ВХОД ДЛЯ ПАЦИЕНТОВ
вверх
поиск
админ
главная
исходное
|
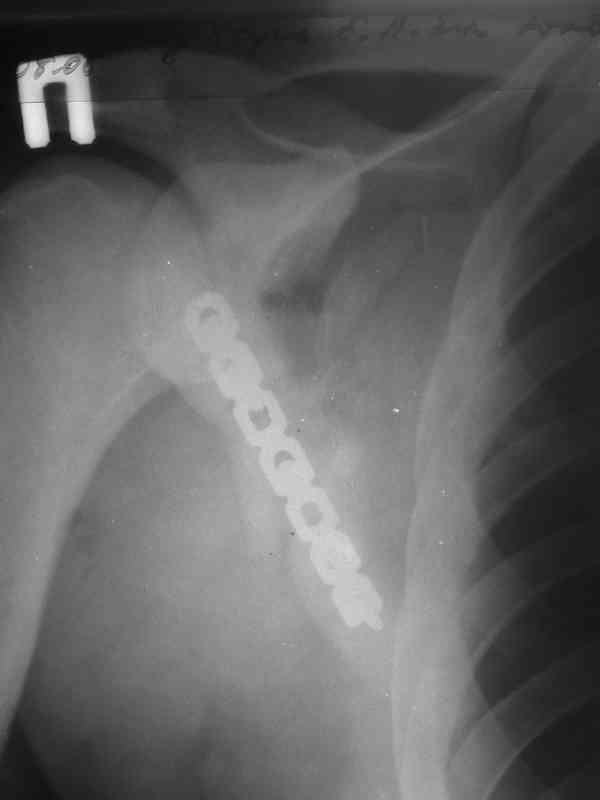
Re: Перелом лопатки, ключицы, ребер
послал А.Миронов 09 Декабрь 2006, 08:40
|
Мы в таких случаях оперируем в 2-а этапа:
1. Стабилизация грудной клетки(фиксируем ребра по одной из линий рекон. LCP)
2. Остеосинтез лопатки из заднего доступа(рекон.LCP, LC-LCP 3,5мм, Т-обр.LCP 3,5мм); ключицу стандартно

А.Миронов
|
Послать ответ |
Обратите внимание: Поля с жирными названиями обязательны.
Старайтесь отвечать в рамках обсуждаемой темы, а не начинать новые обсуждения.
Указывайте адекватную тему сообщения, чтобы было ясно, о чем оно.
Не послайте сообщений не по теме (оффтопик), раздраженных, грубых или обидных комментариев. Здесь это неуместно.
|