вверх
отправить
поиск
админ
главная
Предыдущее
|
Re: Нелеченный перелом вертлужной впадины
Chip Routt 24 Март 2007, 21:05
|
The joint is non-concentric as the head appears to be either "following the caudal segment", or the dome component is displaced from the tethered head... or so it seems... and he's young... so, many fracture surgeons would recommend reduction and fixation.
So we must decide preoperatively which part is the displaced segment?
It's difficult to know from these few selected images which component of the injury (was before and now) should be deemed the "soon to be mobile"
segment. It's my best guess that it is the caudal portion and there exists a healing fracture line somewhere thru the posterior column...one image
suggests it. If true, its early healing/union should be disrupted, and the resultant fragment mobility then allows accurate reduction.
Such work is not always possible using a single exposure... it's not unreasonable to first access the healed zone and osteotomize it using one direct exposure, then turning the patient if necessary to use another opposite exposure to further mobilize the fracture, reduce, clamp, and fix it.
On the other hand, some surgeons advocate an extended iliofemoral exposure for these scenarios. For a variety of reasons, I've never been much of a fan.
In summary, reduction and fixation would be good. If you have an excellent 3D brain, a quality OR fluoroscopy unit, and are slick with an osteotome and clamps thru the ilioinguinal exposure then you've made your best choice.
Remember that the symphysis is the caudal segment's "hinge" and may need destabilizing as well if it's affecting the reduction adversely.
If you have other images which cause you to decide to destabilize the posterior column fracture component using a direct or EIF exposure, then you
have better info than we can see.
Or you can just leave it... he has good dome coverage and it may be a durable hip for some time... maybe.
Chip
M.L. Chip Routt, Jr.,M.D.
Professor-Orthopedic Surgery
Harborview Medical Center
|
|
|
Ответить
|
Re: Нелеченный перелом вертлужной впадины
Frederic B. Wilson, M.D. 25 Март 2007, 00:17
|
Chip, et al.,
While not claiming to have the best 3D brain around, it appears to me from the limited images available, that the caudal segment is stable from the symphysis to the SI joint on the fracture side. I would love to see the rest of the transverse CT images to see where the fracture line actually exits posteriorly on both the inner and outer tables of the ilium. In my hands,
assuming that the femoral head has followed the cephalad (dome) fragment, I would use an ilioinguinal approach and take down the fracture line from anterior to posterior, distracting with a lamina spreader, if necessary, to clean out and inspect the joint. I would then reduce the cephalad fragment to the caudal fragment using jungbluth or farabeuf clamp and screws and then apply a plate and screws. If the fracture exits posteriorly would you then favor an additional posterior approach to clean out and reduce from that side?
My concept is that what I am after is restoring the anterior portion of the acetabular ring to the superior dome portion to re-establish the containment of the femoral head in an intact "horseshoe". Is this accurate?
Best regards,
Fred
Frederic B. Wilson, M.D.
Assistant Professor
Trauma and Adult Reconstruction
Department of Orthopaedic Surgery
Louisiana State University Health Sciences Center
2020 Gravier St., #728
New Orleans, Louisiana, 70112
|
[
Ответить ]
|
Re: Нелеченный перелом вертлужной впадины
Отправитель: Chip Routt 26 Март 2007, 13:32
|
Who knows? The images are insufficient to detail a reasonable plan.
|
[
Ответить ]
|
Re: Нелеченный перелом вертлужной впадины
Отправитель: Alexander Chelnokov 27 Март 2007, 08:14
|
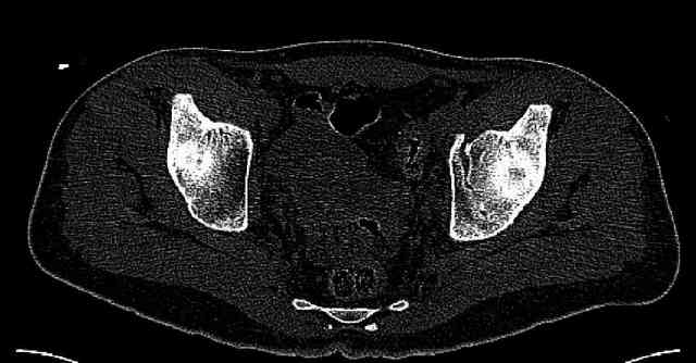
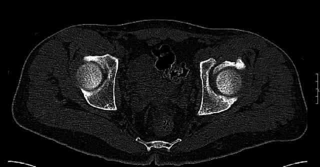
Some more images. Does it help to guess which part of the acetabulum is displaced?

|
[
Ответить ]
|
Re: Нелеченный перелом вертлужной впадины
Отправитель: Chip Routt 27 Март 2007, 08:18
|
Normal appearing SI joints and a healed posterior column limb... my bet's on caudal segment displacement.
MLCR
|
[
Ответить ]
|
|
Re: Нелеченный перелом вертлужной впадины
Dr Abdelsalam EID 25 Март 2007, 11:43
|
Dear Alexander
Chip Routt wrote:
........................
Or you can just leave it...he has good dome coverage and it may be a durable
hip for some time...maybe.
I would totally recommend leaving him alone.
The anterior element of the fracture is so low and the anterior roof arc angle must be at least 60 deg.
The posterior element is so minmally undisplaced. There is good congruence of the joint, and to top it all, 6 weeks have passed. If you consider ORIF now, I don't expect that much improvement could be accomplished. Not to mention the need for extensive approaches with their morbidity.
If you leave him alone now, and if the need arises in the future I believe that a standard THR would be good enough. And this is of course a much simpler procedure than the ORIF currently considered.
Dr Abdelsalam EID M.D., AFSA (Paris V)
AO Fellow
Lecturer of Orthopedic Surgery
Faculty of Medicine, Zagazig University,
Egypt.
|
[
Ответить ]
|
( Ответить )
|
|