AOTRAUMA.ORG Центр Илизарова  

Ортопедия и травматология Общие вопросы/General questions Help Информационные технологии в медицине
 вверх
 отправить
 поиск
 админ
 главная


Травма таза
Ортопедия и травматология Отправлено Leonid N. Pollyak 15 Декабрь 2006, 17:45
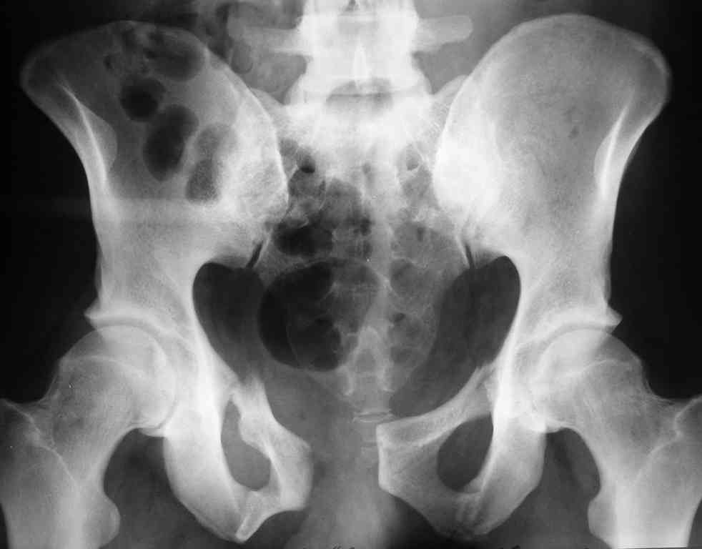
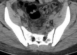
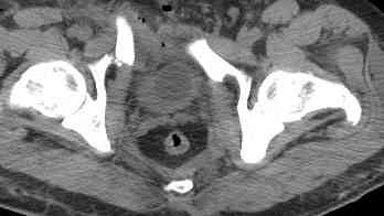
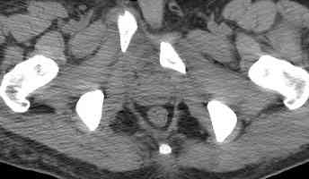
Уважаемые коллеги! опять вопрос по повреждению таза. Больной получил производственную травму 10 дней назад - удар балкой около 3 тонн в область верхней трети правого бедра и лона.

Был диагностирован перелом "типа бабочки" и повреждение уретры. Сделана цистостома. У насв отделении 3 дня. Имеется огромная флюктуирующая гематома с "галифе"-образной деформацией обеих бедер. Пнкционно эвакуировали в несколько приемов из подфасциальных полостей на бедрах около 3 литров геморрагического отделяемого с последующей эластической компрессией. При пункциях выявлено сообщение полостей на бедрах - видимо через поравннуюдиафрагму дна и полость таза - при удалении крови справа уменьшался объем левого бедра. Какой то активности проявялять покабоимся - аппаратная фиксация через отслоенные ткани представляется чреватой нагноением, открытая фиксация в условиях такой гематомы тоже не радует. Хотелось бы услышать ваше мнение

<  |  >

 

  • Сообщения о Ортопедия и травматология
  • Также Leonid N. Pollyak
  • Связаться с автором
  • Ответить

    Re: Травма таза
    Maxim Agalakov 15 Декабрь 2006, 23:47
    можно полечить в 2 этапа:как правило в области гребней гематомы все же не бывает, если гребни "свободны", то можно ограничиться на первом этапе передней рамой, вводя стержни через них (повреждение ротационно-нестабильное), затем после лечения отслаивающего повреждения Morel-Lavallee, выполнить открытую репозицию, внутреннюю фиксацию, возможно вместе с урологами. Тактику возможного лечения этой
    гематомы прилагаю.

    С уважением,
    Максим Агалаков
    Кликните для загрузки файла Morel-Lavallee.pdf
    266KB (273117 bytes)

    [ Ответить ]

    Re: Травма таза
    Вадим Э. Дубров 17 Декабрь 2006, 19:42
    С моей точки зрения, бояться аппарата внешней фиксации не надо. Более того, он абсолютно показан, и чем раньше, тем лучше.
    Явная ошибка - прекратите мучить пациента и выполните дренирование по Буяльскому-Мак-Уортеру. Судя про всему - возможно неполноценное дренирование мочевого пузыря, и то, что вы принимаете за гематому, на самом деле является урогематомой. Бойтесь флегмоны внутритазового пространства!!

    С наилучшими пожеланиями,
    Вадим Эрикович Дубров,
    д.м.н., профессор кафедры хирургии
    факультета фундаментальной медицины МГУ им. М.В.Ломоносова,
    руководитель клиники травматологии, ортопедии и медицины катастроф
    ФФМ МГУ на базе КБ №123 Федерального медико-биологического агенства
    России
    [ Ответить ]

    Re: Травма таза
    Djoldas Kuldjanov, M.D. 18 Декабрь 2006, 19:29
    Леонид,


    "Имеется огромная флюктуирующая гематома с "галифе"-образной деформацией обеих бедер. Пнкционно эвакуировали в несколько приемов из подфасциальных полостей на бедрах около 3 литров геморрагического отделяемого с последующей эластической компрессией."

    Типичная картина Morel-Lavallee повреждения.
    Безуспешны многочисленные шприцевые эвакуации, мы лечим в операционной, доступом на латеральной поверхности, открытием образования с удалением и очисткой полости щеткой. Закрываем с дренажной трубкой (в архивах сайта) и накладывается мягкая повязка Спика из нескольких слоев эластичной повязки.
    Следующим этапом через 5-6 дней приступаем к фиксацию повреждения таза, иначе прооперериванные на фоне Morel-Lavallee повреждения осложняются инфицированием послеоперационной раны.

    [ Ответить ]

    Re: Травма таза
    Leonid Pollyak 19 Декабрь 2006, 21:35
    Большое спрасибо всем откликнувшимся

    18.12. - отдельное спасибо еще раз А.В.Рункову- больного оперировали (А.В.Рунков) - произведен остеосинтез аппаратом - фиксация за крылья, два стержня в лонные кости и репозиция (почти полная) снимки будут чуть позже.
    Дренировали отслойки на бедрах с их санацией. В правой ягодичной области сформировалась зона некроза. Больной "подвешен" за аппарат.

    Best regards,

    Dr.Pollyak
    [ Ответить ]


    ( Ответить )

    Powered by Zope  Squishdot Powered MedLink
    Посетитель: 0193791
      "По форме правильно, а по существу - издевательство" В.И.Ленин
    ©2001-2019Orthoforum Coordinator.
    [ Главная | Отправить сообщение | Поиск | Админ ]