AOTRAUMA.ORG Центр Илизарова  

Ортопедия и травматология Общие вопросы/General questions Help Информационные технологии в медицине
 вверх
 отправить
 поиск
 админ
 главная


К вопросу об удалении металлоконструкций
Ортопедия и травматология Отправлено Антон Лебединец 05 Декабрь 2006, 03:55
К вопросу об удалении металлоконструкций: формулировка диагноза, название операции.Помогите решить конкретную клиническую задачу.
Уважаемые коллеги! У больного сросшися перелом локтевой кости в с/з, фиксированный около 9-ти лет назад компрессирующим богдановским стержнем. В последнее время стали беспокоить боли в области выхода стержня, чувство усталости в кисти, что мешало работе (больной - водитель). Взят на удаление металла под м/анестезией. В процессе "удаления" больной получил массу "приятных" ощущений. После 1,5 часов мучений металл удалить не удалось (был обнажен конец стержня в области локтевого отростка и немного растрепанирована кость в месте выхода).Рана зашита. В п/о периоде нагноения не отмечалось, однако заживления раны не наступило. На 20-е сутки сняты швы (перевязки проводились сестрой практически без участия врача), рана "развалилась" на всю длину - до 6 см. Из раны светлая вязкая жидкость - синовиальная? Конец стержня прикрыт м/тканями. Вопросы:1 Дальнейшая тактика в данном конкрентом случае. Больной обратился к нам (23-и сутки после операции)- оперирован в другой больнице. Имеет ли смысл удалять стержень сейчас с ревизией раны, или заживить рану вторичным натяжением а потом удалять металл.2 К вопросу об удалении в общем - обязан ли хирург удалить металл в любом случае сразу (а не за несколько попыток) (если только это не сопряжено с дополнительной массивной травматизацией или риском повреждения важных анатомических образований).3 Может ли указанная выше операция носить название "удаление металлоконструкции" с указанием в протоколе причины НЕудаления или же правомочно название "Попытка удаления" (др. вариант - ревизия области локтевого сустава с целью удаления?)4 Возможно ли в формулировке диагноза использование слов "неудаляемая металлоконструкция"?Спасибо!

<  |  >

 

  • Сообщения о Ортопедия и травматология
  • Также Антон Лебединец
  • Связаться с автором
  • Ответить

    Re: К вопросу об удалении металлоконструкций
    дмитрий бондарь 05 Декабрь 2006, 21:43
    Удалять металл под М\А-жутковато(для клиента) . Удалять металл в Вашем случае обязательно , пока не уберете , рана не заживет (IMHO) . Скорее всего Вы уже имеете остеомиелит . Я думаю , что стоит взять посев из раны .Так , что удаляйте , мойте , антибиотики , И т. д.
    С уважением Д.Б.
    [ Ответить ]

    Re: К вопросу об удалении металлоконструкций
    крылов андрей. 08 Декабрь 2006, 01:50
    А не пробовали вообщее без анестезии. Как в гестапо.
    При адекватном обезболивании даже трудно удаляемые металлические конструкции можно спокойно без спешки удалить.
    А вообще не мешалоб бы посмотреть Р.гр.
    "неудаляемая металлоконструкция" - это интересно.
    Крылов Андрей
    [ Ответить ]

    Re: К вопросу об удалении металлоконструкций
    Игорь Зинчук 08 Декабрь 2006, 21:17
    Удалять метал под М/А нельзя, это варварство. Давайте наркоз и удаляйте иначе дождётесь остеомиелита.
    [ Ответить ]

    Re: К вопросу об удалении металлоконструкций
    Anton Vakulenko 09 Декабрь 2006, 01:05
    > выхода).Рана зашита. В п/о периоде нагноения не отмечалось, однако
    > заживления раны не наступило.


    Интересно. Что же, если не "нагноение" не дало ране зажить?

