вверх
отправить
поиск
админ
главная
|
Отправлено Djoldas Kuldjanov, M.D. 05 Январь 2007, 02:44
Др. Дрягин в своих случаях показал и правильно подсказывает методику АО, в первую очередь восстановление длины малоберцовой, а потом восстановление суставной поверхности и в зависимости от случая в дистальном эпиметафизе с костной пластикой. Конечно, в идеале, если это возможно, применение современных фиксаторов без открытия места перелома с перкутанными и малоинвазивными пластинами с угловой стабильностью.
Техника АО является эталоном операционной "этики", и для применения этой техники необходимо знание по применению инструментария и техники "inderect reduction", то есть техники "непрямой репозиции", термин, введенный Jeff Mast, которого считают одним из китов АО, а его книга "Planning and Reduction Technique in Fracture Surgery" до сих является бестселлером в ортопедии.
У специалистов АО особый культ обращения с мягкими тканями опереруемого участка. Владея техникой и знаниями всех трюков по перемещению фрагментов, они добивались отличных результатов без некроза кожного покрова. В то же время, эти результаты не смогли повторить хирурги из Нового Света, они получали множественные осложнения по несращению, и некоторые заканчивались ампутациями голени.
При их публикациях, как оправдание были попытки доказать, что не оперативная техника, а этиология травмы влияет на показатели, естественно у больных с низкоэнергетичними и изолированными травмами был бОльший процент благоприятных исходов, чем у больных в высокоскоростной травмой.
Множественные осложнения внутрисуставных переломов (пилон или тибиа плато) в середине восьмидесятых, заставили многих американских ортопедов сделать поездку в далекий Сибирский Курган для обучения “Bloodless”- бескровной, закрытой технике с помощью спиц, метода Илизарова, и до сих пор владеющих "методом русской техники&" считают"ортопедами высшего пилотажа".
Поэтому доктору Castro - представителю "русской школы" самому решать, какая из всех существующих методик фиксации выбрать самую подходящая для лечения этого непростого случая.
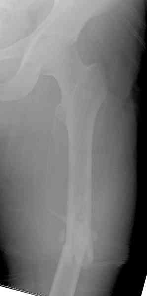
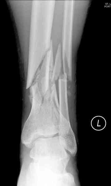
При высокоскоростных переломах редко можно встретить изолированную травму пилона, и в моей практике изолированные травмы большая редкость, поэтому, как дополнение к обсуждаемой теме, решил представить свежий, двухдневной давности случай.
Предыдущей сменой до 4:00 утра по поводу открытого перелома бедра, тибиал плато, пилон и надколенника сделана операция.

Пострадавшему 21 г., травма скоростная, после I&D с расширением раны, на бедре сделана операция ретроградным интрамедуллярным штифтом, остеосинтез с частичной резекцией надколенника и ушивание собственной связки.
На голень наружный фиксатор, рану на бедре ушили (рана была изнутри кнаружи всего 2 см). По протоколу травматических больных, до операции обследован ангиографически, (у больного дистально не смогли определить пульсацию) сосудистый хирург подтвердил проходимость на всем протяжении магистрального сосуда нижней конечности по снимкам ангиограмм.
На следующее утро в 7 часов осмотрен, у больного отсутствовал пульс на a.dorsalis pedis и на a. tibialis posterior, при пассивном движении первого пальца болевой симптом и отсутствовала чувствительность в поространстве между первым и вторыми пальцами.
Сравнительный повторный мониторинг на компартмент синдром, на голени утром давление поднялось до 70 мм, когда послеоперационные были около 30мм.

Срочная фасциотомия на всех 4 компартментах: латерально и медиально,
кстати было достаточно только латеральной фасциотомии, чтобы услышать на допплере пульсацию,
на бедре измерения не подтвердили подозрения на компартмент синдром и рана была закрыта вакуумной губкой (wound VAC).

В настоящее время больной в реанимации по поводу Черепно Мозговой Травмы и состояние улучшается. Запланировал ушивание раны в пятницу, если позволит состояние мягких тканей и при отсутстви отека возможно удастся просунуть перкутанномедиальную пластину.
