AOTRAUMA.ORG Центр Илизарова  

Ортопедия и травматология Общие вопросы/General questions Help Информационные технологии в медицине
 вверх
 отправить
 поиск
 админ
 главная


Артродез г/стопного сустава
Ортопедия и травматология Отправлено Алексей Минервин 30 Март 2007, 20:39
Уважаемые коллеги! Обратилась женщина 45 лет. Травма 2 года назад (март 2005 г.) - открытый 2-х лодыжечный перелом левой голени.

К сожалению, рентгенархив недоступен. Лечилась на вытяжении, затем гипсовой повязкой. Рана у внутренней лодыжки зажила вторичным натяжением. Сращения не наступило. В июне 2005 г. выполнялся артродез по Кэмпбеллу, фиксация в гипсовой повязке 3.5 мес. Сейчас нога полностью неопороспособна, выраженная патологическая подвижность. Признаков инфекции нет. Помогите определиться с методом артродеза, фиксации (КДО?), нужно ли вскрывать сустав, костная пластика? Пациентка, намучавшись за 2 года. "готова на любые эксперименты" (ее слова).Спасибо, с уважением, А. Минервин

<  |  >

 

  • Сообщения о Ортопедия и травматология
  • Также Алексей Минервин
  • Связаться с автором
  • Ответить

    Re: Артродез г/стопного сусутава
    Aharon Liberson 31 Март 2007, 10:17
    Dear Dr Minervin!
    I would prefer to chooze a method which would not fail this time.
    You should open the joint for the arthrodesis.
    I would arthrodese both the ankle and subtalar joints either by a retrograde nail or External-in my hands Ilizarov, though every strong frame would do.
    I would try to perform good X-ray pics, Probably CT+ 3d to evaluate the amount of talus left.
    I would stress the proper investigation of the infections and take cultures during the surgery.
    Probably lat approach-turning down the fibula will be good if the medial soft tissues are compromised-I cannot see it on pictures.
    Good luck in this difficult case
    [ Ответить ]

    Re: Артродез г/стопного сусутава
    Alexander Artemiev 31 Март 2007, 10:17
    Приветствую.
    На поверхность всплывет проблема, связаная с тем, что от таранной кости почти ничего не осталось.
    В этом случае, видимо, есть смысл сделать и подтаранный артродез, как рекомендуют некоторые (собственного опыта не имею, но с такой проблемой пришлось столкнуться).
    Представляется оптимальным внешний остеосинитез.
    С уважением Александр Артемьев.
    [ Ответить ]

    Re: Артродез г/стопного сусутава
    Leonid N.Solomin 31 Март 2007, 10:19
    Уважаемый А. Минервин!
    В данном случае мы бы выполнили "открытый" артродез из двух доступов: наружного и внутреннего. Наружный с отсечением (остатков) наружной лодыжки - "стандартный" для чрескостного артродеза и внутренний, из которого удалите
    внутреннюю лодыжку. Использование двух доступов облегчит обработку адаптируемых поверхностей и устранение подвывиха. При монтаже опоры на стопе не забудьте провести спицу через таран для разгрузки подтаранного сустава (если только вы не ставите цель одновременный артродез подтаранного сустава, что может обсуждаться).

    Всего наилучшего,
    Л.Соломин
    [ Ответить ]

    • Re: Артродез г/стопного сусутава
      Отправитель: Алексей Семенистый 31 Март 2007, 10:19
      Л.Соломин пишет:
      > В данном случае мы бы выполнили "открытый" артродез из двух доступов:
      > наружного и внутреннего. Наружный с отсечением (остатков) наружной лодыжки -
      > "стандартный" ..... и внутренний, из которого удалите
      > внутреннюю лодыжку.


      Мы бы сделали тоже самое с остатками лодыжек, но артродез, который безусловно показан, выполнили бы закрыто блокируемым штифтом (типа DFN) через пятку. Опороспособность восстановится сразу, артродез (рентгенологический) наступит месяцев через 4-6.

      С уважением, А.Семенистый.
      ГКБ 13, Москва.

      [ Ответить ]
      • Re: Артродез г/стопного сусутава
        Отправитель: В.Машталов 31 Март 2007, 10:21
        Ув. Алексей вы пишете
        > Мы бы сделали тоже самое с остатками лодыжек, но артродез, который
        > безусловно показан, выполнили бы закрыто блокируемым штифтом (типа DFN)
        > через пятку. >
        Опороспособность восстановится сразу, артродез (рентгенологический) наступит
        месяцев через 4-6.


        Какие в этом случае планы на подтаранный сустав, изначально идете на его замыкание и замыкается ли он при данном синтезе?
        Если можно, покажите подобный случай.
        с ув. В. Машталов

        [ Ответить ]
        • Re: Артродез г/стопного сусутава
          Отправитель: Алексей Семенистый 01 Апрель 2007, 14:09
          Приветствую!

          > Какие в этом случае планы на подтаранный сустав, изначально идете на его
          > замыкание и замыкается ли он при данном синтезе?


          Да. Изначально планируется и подтаранный артродез.

          > Если можно, покажите подобный случай.




