ВХОД ДЛЯ ПАЦИЕНТОВ
вверх
поиск
админ
главная
исходное
|
Re: case tibial defect
послал Павел Иванов 31 Январь 2007, 01:19
|
Дорогой Николай, Вы всегда представляете на форум интересные наблюдения.
Попробую поделиться своим мнением. Можно попробовать адаптировать конец проксимального отломка и выполнить замещение дефекта по Илизарову. И сразу после низведения фрагмента большеберцовой кости и достижения контакта снять аппарат и выполнить закрытый остеосинтез блокируемым штифтом, проведя его через регенерат в дистальный отломок (напр. в Expert Tibial Nail, Synthes, через дистальный отломок, уверен, два винта можно провести). По моему скромному опыту, использование спице-стержневого аппарата в качестве окончательного фиксатора при лечении таких низких переломов большеберцовой кости зачастую приводит к выраженному остеопорозу и замедленной консолидации, сопровождается потерей функции и высоким риском образования ложного сустава. Использование же интрамедуллярного штифта позволяет начать раннюю реабилитация и дозированную нагрузку, что минимизирует риск данных осложнений.
У нас бывают похожие ситуации.
Пациент 19 лет, производственная травма, придавлен тяжелой плитой. Политравма (ISS 21).

1 - рентгенограмма (прошу прощения за качество) при поступлении;

2 - внешний вид голени;
Произведено ПХО, acute shortening (5 см), фиксация стержневым аппаратом Hoffman.

3,4 - через 4 недели наложен спице-стержневой аппарат, произведена остеотомия большеберцовой кости в верхней трети, раны зажили, проводилась дистракция в аппарате.

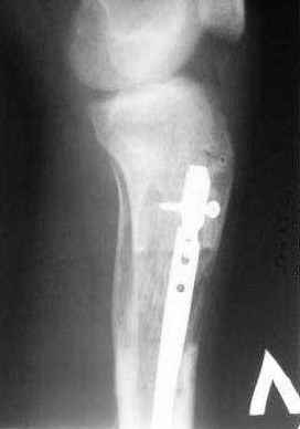
5, 6 - через 2,5 мес после травмы выполнен закрытый остеосинтез блокируемым штифтом.

7, 8, 9, 10, 11 - через 8 мес после травмы перелом сросся.
Пациент ходит без дополнительной опоры, не хромает (видеоролик выложил сюда
http://rapidshare.com/files/14134274/Patient_B.AVI.html, вес 892 кб).
Отдаю себе отчет, что у Вас более сложный случай.
Желаю Вам удачи.
--
Best regards,
Pavel Ivanov
Sklifosovsky Clinical and Research Institute for Emergency Medicine
Polytrauma Department
3, Bolshaya Sukharevskay sq.
Moscow, 129010 Russia
|
| Послать ответ |
Обратите внимание: Поля с жирными названиями обязательны.
Старайтесь отвечать в рамках обсуждаемой темы, а не начинать новые обсуждения.
Указывайте адекватную тему сообщения, чтобы было ясно, о чем оно.
Не послайте сообщений не по теме (оффтопик), раздраженных, грубых или обидных комментариев. Здесь это неуместно.
|