ВХОД ДЛЯ ПАЦИЕНТОВ
вверх
поиск
админ
главная
исходное
последующие
|
Re: Perelom N/3 kostei goleny
послал Дрягин В. 04 Январь 2007, 08:51
|
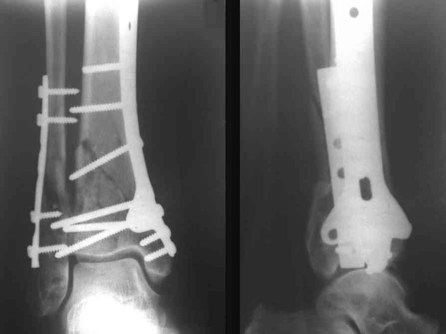
На рентгенограммах типичный перелом пилона по типу С-3. есть опыт до 100 открытых опреаций у нас в клинике. 20 примерно в год. Принцип один -все внутрисуставные переломы нуждаются в открытой репозиции и внутренней стабильной фиксации. При поступлении КТ не надо, так как получается только нагромождение костей. Истинной картины нет. Главное восстановить длину малоберцовой кости - это ключ к успеху. При поступлении меньше всего надо думать о сосудистых расстройствах, т.к. сама операция и репозиция даже сначала частичная даёт улучшение сосудитых нарушений. Причём очень быстро. Операция в 2этапа. При поступлении доступ позади наружной лодыжки, причём обязательно. После этого репозиция малоберцовой кости и фиксация пластиной 1/3 трубки под винт 3,5. Дренаж и любой аппарат наружной фиксации. Затем после спадения отёка на 5-7-10 день аппрат снимается и дугообразный разрез спереди от медиальной лодыжки 10-12 см. Главной чтобы расстояние между 1 и вторым разрезом было не меньше 7-8 см. Тогда не будет некрозов лоскутов. Таранная кость используется как матрица на неё укладываются отломки и фиксируются пицами. Ренг-контроль. Отломки лежат все отдельно, но ничего не высыпется. При переломах С-3 всегда нужна костная пластика (из крыла). Фиксация пластиной лист клевера простой или LCP. Гипс не нужен. Дренаж до 48 часов. Операция длится 3-4 часа обязательно без жгута. Посылаю примерно такой же случай.

|
| Послать ответ |
Обратите внимание: Поля с жирными названиями обязательны.
Старайтесь отвечать в рамках обсуждаемой темы, а не начинать новые обсуждения.
Указывайте адекватную тему сообщения, чтобы было ясно, о чем оно.
Не послайте сообщений не по теме (оффтопик), раздраженных, грубых или обидных комментариев. Здесь это неуместно.
|