КТ пилона имеем.

Несмотря на дружественный скепсис моих друзей по сайту, что компартмент синдром почему то встречаются только у меня, но я убежден, что такие осложнения будут встречатmся везде, где имеются больные после скоростных травм, поэтому тщательный клинический осмотр всех с переломов голени предупредит упущения синдрома.
Djoldas Kuldjanov, MD Department of Orthopedic Surgery St. Louis University Medical Center
<
|
>
|
|
Ответить
|
Re: Pilon
Дрягин В. 05 Январь 2007, 09:03
|
К сожалению нам далеко до такого подхода к лечению.Нет к сожалению у нас лечения по протоколу. Но приятно увидеть.Есть к чему стремиться.А главное понимание цивилизованных ПРИНЦИПОВ и ФИЛОСОФИИ АО при лечении травмы. Многие в нашей стране изобретают велосипед,хотя уже давно все известно. Читай учись и делай.К сожалению у нас у русских все не так.Спасибо.
|
[
Ответить ]
|
Re: Pilon
Дрягин В. 05 Январь 2007, 14:30
|
Да кстати нашёл похожий случай для пилона.Малоинвазивная дистальная пластина LCP у вас я думаю есть опыт их использования ну очень хорошая. Очень стабильно получается.

С уважением Дрягин.
|
[
Ответить ]
|
Re: Pilon
Castro 05 Январь 2007, 15:07
|
Dr. Kuldjanov,
Ito prosto fantastica, nice job, keep up!
Castro
|
[
Ответить ]
|
Re: Pilon
дмитрий бондарь 05 Январь 2007, 23:21
|
Уважаемые коллеги ! У меня возникло три вопроса :
1)Имеет ли преимущество "открытая" фасциотомия перед "закрытой" ( без рассечения кожи) ?
2)Возможно стоит рассекать фасцию при подобных высокоскоростных травмах первично "по протоколу" всегда ?
3)Насколько доказательно измерение давления в футлярах ? (помнится на Форуме был реферат статьи по данной теме)
С уважением Д.Б.
|
[
Ответить ]
|
Re: Pilon
Отправитель: Castro 06 Январь 2007, 01:30
|
Da, bili dolgie disskusi po itomu voprosu i mnogie podvergli somnenio metodu izmerenie davlenie v futlarah.
S Uvazeniem Dr.Castro
|
[
Ответить ]
|
|
Re: Pilon
Odessky Jacob M.D. 06 Январь 2007, 03:15
|
Уважаемые коллеги! Поздравляю всех с Новым Годом!
Мне бы хотелось вернуть обсуждение с конкретного случая, представленного уважаемым доктором Кульджановым, к общей теме переломов "пилон" и не обсуждать сейчас показания к фасциотомии.Потому, что этот вид переломов является нашей "болью". Я позволю себе начать с обзора литературы по этому виду травмы!
Из всех внутрисуставных переломов дистального конца голени, Rüedi и Allgöver 2 и 3 представляют собой одну из самых больших проблем для ортопедов, занимающихся травмой. Эти повреждения, как правило, вызываются большой энергией и сопровождаются тяжёлой травмой мягких тканей.
Термин "ibial pilon" был предложен французским радиологом Destot в 1911, который сравнил взрывчатое воздействие таранной кости на суставную поверхность голени с молотком, ударяющим гвоздь. Первичное усилие, вертикально направленное через таранную кость на суставную поверхность большеберцовой кости, ведёт к перелому с различной степенью дробления суставной поверхности и прилегающего метафиза, порой доходящего до дистальной части диафиза, повреждению внутрисуставного хряща и мягких тканей.
Классическая последовательность открытой редукции состоит из следующих этапов: 1-Восстановление длины и фиксация перелома малоберцовой кости
2 - Реконструкция суставной поверхности большеберцовой кости. 3 - Заполнение
метаэпифизарного дефекта свободным костным трансплантатом. 4 - поддерживающая фиксация с помощью накостных пластин.
