вверх
отправить
поиск
админ
главная
Предыдущее
|
Re: Редкое повреждение - полный вывих тарана!
Антон Лебединец 03 Март 2007, 15:43
|
Есть еще варианты (ваше мнение).
- Двухсуставной артродез АВФ с туннелизацией тарана по Беку (?)
- Артродез не аппаратный а костно-пластический
по Уотсон-Джонсу или Кловарду
P.S. Удалять таран что называется "стремно", потому что в 71 г аппаратный артродез + удлинение голени на мой взгляд проблемно (про сосуды я писал).
Какая предоперационная подготовка?
-АБ прикрытие (само собой)
-сосудистая терапия? (нужна ли, какая)
Местно АБ в виде спейсеров и пр. - нет возможности
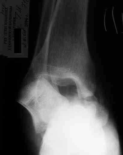
Главный вопрос - удасться ли добиться анкилоза с "мертвой" костью? Или только удалив ее?
P.P.S. Первичные снимки и последние Р-граммы будут завтра
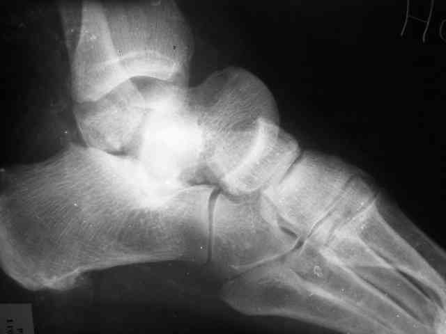
P.P.P.S. Чуть не забыл - ради интереса и любви к статистике - у кого какой опыт (кол-во случаев) данного повреждения. У нас у двух врачей на суммарные 55 лет стажа - 4 случая.
|
|
|
Ответить
|
Re: Редкое повреждение - полный вывих тарана!
Alexaander Chelnokov 03 Март 2007, 16:37
|
> - Двухсуставной артродез АВФ с туннелизацией тарана по Беку (?)
> - Артродез не аппаратный а костно-пластический
Инфекция куда при этом денется?
> аппаратный артродез + удлинение голени на мой взгляд проблемно (про
> сосуды я писал).
В условиях плохого кровоснабжения как раз надо бы стремиться не оставлять в ране аваскулярные куски кости, как уже там лежащие, так и новые.
> Какая предоперационная подготовка?
> -АБ прикрытие (само собой)
Системные антибиотики тут бессмысленны.
> -сосудистая терапия? (нужна ли, какая)
Это миф. Таран медикаментами не оживить.
> Местно АБ в виде спейсеров и пр. - нет возможности
Да почему, все это
> Главный вопрос - удасться ли добиться анкилоза с "мертвой" костью?
> Или только удалив ее?
Ото ж!
> кого какой опыт (кол-во случаев) данного повреждения. У нас у двух
> врачей на суммарные 55 лет стажа - 4 случая.
В 2006 г. берцово-пяточный блок сделали двум пациентам.
|
[
Ответить ]
|
Re: Редкое повреждение - полный вывих тарана!
Отправитель: Антон Лебединец 04 Март 2007, 21:44
|

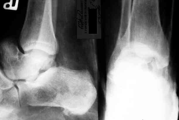
Уважаемый Александр! Как обещал представляю Р-граммы и операционные фото.
Опять надоедаю с вопросами:
Ваши (лично ваши) рекомендации - астрагалэктомия-аппаратный пяточно-большеберцовый артродез с одновременным удлинением голени - правильно?
>-В условиях плохого кровоснабжения как раз надо бы стремиться не
>оставлять в ране аваскулярные куски кости, как уже там лежащие, так и
>новые-
А удлинять голень в условиях плохих сосудов как? В смысле как потянутся склерозированные сосуды? Удлинять-то надо около 3 см.
>-Системные антибиотики тут бессмысленны-
Почему? Или они не дойдут до очага инфекции. Местное лечение сейчас получает - антибиотики в свищевой ход и в м/ткани.
