ВХОД ДЛЯ ПАЦИЕНТОВ
вверх
поиск
админ
главная
исходное
последующие
|
Re: Перелом шейки бедра, выявленный после штифтова
послал Djoldas Kuldjanov, M.D. 03 Январь 2007, 22:33
|
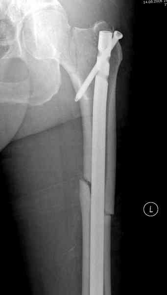
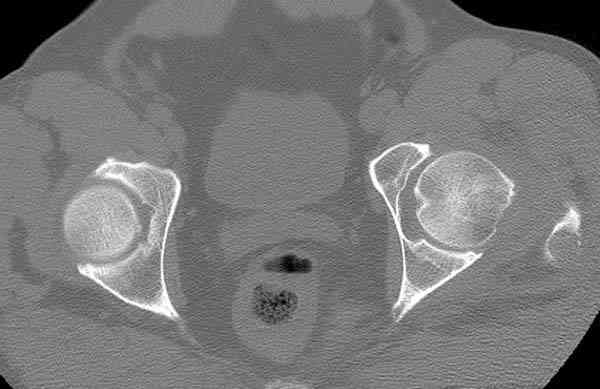
Здесь представлены снимки больного 65 лет, поступившего с диагнозом перелом
бедра после автоаварии.

В первый же день произведено антеградное штифтованием DePuy Trochanteric Nail.

На второй день (7) обнаружен пропущенный перелом,

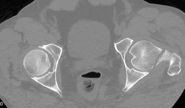
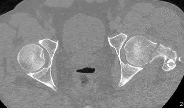
сделаны Компьютерная Томограмма

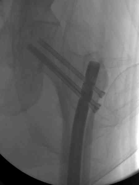
и проведены шурурпы через и спереди штифта без удаления.

Послеоперационные снимки

Djoldas Kuldjanov, MD
Department of Orthopedic Surgery
St. Louis University Medical Center
|
Послать ответ |
Обратите внимание: Поля с жирными названиями обязательны.
Старайтесь отвечать в рамках обсуждаемой темы, а не начинать новые обсуждения.
Указывайте адекватную тему сообщения, чтобы было ясно, о чем оно.
Не послайте сообщений не по теме (оффтопик), раздраженных, грубых или обидных комментариев. Здесь это неуместно.
|