AOTRAUMA.ORG Центр Илизарова  

Ортопедия и травматология Общие вопросы/General questions Help Информационные технологии в медицине
 вверх
 отправить
 поиск
 админ
 главная


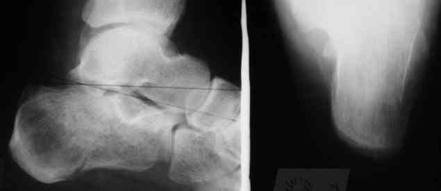
Перелом пяточной кости
Ортопедия и травматология Отправлено Юрий Алексееевич Булахтин 30 Январь 2007, 11:29 Камчатский Военно-морской госпиталь
Уважаемые коллеги! Пришел на консультацию больной - "растяжение связок левого голеностопного сустава" полтора месяца назад, поскольку был в морях, на ногу не наступал. Снимки и КТ - в приложении.
Как бы кто лечил с учетом времени после травмы - 52 дня? Человек физического труда. Социальные запросы самого больного высокие, плюс медкомиссии перед рейсами - с хромотой нельзя!
Всем заранее спасибо.
Юрий Алексеевич Булахтин

<  |  >

 

  • Сообщения о Ортопедия и травматология
  • Также Юрий Алексееевич Булахтин
  • Связаться с автором
  • Ответить

    Re: Перелом пяточной кости
    Куликов Иван Владимирович 01 Февраль 2007, 21:47
    Уважаемый Юрий, Вы видите как много народу пытается Вам что-нибудь посоветывать. Наверное это потому, что уже делать что-либо поздновато даже, наверное, поздно. На данном этапе необходимо, на мой згляд, производить коррекцию ортопедическими стельками. И физиометодами. Хирургическим путем врядли получится лучше, (раскачать и стержнем или сделать коррегирующую остеотомию - сложно), и будет ли лучше функция после этого? удачи.
    [ Ответить ]

    Re: Перелом пяточной кости
    Корышков Николай 03 Февраль 2007, 01:21
    Уважаемый Юрий Алексеевич!
    Целесообразно Вашему пациенту выполнить подтаранный компрессионный расклинивающий артродез с использованием канюлированных винтов.
    52 дня - неудобный срок, особенно учитывая недостаточную нагрузку ноги в плавании. Я обычно пациентам в такой ситуации назначаю препараты кальция и дозированную нагрузку, через 1-1,5 месяца после - оперируем. Операция показана для восстановления оси и высоты пяточной кости, устранения грушевидного расширения ее и вальгусного отклонения,устранения болевого и посттромботического синдромов. Тему лечения осложненных переломов пяточной кости в поздние сроки не освещал в известной Вам монографии сознательно: это одна из глав диссертации моего ученика С.М.Платонова.
    Есть возможность и желание у пациента - жду в РосНИИТО им.Р.Р.Вредена (СПб, ул Байкова,8). С уважением, Н.Корышков.
    Кликните для загрузки файла ПА (6).jpg
    34KB (35779 bytes)

    [ Ответить ]


    ( Ответить )

    Powered by Zope  Squishdot Powered MedLink
    Посетитель: 0000032
      "По форме правильно, а по существу - издевательство" В.И.Ленин
    ©2001-2019Orthoforum Coordinator.
    [ Главная | Отправить сообщение | Поиск | Админ ]