AOTRAUMA.ORG Центр Илизарова  

Ортопедия и травматология Общие вопросы/General questions Help Информационные технологии в медицине
 вверх
 отправить
 поиск
 админ
 главная
 Предыдущее


Re: пластина или гвоздь?
Дрягин 08 Декабрь 2006, 19:10
Если позволяют средства, то я бы поставил пластину лучше метафизарную LCP.Возможно даже малоинвазивно.С уважением
  • Сообщения о Ортопедия и травматология
  • Также Дрягин
  • Связаться с автором
  • Ответить

    Re: пластина или гвоздь?
    А.Миронов 08 Декабрь 2006, 20:33
    Виталий Геннадьевич! А почему не EXPERT?

    С Уважением А.Миронов



    [ Ответить ]

    • Re: пластина или гвоздь?
      Отправитель: Дрягин 09 Декабрь 2006, 09:03
      Есть большой опыт лечение низких переломов голени.Это по сути дела перелом пилона типа А.Околосуставной. Малоинвазивно,отрепонировав сначала и зафиксировав стержневым аппаратом можно добится идеальной репозиции и очень стабильной фиксации пластиной.Здесь можно применить и прямую пластину и специальную для переломов пилона.Она в отличие от клевера имеет неограниченную длину и адаптирована к поверхности.Гвоздь это же относительная стабильность.Особенно при низких переломах голени.С уважением

      [ Ответить ]
      • Re: пластина или гвоздь?
        Отправитель: Alexaander Chelnokov 09 Декабрь 2006, 15:48
        Д> репозиции и очень стабильной фиксации пластиной. Здесь можно применить
        Д> и прямую пластину и специальную для переломов пилона. Она в отличие от


        Безусловно, тут и пластину, и аппарат можно применить. То есть выбор здесь определяется не возможностью обеспечить желаемый окончательный результат (который практически одинаков при любом варианте хирургической стабилизации), а какие-то другие фвкторы.

        Д> Гвоздь это же относительная стабильность. Особенно при низких переломах голени.

        "Относительная" - не значит "недостаточная".
        Любой интрамедуллярный остеосинтез - это фиксация с т.н. относительной стабильностью. Но прочность, особенно усталостная, у стержней куда выше.


        [ Ответить ]
    • Re: пластина или гвоздь?
      Отправитель: Maxim Agalakov 09 Декабрь 2006, 09:39
      a почему EXPERT? ФГУП ЦИТО выпускает замечательные гвозди-Metadiafix, гораздо дешевле. но возможностей даже больше при "проблемных" локализациях.

      [ Ответить ]
    Re: пластина или гвоздь?
    дмитрий бондарь 08 Декабрь 2006, 22:58
    Или два шурупа + аппарат сверху ( кажется на форуме коллега Заднепровский представлял недавно) или чистый аппарат.
    С уважением Д.Б.
    [ Ответить ]

    Re: пластина или гвоздь?
    Alexaander Chelnokov 09 Декабрь 2006, 01:09
    "Вы еще пользуетесь пластинками при таких переломах? Тогда мы идем к вам!";-)
    Почему не заштифтовать? Малоинвазивно это будет не то что "возможно", а всенепременно. И если фиксатор отечественный использовать, то и про средства особо напрягаться не придется. По соотношению цена/результат - штифтование тут в разы превосходит LCP. Если бы было повреждение суставной поверхности - основания для выбора операции и фиксатора были другие. Мы же вроде и про такие переломы в Челябинске разговаривали, и картинки смотрели... Неужели не убедил? Придется снова приехать ;-))
    [ Ответить ]

    • Re: пластина или гвоздь?
      Отправитель: Алексей Семенистый 10 Декабрь 2006, 02:30
      Приветствую, Александр и Виталий!

      > > Д> Если позволяют средства, то я бы поставил пластину лучше метафизарную
      > Д> LCP. Возможно даже малоинвазивно.


      Вероятно, и мы поступили бы так же, не смотря на любовь к штифтам


      > "Вы еще пользуетесь пластинками при таких переломах? Тогда мы идем к
      > вам!";-)
      > Почему не заштифтовать? Малоинвазивно это будет не то что "возможно",
      > а всенепременно. И если фиксатор отечественный использовать, то и про
      > средства особо напрягаться не придется. По соотношению цена/результат
      > - штифтование тут в разы превосходит LCP.


      С последним утверждением не могу согласиться. Перелом А1.- вполне реально малоинвазивной техникой добиться анатомичной репозиции, компрессии перелома стягивающим винтом + нейтрализующая LCP (лучче премоделированной) И ДАТЬ НАГРУЗКУ СРАЗУ, КАК НА ГВОЗДЕ. Свои наблюдения показывают, что при таких дистальных переломах даже при очень хорошей репозиции на штифте часто бывает замедленное сращение и, что самое главное через 4-6 месяцев функция полностью еще не восстанавливается, а с пластиной - восстанавливается.

      А.Семенистый

      [ Ответить ]
      • Re: пластина или гвоздь?
        Отправитель: Alexaander Chelnokov 10 Декабрь 2006, 02:36
        >> > Д> Если позволяют средства, то я бы поставил пластину лучше метафизарную
        >> Д> LCP. Возможно даже малоинвазивно.
        АС> Вероятно, и мы поступили бы так же, не смотря на любовь к штифтам

        У нас тоже LCP доступны, но со штифтами как-то оно и проще, и надежнее.

