AOTRAUMA.ORG Центр Илизарова  

Ортопедия и травматология Общие вопросы/General questions Help Информационные технологии в медицине
 ВХОД ДЛЯ ПАЦИЕНТОВ
 вверх
 поиск
 админ
 главная
 исходное


Re: Перелом шейки плеча - тактика?
послал Djoldas Kuldjanov 23 Март 2007, 16:56
По Neer операцию рекомендовали только тогда, когда угол между диафизом и головкой составляет около 45 градусов, и переломы с меньшим углом смещения считали благоприятным для функционального результата.

Хотя "варусная импакция" в проксимальном отделе плеча срастается хорошо консервативными мерами, но в результате при восстановлении такие больные теряют часть отведения, и тем более у больной варус осложнен еще сгибанием.

Закрытые репозиции без фиксации из-за вторичного смещения неэффективны, поэтому рекомендуется репозиция с фиксацией. Методик много, кто чем владеет и отдает предпочтение закрытые-открытые, перкутанные, с блокирующими пластинами, гвоздь, множественными спицами или методом спиц по Лазареву, и осторожно с манипуляциями из=за возможности повреждения аксиллярного нерва - частый вид осложнении.

Первичное консервативное лечение рекомендуется только тем больным, когда по причинам общего состояния, например, политравма или другие тяжелые состояния больного, не позволяют оперативное лечение при первичном поступлении, тогда такие больные с самого начала предупреждаются о необходимости вальгусной или другой восстановительной операции позднее.

Неправильно выбранная тактика по фиксации или технические ошибки во время операции могут привести к серьезным осложнениям. Здесь привожу
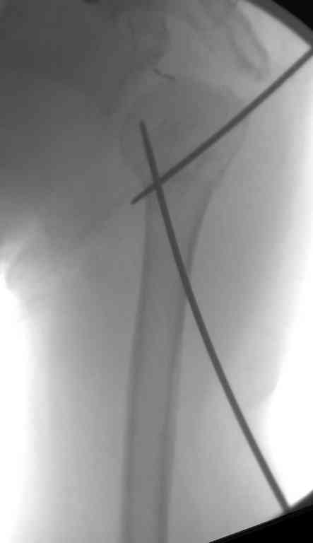
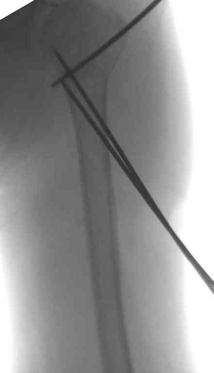
пример из нашей практики, вроде обычный перелом шейки, фиксированный популярным методом "Сиэтла" - множественными спицами 2.8 мм с резьбой на конце.
При первичном осмотре в поликлинике через 3 недели обнаружили миграцию двух спиц, срочно госпитализированному на второй день перед операцией на всякий случай сделали снимок, одна спица находилась под ключицей в шейном отделе (на снимке).




Djoldas Kuldjanov, MD
Department of Orthopedic Surgery
St. Louis University Medical Center
Послать ответ

Имя
Email
Уведомление Сообщить мне по e-mail об ответах на это сообщение
Название
Комментарий
(Проверьте URL! Не забудьте написать http://!)
Кодировка
Если не знаете, что выбрать, выберите "Просто текст"!
Приложение
Можно приложить к сообщению файл c изображением, который затем будет доступен увидевшим сообщение.
Подготовка иллюстраций:
  • Рентгенограммы: черно-белые полутоновые изображения в формате JPEG (8 bit, greyscale) с разрешением от 300х200 до 1024х768 пикселов;
  • Клинические фотографии: полноцветные изображения в формате JPEG (24 bit, truecolor) с разрешением от 300х200 до 1024х768 пикселов;
  • Схемы и рисунки: черно-белые (2 bit) штриховые (line-art) изображения в формате GIF или compressed TIFF
  • Подберите степень сжатия файла JPEG и размер изображения таким образом, чтобы необходимые детали были различимы, но размер файла не превышал 75 кб.
  • Учтите, что текущая версия программного обеспечения Форума позволяет приложить к одному сообщению лишь один файл-вложение. Поэтому, если необходимо отправить несколько изображений, можно либо послать каждое как отдельное сообщение, либо в графическом редакторе объединить изображения в одно (сделать коллаж).
  • Если при подготовке изображений встречаются трудности, не стесняйтесь обратиться к координатору Форума.

  • Введите видимые символы в обратном порядке. Enter the above characters in reverse order (*Обязательно)
    В тексте сообщения можно использовать теги HTML <B> <I> <P> <A> <LI> <OL> <UL> <EM> <BR> <TT> <HR> <STRONG> <BLOCKQUOTE> <DIV .*> <DIV> <P .*>
  • Обратите внимание: Поля с жирными названиями обязательны.
  • Старайтесь отвечать в рамках обсуждаемой темы, а не начинать новые обсуждения.
  • Указывайте адекватную тему сообщения, чтобы было ясно, о чем оно.
  • Не послайте сообщений не по теме (оффтопик), раздраженных, грубых или обидных комментариев. Здесь это неуместно.
  • Powered by Zope  Squishdot Powered MedLink
    Посетитель: 0266309
      "По форме правильно, а по существу - издевательство" В.И.Ленин
    ©2001-2019Orthoforum Coordinator.
    [ Главная | Отправить сообщение | Поиск | Админ ]