AOTRAUMA.ORG Центр Илизарова  

Ортопедия и травматология Общие вопросы/General questions Help Информационные технологии в медицине
 вверх
 отправить
 поиск
 админ
 главная


Post column fracture
Ортопедия и травматология Отправлено Huseyin Demirors 20 Январь 2007, 14:15
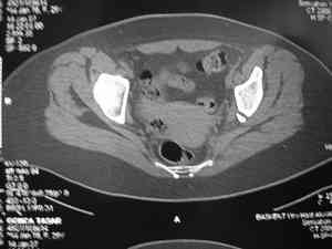
Dear group,30 years age female MVA front seat, head trauma + post column left acetabular fracture, 2.5 weeks skeletal traction. She is now conscious but still confused without any surgical treatment for brain edema.
Latest X rays and CAT is attached.Fracture within first 1.5 cm from the weight bearing dome, although AP and Obtrator oblique good, iliac oblique view reveals some displacement.I'm not sure that nonsurgical treatment will be OKHüseyin DemirorsBaskent UniversityDept of Orthopedics and TravmatologyAnkara TURKEY

<  |  >

 

  • Сообщения о Ортопедия и травматология
  • Также Huseyin Demirors
  • Связаться с автором
  • Ответить

    Re: Post column fracture
    Jeff Brooks 20 Январь 2007, 15:32
    Hi Hüseyin,

    My vote, given the amount of displacement on the iliac oblique and CT scan, would be for ORIF thru a posterior approach ASAP - these get pretty tough
    after the first week or two. Are those radiographs recent?

    Heterotopic ossification prophylaxis mandatory as well.

    I look forward to other votes on this one.

    Jeff Brooks
    Stamford, CT
    [ Ответить ]

    • Re: Post column fracture
      Отправитель: Huseyin Demirors 20 Январь 2007, 15:50
      Dr Brooks,
      CT scan taken 5 days ago and radiographs taken today

      [ Ответить ]
    Re: Post column fracture
    Bruce Ziran 21 Январь 2007, 21:55
    I may get beat up for this, but I see very little displacement that concerns me on the CT. The radiograph is more concerning. I suspect it could look better, and the gap made smaller on CT. Not sure if it will affect outcome. I might give it a shot and try to see what could be done.

    Bruce H. Ziran, M.D.
    Director of Orthopaedic Trauma
    St. Elizabeth Health Center
    Associate Professor of Orthopaedic Surgery
    Northeast Ohio Universities College of Medicine
    [ Ответить ]


     

    ( Ответить )

    Powered by Zope  Squishdot Powered MedLink
    Посетитель: 0000045
      "По форме правильно, а по существу - издевательство" В.И.Ленин
    ©2001-2019Orthoforum Coordinator.
    [ Главная | Отправить сообщение | Поиск | Админ ]