AOTRAUMA.ORG Центр Илизарова  

Ортопедия и травматология Общие вопросы/General questions Help Информационные технологии в медицине
 ВХОД ДЛЯ ПАЦИЕНТОВ
 вверх
 поиск
 админ
 главная


процесс в позвоночнике
Ортопедия и травматология Прислано Anton Vladzymyrskyy 15 Январь 2007, 18:51
из
Уважаемые коллеги!
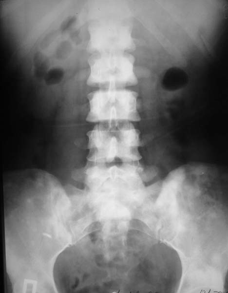
Женщина, 46 лет.
В течение четырех месяцев жалобы на боли в спине.
При МРТ (29.10.06) обнаружены диффузно-очаговые изменения в пояснично-крестцовом отделе позвоночника предположительно вторичного характера.
В октябре 2006 г. по поводу маточного кровотечения (менопауза 4 мес.) выполнено УЗИ - гиперплазия эндометрия, полипоз. Операция - удаление полипа, выскабливание полости матки. Цитологический анализ - пласты переходного климактерического эндометрия. Проведено комплексное исследование. В приложении: рентгенограммы и томограммы поясничного отдела позвоночника; радиологические исследования молочной железы, ЖКТ, почек, грудной клетки, анализы.УЗИ (18.12.06.) щитовидной железы, молочных желез - без патологии (умеренный фиброз по ходу млечных протоков).
Двусторонняя маммография 30.11.06. - кисты молочной железы, ФКМ.
Остеосцинтиграфия 4.12.06. - активный остеобластический процесс в поясничном, нижнегрудном отделах позвоночника, костях таза. Местными онкологами онко-процесс исключен. Фтизиатрический и онкогематологический диагнозы исключены.
Вопросы: 1. Диагноз? 2. Методы дополнительной диагностики? 3. Тактика лечения?
С уважением,
А.В.Владзимирский
ДНИИТО

Послать ответ

Имя
Email
Уведомление Сообщить мне по e-mail об ответах на это сообщение
Название
Комментарий
(Проверьте URL! Не забудьте написать http://!)
Кодировка
Если не знаете, что выбрать, выберите "Просто текст"!
Приложение
Можно приложить к сообщению файл c изображением, который затем будет доступен увидевшим сообщение.
Подготовка иллюстраций:
  • Рентгенограммы: черно-белые полутоновые изображения в формате JPEG (8 bit, greyscale) с разрешением от 300х200 до 1024х768 пикселов;
  • Клинические фотографии: полноцветные изображения в формате JPEG (24 bit, truecolor) с разрешением от 300х200 до 1024х768 пикселов;
  • Схемы и рисунки: черно-белые (2 bit) штриховые (line-art) изображения в формате GIF или compressed TIFF
  • Подберите степень сжатия файла JPEG и размер изображения таким образом, чтобы необходимые детали были различимы, но размер файла не превышал 75 кб.
  • Учтите, что текущая версия программного обеспечения Форума позволяет приложить к одному сообщению лишь один файл-вложение. Поэтому, если необходимо отправить несколько изображений, можно либо послать каждое как отдельное сообщение, либо в графическом редакторе объединить изображения в одно (сделать коллаж).
  • Если при подготовке изображений встречаются трудности, не стесняйтесь обратиться к координатору Форума.

  • Введите видимые символы в обратном порядке. Enter the above characters in reverse order (*Обязательно)
    В тексте сообщения можно использовать теги HTML <B> <I> <P> <A> <LI> <OL> <UL> <EM> <BR> <TT> <HR> <STRONG> <BLOCKQUOTE> <DIV .*> <DIV> <P .*>
  • Обратите внимание: Поля с жирными названиями обязательны.
  • Старайтесь отвечать в рамках обсуждаемой темы, а не начинать новые обсуждения.
  • Указывайте адекватную тему сообщения, чтобы было ясно, о чем оно.
  • Не послайте сообщений не по теме (оффтопик), раздраженных, грубых или обидных комментариев. Здесь это неуместно.
  • Powered by Zope  Squishdot Powered MedLink
    Посетитель: 0408361
      "По форме правильно, а по существу - издевательство" В.И.Ленин
    ©2001-2019Orthoforum Coordinator.
    [ Главная | Отправить сообщение | Поиск | Админ ]