Обзор литературных данных показывает, что подобная тактика даёт довольно низкий процент удовлетворительных результатов (37-60%). По данным Bourne, Teeny and Wiss инфекционные осложнения встречаются в 13-37%, расхождения краёв раны в 67%, а 26% больных нуждаются в артродезах голеностопного сустава в связи с развитием его артроза. Отсроченная двухэтапная открытая репозиция с внутренней фиксацией даёт 33% глубокой инфекции (Wyrsch et).
Такое большое количество неудовлетворительных результатов внутренней фиксации взрывных переломов голеностопного сустава, вызвало пересмотр классических методов лечения и появлению работ, в которых ограниченная внутренняя фиксация перелома большеберцовой кости сочетается с наружной
фиксацией. Такая комбинация улучшила процент удовлетворительных результатов до 67-81%, уменьшила количество нагноения глубоких слоёв раны до 8%, однако спицевые нагноения сохраняют по данным некоторых авторов довольно высокий процент – 37%, а потеря редукции составляет 11% (Dickson, Montgomery, and Field, Court, Brown et).
Другая комбинация, включающая открытую редукцию и фиксацию с помощью пластин перелом малоберцовой кости с наружной фиксацией перелома большеберцовой кости по данным Williams et даёт 23% инфекционных осложнений, 9% ложного сустава малоберцовой кости, 4,5% неправильно сросшихся переломов, по данным Watson et смещения метафизео-диафизарного перехода составляют 64%.
Интересное исследование было проведено Blauth M, Bastian L, Krettek C, et al.
Surgical options for the treatment of severe tibial pilon fractures: a study of three techniques. J Orthop Trauma. 2001;15:153-160. Авторы разделили 51 больных с переломами типа пилон (39 закрытые и 19 открытые) на 3 группы.
В 1-ю группу (29%) вошли больные, получившие первичную открытую редукцию с внутренней фиксацией с помощью пластин и шурупов, без гипсовой иммобилизации, которым было разрешена частичная нагрузка и разработка голеностопного сустава.
2-ой группе (55%) был произведен одномоментный минимально инвазивный остеосинтез с длительной фиксацией голеностопного сустава аппаратом внешней фиксации.
3-ей группе (16%) на первом этапе наложен аппарат, для восстановления мягких тканей, на втором этапе произведён минимально инвазивный остеосинтез, с последующей разработкой и частичной нагрузкой в аппарате.
Не было выявлено статистически значимой разницы среди групп ни в количестве инфекционных осложнений, ни других осложнений со стороны мягких тканей, ни в количестве посттравматических артрозов.
Другая интересная работа Bhattacharyya T; Crichlow R; Gobezie R Complications associated with the posterolateral approach for pilon fractures. J Orthop Trauma. 2006; 20(2):104-7
19 пациентов (15 закрытых переломов, 4 - открытых). Из-за высокого процента осложнений при переднем доступе к голеностопному суставу при данных переломах, пациенты лечились временной наружной фиксацией, затем отсроченной внутренней фиксацией с помощью шурупов и пластин из задне-латерального доступа. Средние сроки до дефинитивного лечения были 13 (2-30) дней. 9 пациентов (47%) имели осложнения, включая 6 – проблемы с ранами, 2 асептических и 2 септических ложных суставов, 3- тибиоталярных анкилоза.
Авторы не рекомендуют этот доступ для редукции внутрисуставных переломов.
Показания к аппарату Илизарова при подобных переломах по Hutson:
1. Тяжёлые повреждения мягких тканей
2. Раздробленность внутрисуставной поверхности большеберцовой кости тяжёлой или средней степени тяжести.
3. Внутрисуставной перелом, достигающий дистального диафиза большеберцовой кости.
4. Раздробленный перелом малоберцовой кости.
5. Значительная потеря костной ткани вместе перехода диафиза в метафиз.
