вверх
отправить
поиск
админ
главная
Предыдущее
|
Re: case tibial defect
Alexander Artemiev 09 Февраль 2007, 21:08
|
Приветствую всех, дорогие друзья.
Брошу и я свой пятак.
Тема интернациональная и, к сожалению, актуальная.
Первое впечатление после просмотра исходных картинок - это то, что краску клали на ржавчину. Внешне благообразно, а что будет дальше - не совсем понятно. Это типичная ситуация при лечении подобных травм в многопрофильных специализированных учреждениях. Каждый внес свой весомый вклад (кто-то косточку собрал, кто-то кожу закрыл), а в итоге нога имеет декоративный вид.
По существу:
1. Интересно было бы посмотреть исходные снимки и, если можно - фото. Кстати, из какого оружия произведен выстрел? Степень разрушения напрямую зависит от скорости ранящего снаряда и, соответственно, определяет объем хирургической обработки. Складывается впечатление, что хирургическая обработка произведена с одной стороны, слишком радикально (удалили все осколки), а с другой стороны - сохранили "сосульку" большеберцовой кости, что часто затрудняет дальнейшее лечение.
2. Как минимум две операции лишние - остеосинтез малоберцовой кости и закрытие мягких тканей. Их исход препятствует завершению лечения.
3. Из названных методов замещения дефекта каждый имеет определенные недостатки или, точнее,
сложности.
- Т.н. острое укорочение с различными осевыми вариациями. Идеально было бы применить его сразу - в остром периоде. Это облегчило бы закрытие раны, уменьшив и костный, и мягкотканый дефект. Малоберцовку можно было бы пустить внахлёст или, в крайнем случае - резецировать.
При правильно смонтированном аппарате после уверенности в жизнеспособности конечности - остеотомия большеберцовой кости в верхней трети и коррекция длины дистракцией. Сейчас же реализации этой методики мешает малоберцовая кость. Да и с "сосулькой" тоже особенно не разгуляешься в рубцах.
- Низведение фрагмента. Мне видятся сложности с адаптацией фрагментов. Если удалять острый конец большеберцовой кости, то идти придется через лоскут, да и дефект увеличится.
Вдавливать острый край проксимального отломка в дистальный - не проблема. Просто может не срастись - маленькая зона контакта в неблагоприятных для сращения условиях.
4. Никто не назвал методику, которая мне представляется наиболее удачной - тибиализация малоберцовой кости. Пластинку, конечно, придется убрать. Нужно наложить кольцевой Илизаров,
томировать малоберцовку на уровне дефекта, закрыто пересечь большеберцовую кость у основания острого края проксимального отломка - и подтянуть фрагмент малоберцовой кости в зону дефекта большеберцовой спицами с упорными площадками. Не обязательно при этом выводить строго в центр, достаточно сращения при боковом касании отломков - малоберцовая кость оттеснит как раз "сосульку" в сторону, и томированные края берцовых костей срастутся между собой. Есть еще ряд нюансов - готов расписать со схемами в случае, если будет принято решение в пользу этой методики.
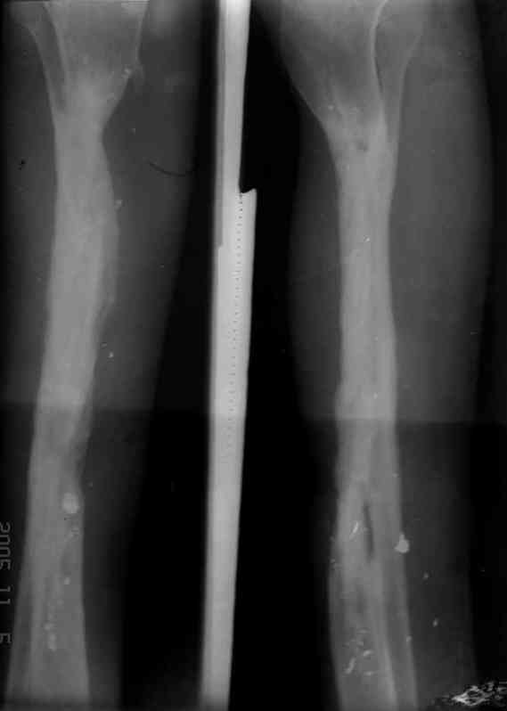
5. Ну и чтобы не быть голословным. Молодой человек подорвался на фугасе (Чечня, 2005 год). Свежие рентгенограммы:

Соответственно ожоги и дефект мягких тканей, переломы костей стопы и пр. Наложили аппарат
Илизарова (как придется), хирургически обработали и героически заживляли мягкие ткани с многочисленными кожными пластиками. В итоге через полгода я принял его вот таким:

Реализовал описанную выше методику, и в итоге вот что получилось. Высылаю лишь прямые проекции,
в боковых тоже всё в тему.

Очень пригодились карбоновые кольца (Джолдас -огромное спасибо, я твой должник!!!), поскольку остеопороз дистального отломка был просто невероятный. На цифровом рентгене с трудом угадывались контуры.

Рентген в процессе перемещения - внизу карбоновые кольца, тракция фрагмента спицами с упором.

внешний вид в аппарате - не завершающем этапе, сначала стопа тоже была фиксирована в аппарате.
Сейчас аппарат сняли, но случай ещё не завершенный.
Признаюсь честно, не совсем уверен в прочности консолидации на стыке косточек. Кроме того, укорочение в районе 6 см. Сейчас реабилитация - ходит опираясь на ногу с одним костылем.
Продолжение, видимо, будет... Возможно, будем удлинять.
С уважением Александр Артемьев
|
|
|
Ответить
|
Re: case tibial defect
Djoldas Kuldjanov 13 Февраль 2007, 01:24
|
Александр привет,
> Джолдас -огромное спасибо, я твой должник!
Да не стоит благодарности. Спасибо за выставленный случай.
Я думал, что в нижнем отделе голени без мягкотканнего покрытия будет сложно проведения тибиализацию, но твой пример показывает - метод работает даже в таких трудных условиях.
Кстати, как метод использования малоберцовой при дефектах на более высоком отделе большеберцовой, недавно с моим партнерем опубликовали в главе по замещению дефектов в книжке Роберта Росбруха и Светланы Илизаровой по Наружным Фиксаторам.

Глава из книги, 420 Кб.
Правда те мои случаи были сделаны давно, еще в Латинской Америке, и конечно качество исполнения отстает от идеалов, но, несмотря на отсутствие нормальных спиц с упором, метод сработал в свое время.
Приходилось встречать замещенные дефекты малоберцовой костью без применения метода Идизарова, и при соблюдении осторожности хрупкая малоберцовая за короткое время под вождействием нагрузки утолщались в диаметре.
Djoldas Kuldjanov, MD
Department of Orthopedic Surgery
St. Louis University Medical Center
|
[
Ответить ]
|
( Ответить )
|
|