    > проводились сестрой практически без участия врача), рана "развалилась"
    > на всю длину - до 6 см. Из раны светлая вязкая жидкость -
    > синовиальная?


    По всей видимости, это отделяемое инфицированной раны. Раневая инфекция далеко не всегда проявляется "классическим" гноетечением.

    > тактика в данном конкрентом случае. Больной обратился к нам (23-и
    > сутки после операции)- оперирован в другой больнице. Имеет ли смысл
    > удалять стержень сейчас с ревизией раны, или заживить рану вторичным
    > натяжением а потом удалять металл.


    Мне кажется, лучше удалить имплант под нормальной анестезией и попутно сделать хорошую ревизию раны.

    2 К вопросу об удалении в общем -
    > обязан ли хирург удалить металл в любом случае сразу


    Слово "обязан" попахивает прокуратурой. :) Удалять фиксатор (если он беспокоит) нужно, но нередко это действительно связано с травматизацией (особенно, если фиксатор поставлен давно, а операцию проводят в перевязочной под местной анестезией :)
    [ Ответить ]

    • Re: К вопросу об удалении металлоконструкций
      Отправитель: starostenko vladimir 09 Декабрь 2006, 14:51
      наверное если бы правильно была произведена оценка предоперационных рентгенограм возмозжно вы могли уже правильно оценить будущие трудности в ходе оперативного вмешательства.1 оценили насколько плотно сидит металл если зона лизиса вокруг меаллоконструкции.2 при первых трудностях извлечения стоило больному дать общий наркоз а не при криках и стонах да и своем дискомфорте 1,5 часа выквыривать металоконструкцию.3перевязки хотя бы первую неделю производить самому тогда взможно увидеть первые признаки инфицирования и погасить инфекци на ранних стадиях развития.4. если в ране торчит металл скорее всегоконечно удалить меалл под общей анестезией по возможности певичнозакрытьраневую пвехность местными тканями и проочнымдренированием с уважением и успешных результатов

      [ Ответить ]
    Re: К вопросу об удалении металлоконструкций
    Алексей Минервин 14 Декабрь 2006, 10:38
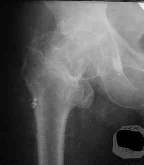
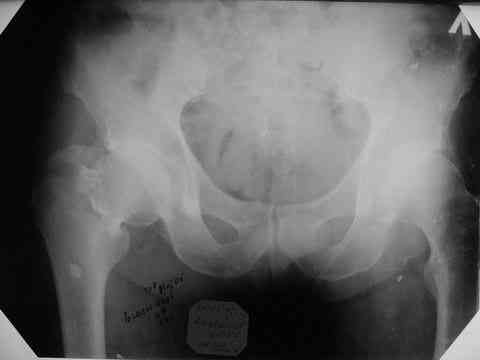
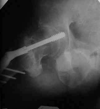
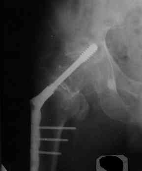
    Все-таки хочу поделиться раз затронулась тема, может кому-нибудь и сгодиться. Это пример из области скорее трудноудаляемой. Пациент 50 лет, травма (низкоэнергетическая) 1,5 года назад. Оперирован через неделю (винт отечественный). Через 4 месяца выполнен контрольный снимок, сразу же возник вопрос: почему винт не телескопировался? Вопрос в общем-то так и остался без ответа.
    При удалении (наркоз) после неимоверных усилий пришлось выкрутить фиксатор единым блоком и только тут все встало на свои места. См. фото.




    Грустно+ Вот какие сюрпризы преподносят иногда коллеги.
    С уважением А.Минервин.
    [ Ответить ]


    ( Ответить )

    Powered by Zope  Squishdot Powered MedLink
    Посетитель: 0171316
      "По форме правильно, а по существу - издевательство" В.И.Ленин
    ©2001-2019Orthoforum Coordinator.
    [ Главная | Отправить сообщение | Поиск | Админ ]