На сегодняшний день, стандартом лечения переломов pilon являются протоколы, включающие наложение наружных фиксаторов на 1-3 недели для поддержания длины и восстановления мягких тканей с последующей закрытой или открытой репозицией перелома большеберцовой кости и фиксацией наружным аппаратом в комбинации с минимальной внутренней фиксацией или без неё, ± фиксация малоберцовой кости с помощью платы и шурупов. Голеностопный сустав фиксируется в аппарате 6-12 недель, после чего начинается его разработка, общий срок фиксации в аппарате 12-16 недель, а для переломов проникающих до диафиза – 6 месяцев.
Как видно из обзора литературы, при имеющихся на сегодняшний день методиках, на исход лечения подобных переломов существенно не влияют ни сроки дефинитивной операции, ни вид доступа.
Такая отсроченная тактика окончательной репозиции вызвана тем, что при наличии тяжёлого повреждения мягких тканей, их отёк не позволяет произвести два оперативных доступа к большеберцовой и малоберцовой костям по причине невозможности закрытия одной из ран. Кроме того, фиксация голеностопного сустава в течение столь длительного периода приводит к контрактуре голеностопного сустава.
Роль открытой фиксации малоберцовой кости при использовании наружных фиксаторов довольно противоречива. Потенциальные преимущества включают увеличение механической стабильности, помощь в репозиции передне-наружного внутрисуставного фрагмента, и восстановление длины и оси голени (Chaput). Потенциальные неудобства включают увеличение времени операции; осложнения раны, и возможная потребность в удалении пластин и шурупов. Кроме того, такая фиксация перелома малоберцовой кости ограничивает способность динамизации наружного фиксатора и может привести к отсроченному сращению или варусной деформации в случае, если дефект метафиза не заполнен костным трансплантатом. Наконец столь длительная фиксация в аппарате представляется неоправданной.
Подводя итог обзору литературы, с горечью отмечаю, что, на сегодняшний день нет хорошего метода лечения взрывных переломов дистальной голени. А раз дело обстоит таким образом, не пришло ли время пересмотреть то, что является эталоном операционной "этики"!!! Может быть в этом и есть причина наших неудач!!! Ведь если методика работает только у авторов, значит либо плохая методика, либо автор что-то преукрашивает!
Я продолжу свои суждения по этому поводу завтра!!!
Всем желаю счастья и творческих успехов в этом году!!!
|
[
Ответить ]
|
Re: Pilon
Марикин Михаил Викторович 06 Январь 2007, 12:17
|
Уважаемые коллеги. Компартмент синдром наверное "больная тема". Почему то эту тему упорно обходят стороной. Хотя в практике с ним встречались все. Синдром этот прогнозирум, и встречается у большинства пациентов с метаэпифизарными,оскольчатыми и фрагментарными переломами голени (в частности). Активная хирургическая тактика - остесинтез по принципам АО, вакуомное дренирование,возвышенное положение конечности и соответствующая консервативная терапия решает эту проблему. Выжидательная позиция приводит в развитию компартмент синдрома в течении нескольких часов. Вот тогда и начинаются все неприятности. То есть, мы с начала создаем себе трудности, а потом героически преодоливаем их. Аппараты внешней фиксации, по моим понятиям, допустимы как иммобилизирующие средства и оправданы у ограниченного контингента больных(шок, множественные и сочетанные травмы и т.д.) Переломы пилона,тибиального плато не для них. Тем более развитие компартмент синдрома они не предотвращают, что наглядно показал гн.Kuldjanov. Другой вопрос. Вопрос активной хирургической тактики у больных поступающих в состоянии шока, с множественной и сочетанной травмой. Этот вопрос постоянно муссируется в кругах травматологов нашей страны и нет единого мнения (Протокола)? По крайней мере доктор Kuldjanov наглядно показал,что они операбельны. Мы же работаем по принципу - кто во что горазд. Порой оперируя на свой страх и риск. Когда все заканчивается хорошо, это воспринимается как должное. Когда "не очень" - у окружающих и выше стоящих появляется много "интересных вопросов".
И последний вопрос. Вопрос интрамедуллярного остеосинтеза при ЧМТ. Насколько я помню со слов А. Челнокова в данном случае нужно проявлять осторожность, т.к. высок риск жировой эмболии. Хотелось еще раз услышать мнение "монсторов" инрамедуллярного остеосинтеза.