>> -сосудистая терапия? (нужна ли, какая)
>-Это миф. Таран медикаментами не оживить-
Таран да, а остальные ткани - улучшить перфузию и пр.?
> Местно АБ в виде спейсеров и пр. - нет возможности
>-Да почему, все это-
Непонятное место!!! Каким образом заменить спейсеры - как-нибудь изготовить замазку с АБ?
>> - Артродез не аппаратный а костно-пластический
>-Инфекция куда при этом денется?-
А так инфекция куда денется, или ПБА изничтожит ее в м/тканях? Она там уже полгода живет. Я думаю стабильная фиксация - лучшая профилактика инфекционных осложнений. Кстати была у нас больная с посттравматическим деф. артрозом г/стопного сустава и остеомиелитом внутренней лодыжки - ей сделали костно-пластический артродез по Кловарду - инфекция затихла, анкилоз наступил за 3 мес (больной 65 лет).
Жду ответа!
|
[
Ответить ]
|
Re: Редкое повреждение - полный вывих тарана!
Отправитель: Alexander Chelnokov 04 Март 2007, 22:26
|
А> Ваши (лично ваши) рекомендации - астрагалэктомия-аппаратный
А> пяточно-большеберцовый артродез с одновременным удлинением голени - правильно?
Да.
А> А удлинять голень в условиях плохих сосудов как? В смысле как
А> потянутся склерозированные сосуды? Удлинять-то надо около 3 см.
Насколько я понял, критической ишемии ведь нету?
При обычном для удлинения темпе должен быть обычный регенерат.
Мы обычно удлиняли на 2 уровнях по 1,5-2 см. В конце концов, можно и не удлинять, укорочение компенсировать вкладками в обувь.
>>-Системные антибиотики тут бессмысленны-
А> Почему? Или они не дойдут до очага инфекции.
Конечно.
А> Местное лечение сейчас получает - антибиотики в свищевой ход и в м/ткани.
При столь массивном секвестре (блок таранной кости), длительная антибиотикотерапия только губит естественную флору и помогает селекции
антибиотикоустойчивых штаммов.
>>> -сосудистая терапия? (нужна ли, какая)
>>-Это миф. Таран медикаментами не оживить-
А> Таран да, а остальные ткани - улучшить перфузию и пр.?
Кроме народной традиции, на чем основан этот "тост"? Можете привести ссылки на серьезные публикации в международных журналах, которые
подтверждают пользу каких-то конкретных препаратов в подобной ситуации? За пределами xUSSR кто-то на регулярной основе "улучшает перфузию", которая отнюдь не ухудшена?
А> Непонятное место!!! Каким образом заменить спейсеры - как-нибудь
А> изготовить замазку с АБ?
Можно убрать таранную кость, и поместить в образовавшуюся полость либо бусы из цемента с антибиотиками, либо вылепленный прямо по форме тарана спейсер. Целесообразность этого будет определяться распространенностью гнойного процесса. Может быть, будет достаточно только удаления тарана.
>>-Инфекция куда при этом денется?-
А> А так инфекция куда денется, или ПБА изничтожит ее в м/тканях?
Вместе с аваскулярным куском кости устранится субстрат. Надо опасаться не мягких тканей, а плохо кровоснабжаемых. Если после удаления тарана добиться контакта хорошо васкуляризованных пятки и больщшеберцовой, мягкие ткани не давить, чтобы некроза раны не было, то все должно зажить.
А> Я думаю стабильная фиксация - лучшая профилактика инфекционных осложнений.
Стабильность дает возможность расти сосудам. При хорошем кровоснабжении смежных фрагментов это все, что надо. А здесь есть большой секвестр. Разумно ли ждать, пока он васкуляризуется? Очевидно, без некрэктомии проблему не решить.
А> костно-пластический артродез по Кловарду - инфекция затихла,
Все правильно, как только все васкуляризовалось, по мере сращения, тут места для микробов не осталось.
|
[
Ответить ]
|
|
( Ответить )
|
|