AOTRAUMA.ORG Центр Илизарова  

Ортопедия и травматология Общие вопросы/General questions Help Информационные технологии в медицине
 вверх
 отправить
 поиск
 админ
 главная


нестабильность чашки
Ортопедия и травматология Отправлено Anton Vladzymyrskyy 02 Февраль 2007, 21:02
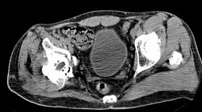
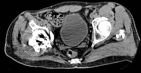
Мужчина, 45 лет. 6 мес. назад перенес тотальное эндопротезирование правого тазобедренного сустава по поводу ложного сустава шейки бедра.
Характер реконструкции вертлужной впадины не известен. Через 3 мес. после операции отметил щелчки и хруст при движениях в области эндопротеза. В анамнезе туберкулез легких. Сейчас, по заключению фтизиатра, в легких активного процесса нет. Местного воспаления нет.Предполагается нестабильность чашки в связи с бактериальным воспалением. Планируется удаление чашки и цемента, пластика дна измельченными аутотрансплантами и гидроксилапатитной керамикой, затем кольцо Мюллер, цементная чашка.
Смущает и ножка - зона просветления вокруг мантии. Предложения по тактике?

Заранее благодарю!!!!

С уважением,А.В.ВладзимирскийДНИИТО

<  |  >

 

  • Сообщения о Ортопедия и травматология
  • Также Anton Vladzymyrskyy
  • Связаться с автором
  • Ответить

    Re: нестабильность чашки
    Anton Vakulenko 02 Февраль 2007, 23:21
    Если Вы подозреваете септическую нестабильность, то какой смысл делать объемную одноэтапную реконструкцию?? Риск реинфекции будет неприемлемо
    высоким. В таких случаях двухэтапная exchange arthroplasty со спейсером или без него - "золотой стандарт" лечения.
    [ Ответить ]

    Re: нестабильность чашки
    В.В.К. 12 Февраль 2007, 01:56
    Мне кажется, что необходимо сначала выполнить пункцию, и принимать решение о тактике - исходя из результатов посева полученного пунктата.
    И еще, в случае одномоментного реэндопротезирования здесь показана имплантация кольца Бур-Шнайдера (ИМХО)
    [ Ответить ]

    Re: нестабильность чашки
    Максим Банецкий 17 Февраль 2007, 01:15
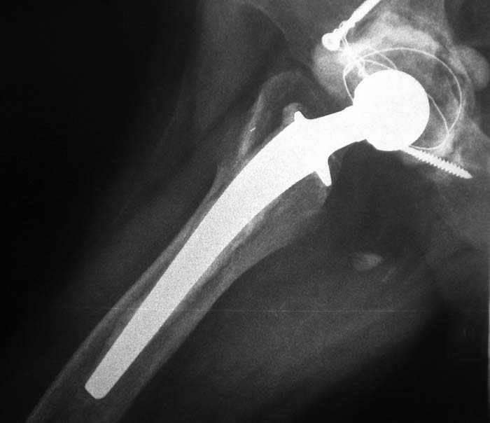
    прямо скажем, очень загадочная конструкция с проволокой и винтами. :) На основании чего Вы подозреваете септическую нестабильность? Каковы результаты анализов? Согласен с доктором - нужно сделать пункцию. Есть ли снимки до и сразу после операции? Знаете ли Вы диаметр головки,какой будет внутренний диаметр Вашей чашки? Известно ли, чей протез? Может есть смысл найти автора работы и узнать о подробностях установки протеза?
    [ Ответить ]


    ( Ответить )

    Powered by Zope  Squishdot Powered MedLink
    Посетитель: 0404709
      "По форме правильно, а по существу - издевательство" В.И.Ленин
    ©2001-2019Orthoforum Coordinator.
    [ Главная | Отправить сообщение | Поиск | Админ ]