49
    Уважаемый коллега!
    Вы имеете дело не с псевдоартрозом, а с замедленно срастающимся переломом.
    Прежде,чем обсуждать план лечения, я рекомендую проанализировать причины замедления сращения.
    Возможно они связаны с тяжестью травмы, нестабильностью аппарата с самого начала,инфекционным процессом или заболеванием больного, снижающим потенциал сращения.
    Будьте добры послать снимки до операции . а также после операции, на которых видна компановка аппарата Илизарова. Кстати на представвленных рентгенограммах в аппарате есть спица с напайкой, проведённая проксимально перелома через обе кости... Если можно, объясните необходимость такого проведения.
    Кроме того в плане обследования обязательно надо исключить наличие вялотекущей инфекции - Анализы крови и скенировние костей Технеций + Галий или меченные лейкоциты.
    Выбор метода лечения будет зависеть от обследования.
    С уважением!
    [ Ответить ]

    • Re: Псевдоартроз, краевой дефект
      Отправитель: В.Машталов 22 Ноябрь 2006, 14:04
      Ув. Яков!
      "Вы имеете дело не с псевдоартрозом, а с замедленно срастающимся переломом"

      По срокам -да, по сути

      "Прежде,чем обсуждать план лечения, я рекомендую проанализировать причины замедления сращения"

      Не исключаем нестабильность аппарата и инфекция, но на до клиническом уровне (т.е мы глазами не видили)

      "Будьте добры послать снимки до операции . а также после операции, на которых видна компановка аппарата Илизарова.">

      К сожалению они нам не доступны (грех нашего архивного хранения)

      "Кстати на представвленных рентгенограммах в аппарате есть спица с напайкой, проведённая проксимально перелома через обе кости..."

      Там две спицы с напайкой дистально и проксимально и обе только через 1 кость

      "Если можно, объясните необходимость такого проведения"

      Встречно-боковая компрессия по классике, удержать отломки от смещения по ширине

      "Кроме того в плане обследования обязательно надо исключить наличие вялотекущей инфекции - Анализы крови и скенировние костей Технеций + Галий или меченные лейкоциты"

      Уже сделали -кровь спокойная,при радионуклиидном исследовании(технеций)накопление в с-н/3 + 80% Иключили или доказали ? Не знаю, исходим из того, что она спит.

      "Выбор метода лечения будет зависеть от обследования".

      Не будем будить- малоинвазавно, солидный титановый или ТАN штифт, стабильность АБ, иммуномодуляторы + помощь Всевышнего, от вмешательства на зоне перелома отказались (спасибо советам коллег)

      С ув. В.Машталов








      [ Ответить ]
      • Re: Псевдоартроз, краевой дефект
        Отправитель: Castro 24 Ноябрь 2006, 17:13
        Zdrastvuete Dr. Mashtalov,
        Mne kazetsa, chto itoi bolnoi dostatochno budet nalozit' funksionalio poviazku po Saramento, hodba s nagruzkoi na 2 measeasa i zdat' sroshenie, esli net, togda operirovat', hotia ni dumaio, chto nuzno budet.

        [ Ответить ]

     

    ( Ответить )

    Powered by Zope  Squishdot Powered MedLink
    Посетитель: 0221010
      "По форме правильно, а по существу - издевательство" В.И.Ленин
    ©2001-2019Orthoforum Coordinator.
    [ Главная | Отправить сообщение | Поиск | Админ ]