С Новым годом, всяческих успехов. С уважением Марикин МВ.
|
[
Ответить ]
|
Re: Pilon
Отправитель: Odessky Jacob M.D. 06 Январь 2007, 15:14
|
Марикин Михаил Викторович написал: "Синдром этот прогнозирум, и встречается у большинства пациентов с метаэпифизарными,оскольчатыми и фрагментарными переломами голени (в частности). Активная хирургическая тактика - остесинтез по принципам АО, вакуомное дренирование,возвышенное положение конечности и соответствующая консервативная терапия решает эту проблему. Выжидательная позиция приводит в развитию компартмент синдрома в течении нескольких часов. Вот тогда и начинаются все неприятности. То есть, мы с начала создаем себе трудности, а потом героически преодоливаем их."
Уважаемый Михаил Викторович! К сожалению, компартмент синдром непрогнозиоруемый!!!При наличии компартмент синдром нерекомендуется поднимать конечность, т.к. эта процедура уменьшает капиллярное давление и кровообращение тканей!!! Убольного с политравмой и повреждением головы, измерение давления в компартментах повреждённой конечности является обязательным, т.к. других симтомов ранней диагностики у больного с потерей сознания не выявишь!!! К сожалению остиосинтез по АО не является профилактикой компартмент синдром. При открытом остеосинтезе можно вскрыть компартменты, что многие из нас делают на практике. Надо отметить , что при этом мы не вскрываем все компартменты, а только доступные, чаще всего мы это делаем полузакрыто.
У меня ещё раз убедительная просьба не обсуждать компартмент сундром в пререломе пилона!!! Во-первых потому, что при пилонах его , как правило , не бывает. Во-вторых компартмент сундром заслуживает отдельной темы для обсуждения.
Марикин Михаил Викторович написал: "Аппараты внешней фиксации, по моим понятиям, допустимы как иммобилизирующие средства и оправданы у ограниченного контингента больных(шок, множественные и сочетанные травмы и т.д.) Переломы пилона,тибиального плато не для них."
Уважаемый Михаил Викторович! Мировая практика не совсем согласна с Вашим мнением! Может быть стоит познакомить уважаемых коллег с другими мнениями!!!
Другой вопрос. Вопрос активной хирургической тактики у больных поступающих в состоянии шока, с множественной и сочетанной травмой. Этот вопрос постоянно муссируется в кругах травматологов нашей страны и нет единого мнения (Протокола)? По крайней мере доктор Kuldjanov наглядно показал,что они операбельны. Мы же работаем по принципу - кто во что горазд. Порой оперируя на свой страх и риск. Когда все заканчивается хорошо, это воспринимается как должное. Когда "не очень" - у окружающих и выше стоящих появляется много "интересных вопросов".
Уважаемый Михаил Викторович! О каком виде шока Вы говорите? Если Вы имеете ввиду гиповолемический шок, то такому больному можно делать только операцию, направленную на остановку кровотечения. В случае, если в результате такой операции, пострадавший выходит из шока на операционном столе и не развил других проблем, к примеру коагулопатию, связанную с массивной трансфузией, то можно и нужно продолжить операцию и остеосинтезировать переломы. Если вы имеете ввиду больного политравмой, не находящегося в шоке, то его надо оперировать как можно скорее и тут я с Вами полностью согласен. Унас есть разница в определении самого шока, к промеру на Западе не существует понятия болевой шок. Поэтому, если уважаемым коллегам хочеться поднять этот вопрос, желательно открыть по нему тему!!!
Марикин Михаил Викторович написал:"И последний вопрос. Вопрос интрамедуллярного остеосинтеза при ЧМТ. Насколько я помню со слов А. Челнокова в данном случае нужно проявлять осторожность, т.к. высок риск жировой эмболии. Хотелось еще раз услышать мнение "монсторов" инрамедуллярного остеосинтеза."
