AOTRAUMA.ORG Центр Илизарова  

Ортопедия и травматология Общие вопросы/General questions Help Информационные технологии в медицине
 вверх
 отправить
 поиск
 админ
 главная


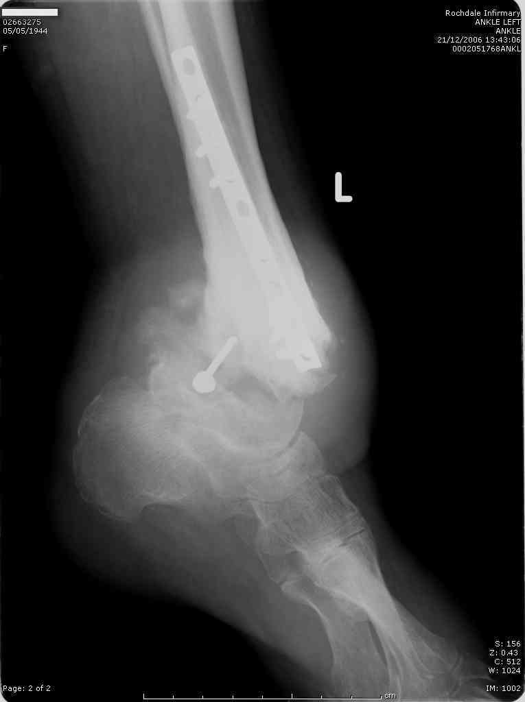
Charcot's Ankle
Ортопедия и травматология Отправлено Jaysheel Mehta 15 Январь 2007, 03:22
Dear Friends,
62 year old femaie, registered blind, IDDM with peripheral neuropathy, Diabetic nephropathy, and blindness - also most likely due to dabetic retinopathy, referred to me with deformity of the ankle and an ulcer on the lateral malleolus, No pain.
H/O ORIF both ankles 2 years ago for Bilateral ankle fractures. The otherside is doing well.
It is obviously a Charcot's ankle but what are the options? B K Amputation or a TTC fusion after removal of metalwork and healing of ulcer? Patient wants to walk and a bit reluctant for an amputation which is my preferred option. Any suggestions?
Kind Regards,
Mr. Jaysheel V Mehta
MBBS,MS(Orth),MCh(Orth),MRCSEd,FRCSEd(Tr & Orth)
Consultant Orthopaedic Surgeon
The Pennine Acute Hospitals NHS Trust
Rochdale Infirmary
Whitefield Road
Rochdale
Lancashire
OL12 0NB
UK

<  |  >

 

  • Сообщения о Ортопедия и травматология
  • Также Jaysheel Mehta
  • Связаться с автором
  • Ответить

    Re: Charcot's Ankle
    Dr Andrea Salvi 15 Январь 2007, 04:57
    Dear colleague,

    because of the particular features of the Charcot disease, in order to obtain a good outcome following surgical operation, it is better to
    wait the period of its remission.

    Certainly, anytime this ankle will be operated during the active period, a bad result due to the bone remodellation (i.e. mobilizing of plates) will occur.

    Therefore it is important to observe, by seriated x-rays of the ankle, the evolution of the disease in order to operate only when a "cold" period will be available. In my opinion, at this moment it is not appropriate to operate.

    Best Regards,

    Andrea E. Salvi - MD

    Mellino Mellini Hospital Trust

    Civil Hospital of Iseo (Brescia), Italy

    Orthopaedics and Traumatology Department
    [ Ответить ]

    Re: Charcot's Ankle
    Alexander Chelnokov 15 Январь 2007, 10:30
    JM> a TTC fusion after removal of metalwork and healing of ulcer?
    JM> Patient wants to walk and a bit reluctant for an amputation which


    Yes, arthrodesis looks most suitable. It would be optimal to start now with preliminary gradual correction by an external fixator. Either Ilizarov or Taylor/hexapod circular frame. It would help soft tissue to heal, and make the definitive surgery much smoother.
    [ Ответить ]

    Re: Charcot's Ankle
    Shreekant Gupta 15 Январь 2007, 17:14
    hi Jayshil
    i think amputation is better option. arthrodesis will take long time to heal and she may need orthotics afterward which will also create problem for her.
    Looking to alignment and quality of bone chances of complications will be high and you may have to resort to amputation later on
    thanks
    shreekant gupta
    Neath Port Talbot Hospital
    South Wales
    [ Ответить ]

    Re: Charcot's Ankle
    A Liberson 19 Январь 2007, 18:30
    I myself would go for a retrograde locking nail fusing pantalarly(optional talectomy) resecting enough bone to contain everything.
    Circular frame is an adequate alternative. For fusion I would turn down both the metal and the fibula. Additional medial incision would help.
    A Liberson
    [ Ответить ]


    ( Ответить )

    Powered by Zope  Squishdot Powered MedLink
    Посетитель: 0000050
      "По форме правильно, а по существу - издевательство" В.И.Ленин
    ©2001-2019Orthoforum Coordinator.
    [ Главная | Отправить сообщение | Поиск | Админ ]