        АС> С последним утверждением не могу согласиться. Перелом А1.- вполне
        АС> реально малоинвазивной техникой добиться анатомичной репозиции,


        При любом варианте (аппарат, пластина, гвоздь) здесь можно и нужно добиться закрытой репозиции.

        АС> компрессии перелома стягивающим винтом + нейтрализующая LCP (лучче
        АС> премоделированной)


        Это, безусловно, выполнимо, как и любой другой вариант фиксации отломков. Вопрос - что оптимальнее? Для начала - определиться бы с
        критериями оптимальности?

        АС> И ДАТЬ НАГРУЗКУ СРАЗУ, КАК НА ГВОЗДЕ.

        Нагрузку без ограничений? С массой тела >100 кг? С правильным штифтом можно. А с пластинами? Надо будет на стенде погонять при случае.

        АС> Свои наблюдения показывают, что при таких дистальных переломах
        АС> даже при очень хорошей репозиции на штифте часто бывает замедленное
        АС> сращение


        При спиральных переломах - не припоминаю. Есть примеры посмотреть?

        АС> и, что самое главное через 4-6 месяцев функция полностью
        АС> еще не восстанавливается, а с пластиной - восстанавливается.


        Интересно. Контрактуры тут IMHO ожидаемы в первую очередь при лечении "классическими" аппаратами со сквозными спицами через переднюю группу мышц. Со стержнями проблем с функцией в такие сроки не припоминаю. С малоинвазивными пластинами тоже. В общем, без исследования не обойтись.

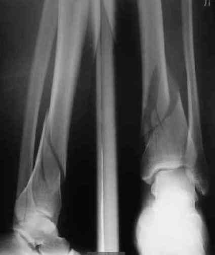
        В приложении пример лечения аналогичного повреждения (плюс задний край).



        [ Ответить ]
        • Re: пластина или гвоздь?
          Отправитель: Алексей Семенистый 10 Декабрь 2006, 07:53
          > У нас тоже LCP доступны, но со штифтами как-то оно и проще, и
          > надежнее.


          Когда есть выбор методов, помноженный на опыт и умения врача, это всегда здорово, проще и надежнее!

          > При любом варианте (аппарат, пластина, гвоздь) здесь можно и нужно
          > добиться закрытой репозиции.


          Не просто репозиции, а анатомичной. Анатомичная репозиция требует абсолютной стабильности. Конечно, первичное сращение вообще - не самоцель. Но при простом метафизарном переломе это правильная цель.

          > Вопрос - что оптимальнее? Для начала - определиться бы с
          > критериями оптимальности?


          Сложный философский вопрос!

          > АС> И ДАТЬ НАГРУЗКУ СРАЗУ, КАК НА ГВОЗДЕ.

          > Нагрузку без ограничений? С массой тела >100 кг? С правильным штифтом
          > можно. А с пластинами? Надо будет на стенде погонять при случае.


          С правильной пластиной правильно установленной тоже ДА! (не вообще, а именно при этом переломе)

          > АС> даже при очень хорошей репозиции на штифте часто бывает замедленное
          > АС> сращение
          >
          > При спираьных переломах - не припоминаю. Есть примеры посмотреть?


          Пожалуй ты прав, при простых низкоэнергетических спиральных переломах ничего не нашел :)

          > АС> еще не восстанавливается, а с пластиной - восстанавливается.
          >
          > Со стержнями проблем с функцией в такие сроки не припоминаю. С
          > малоинвазивными пластинами тоже. В общем, без исследования не обойтись.


          Прекрасная мысль!

          > В приложении пример лечения аналогичного повреждения (плюс задний край).

          Превосходно!

          С уважением, А.Семенистый



          [ Ответить ]
      • Re: пластина или гвоздь?
        Отправитель: А.Миронов 10 Декабрь 2006, 10:22
        >Свои наблюдения показывают, что при таких дистальных переломах даже при очень хорошей репозиции на штифте часто бывает замедленное сращение и, что самое главное через 4-6 месяцев функция полностью еще не восстанавливается, а с пластиной - восстанавливается.
        A как Вы это обьясняете
        А.Миронов

        [ Ответить ]
        • Re: пластина или гвоздь?
          Отправитель: Алексей Семенистый 10 Декабрь 2006, 20:15
          >Свои наблюдения показывают, что при таких >дистальных переломах даже при очень хорошей >репозиции на штифте часто бывает замедленное >сращение и, что самое главное через 4-6 месяцев >функция полностью еще не восстанавливается, а с >пластиной - восстанавливается.
          >A как Вы это обьясняете
          >А.Миронов

          Возможно нагрузка, которую мы разрешаем на штифте, оказывается неадекватной достигнутой стабильности и репозиции. Кроме того, Александр Николаевич меня справедливо поправил, это касается более тяжелых повреждений с прямым механизмом.

          А.Семенистый

          [ Ответить ]

     

    ( Ответить )

    Powered by Zope  Squishdot Powered MedLink
    Посетитель: 0214258
      "По форме правильно, а по существу - издевательство" В.И.Ленин
    ©2001-2019Orthoforum Coordinator.
    [ Главная | Отправить сообщение | Поиск | Админ ]