Уважаемый Михаил Викторович! Вопрос о сроках остеосинтеза пострадавшего с ЧМТ зависит от наличия яиц у ортопеда, находящегося на дежурстве!!! Практически остеосинтез можно проводить либо до наступления отёка мозга, либо после его разрешения!!!
Если этот самый парный орган позволяет убедить анестезиологов и нейрохирургов в том, что остеосинтез для больного с потерей сознания предотвратит не только жировую эмболию, но неправильно сросшиеся переломы конечностей ( как известно переломы срастаются очень быстро при ЧМТ), облегчит уход за пострадавшим в палате интенсивной терапии, то его постравшему очень повезёт. Кстати отёк мозга развивается постепенно и через сутки после травмы оперировать пострадаввшего уже нельзя, до его разрешения!!! Незабудем тот факт, что измерение давления внутрикомпартментов повреждённых сегментов, является абсолютным показанием у пострадавшего с ЧМТ.
И последнее!!! Как правило прогнозы относительно ЧМТ могут не сбыться, поэтому слова нейрохирурга о том , что "он не жилец" не должны нас останавливать в нашей справедливой борьбе с лентяями анестезиологами!!!
Всего наилучшего!
|
[
Ответить ]
|
Re: Pilon
Отправитель: Марикин МВ 06 Январь 2007, 17:56
|
Уважаемые господа. Сегодня открыл наш форум и первое что увидел - сообщение и коментарии Доктора Кульджанова,который вольно или невольно затронул целый ряд важных и интересных тем и вопросов ( не тольно по лечению пилона).Всегда с интересом читаю сообщения и особенно тех врачей, которые работают в цивилизованных условиях с нормальными,практически не ограниченными возможностями. Всегда есть чему поучится и по хорошему позавидовать, в том числе и коллегам работающим в хороших Российских клиниках. Но мы работаем в России в разных условиях и с разными возможностями. Давайте поддерживать культуру общения и уважать друг друга.
С уважением Марикин МВ
|
[
Ответить ]
|
Re: Pilon
Отправитель: Alexander Chelnokov 06 Январь 2007, 16:00
|
> встречались все. Синдром этот прогнозирум, и встречается у большинства
> пациентов с метаэпифизарными,оскольчатыми и фрагментарными переломами
К сожалению, как Яков пишет, подфасциальный отек, ведущий к ишемическому некрозу содержимого фасциального футляра, далеко не всегда монжо предвидеть (за исключением уж явных краш-синдромов, когда сегмент уже был длительно сдавлен).
> и соответствующая консервативная терапия решает эту проблему.
Только фасциотомия ее решает.
> Выжидательная позиция приводит в развитию компартмент синдрома в
> течении нескольких часов.
Увы, он может быть осложнением остеосинтеза, хоть раннего, хоть отсроченного.
> преодоливаем их. Аппараты внешней фиксации, по моим понятиям,
> допустимы как иммобилизирующие средства и оправданы у ограниченного
> контингента больных(шок, множественные и сочетанные травмы и т.д.)
Есть современная концепция Damage Control, в пользу которой можно от персональных представлений смело отказаться ;-)
> Переломы пилона,тибиального плато не для них. Тем более развитие
> компартмент синдрома они не предотвращают, что наглядно показал
Аппараты широко и успешно применяются для предварительной и окончательной фиксации при повреждениях этих локлизаций. Литературы море.
> больных поступающих в состоянии шока, с множественной и сочетанной
> травмой. Этот вопрос постоянно муссируется в кругах травматологов
> нашей страны и нет единого мнения (Протокола)?
Еще раз - читайте литературу по Damage Control, есть уже и русскоязычные источники (здесь анонсировалась монография проф. Соколова В.А. из Склифа).
> По крайней мере доктор Kuldjanov наглядно показал,что они
> операбельны. Мы же работаем по принципу - кто во что горазд. Порой
Да, в отечественных учреждениях современные концепции помощи пациентам с политравмой практически нигде не используются. Протоколы есть - но свои, местные, и не менявшиеся с 50-х годов. Хирургическое пособие исчерпывается скелетным вытяжением, и "у койку". К сожалению, даже
хорошее знакомство с современными системами помощи не решает проблемы их внедрения в условиях учреждений с очень ограниченными ресурсами.
но такое знакомство хоть мотивацию создает, а капля камень точит.
> И последний вопрос. Вопрос интрамедуллярного остеосинтеза при ЧМТ.
> Насколько я помню со слов А. Челнокова в данном случае нужно проявлять
> осторожность, т.к. высок риск жировой эмболии.
Ранняя хирургическая стабилизация - как раз мера профилактики ARDS/жировой эмболии. Damage Control для этого и есть - если пациент стабильный, делать можно что угодно. Если тяжелый уже - то тактика DC, то есть первым этапом быстро аппараты, окончательная внутренняя фиксация или аппарат Илизарова - после улучшения и стабидлизации состояния.
|
[
Ответить ]
|
|
Re: Pilon
Др.в 06 Январь 2007, 13:30
|
С нетерпением жду результатов обсуждения.
На данный момент обучаюсь на кафедре травматологии и пока что встретил открытую репозицию данного перелома.
Др.В
|
[
Ответить ]
|
Re: Pilon
Odessky Jacob M.D. 06 Январь 2007, 16:34
|
Уважаемые коллеги!!! Позволю себе вернуться к моим рассуждениям по преломам Пилон!!!
В приложении дан файл в PDF. К сожалению он на английском языке - это версия плакатного доклада, с 4-ой конференции АСАМИ, которая проходила в Японии в Киото в октябре 2006 года.
Я не совсем уверен, что из-за величины файла, оно пройдёт, если нет, буду искать другие возможности.
 876 Кб
|
[
Ответить ]
|
Re: Pilon
Отправитель: Nick Wolfson 10 Январь 2007, 17:21
|
Dear Jacob:
It is simple, it is clean and very well done. Congratulations!
Nikolaj Wolfson
|
[
Ответить ]
|
|
Re: Pilon
Антон Андрианов 06 Январь 2007, 21:10
|
Уважаемые коллеги,
Великолепно, когда на тему, поднятую российским ортопедом , откликаются врачи из зарубежья. Можно сравнить не только тактические позиции, уровень оснащенности, но и системность подхода к конкретным ситуационным задачам. Оценивая с позиций доказательной медицины подходы к лечению переломов пилона, Dr. Odessky аргументирует выверенными цифрами зарубежных авторов. А кто может похвастаться подобными статданными российских авторов? Многолетнее пренебрежение аналитической статистикой приучило врачей практиков аргументировать лишь своим опытом.\ с чем пытается бороться модератор форума\. Различие в оснащении больниц в регионах, слепое копирование увиденного на курсах усовершенствования приводит к казусам. Так один сибирский коллега после обучения в Новокузнецке стимулировал остеогенез в ложном суставе диафиза большеберцовой кости имплантацией пористого никелида титана. Необходима унификация оснащения на первом этапе и рекомендации в виде стандартных протоколов на втором этапе. Так как первыми с подобными переломами сталкиваются дежурные врачи, не всегда умудренные большим опытом, видится оптимальным первичная фиксация в аппарате, меньше наносится непоправимого вреда. Дальнейшая тактика определится опытными врачами и оснащенностью службы. Простой приборчик для измерения подфасциального давления в тканях наши врачи только на рисунках и видели. Мне, к счастью, за многие годы работы досталось не так много больных с компартмент синдромом-плечо, предплечье, голень. Закрытая фасциотомия не дает хорошей декомпрессии, а при наличии салфеток или тюли БРАНОЛИНД фирмы Гартман открытая фасциотомия не составит проблемы с последующим закрытием раны через 3-4 суток. На одной из конференций профессор из ФРГ говорил, что частота КС увеличивается в выходные и праздничные дни, точнее после них, когда теряется преемственность наблюдения. Может ли способствовать хирургическая агрессия- первичный остеосинтез при поступлении пациента, увеличению частоты КС?
|
[
Ответить ]
|
( Ответить )
|
|