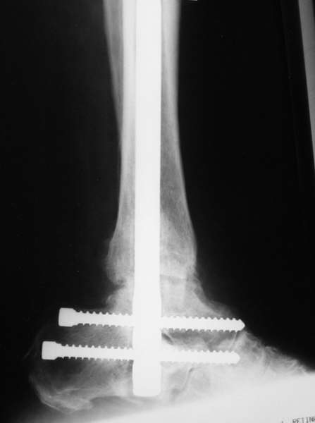
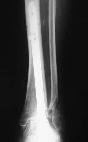
          Можно: 65-летняя пациентка, оперирована по поводу несросшегося в гипсе перелома лодыжек с патологической вальгусной установкой стопы и выраженным нарушением опрной функции. Оперирована через 6 месяцев после травмы. Рентгенограммы через 4 месяца после операции.



          С уважением, А.Семенистый.
          ГКБ 13, Москва.

          [ Ответить ]
          • Re: Артродез г/стопного сусутава
            Отправитель: В.Машталов 01 Апрель 2007, 14:10
            > Да. Изначально планируется и подтаранный артродез.

            насколько я понял, подтаранный сустав замыкается в результате чрезсуставного остесинтеза, отдельных мероприятий ( резекция суставного хряща) не выполняется.
            Спасибо за пример.

            с ув. В. Машталов

            [ Ответить ]
            • Re: Артродез г/стопного сусутава
              Отправитель: Никита Заднепровский 01 Апрель 2007, 14:12
              ВМ> чрезсуставного остесинтеза , отдельных мероприятий ( резекция суставного
              ВМ> хряща) не выполняется.


              Тоже хотел задать этот же вопрос.
              Если резекции сустаной поверхности не выполняется, то
              формируется фиброзный анкилоз ... этого достаточно
              клинически для врача и субъективно для пациента?

              С уважением, Заднепровский Никита Николаевич

              [ Ответить ]
              • Re: Артродез г/стопного сусутава
                Отправитель: A Liberson 01 Апрель 2007, 14:15
                Dear Dr Zadneprovsky!
                As I wrote you SHOULD remove the subtalar joint cartilage!!
                Though there are techniques to do less removal-I described one also, but in this case I would remove it.
                I may suggest a retrograde nail either of Aesculap or Richards for this purpose.There is also a nail of Orthofix.
                Dr Liberson

                [ Ответить ]
            • Re: Артродез г/стопного сусутава
              Отправитель: Алексей Семенистый 02 Апрель 2007, 23:35
              > насколько я понял, подтаранный сустав замыкается в результате
              > чрезсуставного остесинтеза,


              Да, впрочем, как и голеностопный.

              >отдельных мероприятий ( резекция суставного
              > хряща) не выполняется.


              Само формирование и рассверливание канала для штифта и есть те "отдельные мероприятия", которых достаточно...

              С уважением, А.Семенистый.
              ГКБ 13, Москва.

              [ Ответить ]
              • Re: Артродез г/стопного сусутава
                Отправитель: Alexaander Chelnokov 02 Апрель 2007, 23:37
                > Само формирование и рассверливание канала для штифта и есть те
                > "отдельные мероприятия", которых достаточно...


                Коллега A.Liberson не зря пишет о необходимости удалениях хряща для надежного замыкания податарнного сустава. В каких-то случаях, наверно, сустав и без этого замкнется, но непременно встретится и такой пациент, когда отсутствие анкилоза проявится сломанным стержнем.

                [ Ответить ]
          • Re: Артродез г/стопного сусутава
            Отправитель: Alexander Zolotov 01 Апрель 2007, 14:13
            УважаемыЙ Алексей,

            Спасибо за великолепную демонстрацию. Хотелось бы взять на вооружение. Где можно найти подробное описание операции?

            [ Ответить ]
            • Re: Артродез г/стопного сусутава
              Отправитель: Анатолий 04 Апрель 2007, 15:32
              Существуют специальные системы для артродеза голеностопного сустава. См. приложение



              [ Ответить ]
          • Re: Артродез г/стопного сусутава
            Отправитель: Ramil 05 Апрель 2007, 13:20
            Уважаемый А.Семенистый. Складывается впечатление, что вы выполнили трехсуставный артродез, уж больно длинные блокирующие винты. Не мешают ли они пациентке при ходьбе?
            С увважением Ramil

            [ Ответить ]
            • Re: Артродез г/стопного сусутава
              Отправитель: Алексей Семенистый 05 Апрель 2007, 14:40
              Да конечно винты длинноваты! Мешают ли ходить? Во всяком случае субьективно пациентка удовлетворена. Ходит, естевственно, хуже чеи до травмы, но намного лучше, чем до операции.
              С уважением, А.Семенистый.
              ГКБ 13, Москва.

              [ Ответить ]
    Re: Артродез г/стопного сусутава
    Алексей Минервин 01 Апрель 2007, 14:20
    Уважаемые коллеги! Спасибо за дискуссию. К сожалению, штифты с блокированием пока недоступны, поэтому рассматриваю вариант с КДО. Все же хотелось уточнить:
    1.Вскрыв голеностопный сустав, каков критерий достаточности обработки от остатков суставного хряща (если он все же остался после предыдущей операции) или каких-нибудь рубцовых тканей?(честно говоря не представляю, с чем придется столкнуться).
    2.Компенсация укорочения: удлинение голени? Или пока этот этап не так актуален?
    А.Минервин.
    [ Ответить ]

    • Re: Артродез г/стопного сусутава
      Отправитель: Leonid N. Solomin 01 Апрель 2007, 14:51
      > 1.Вскрыв голеностопный сустав, каков критерий достаточности обработки от
      > остатков суставного хряща


      "Кровавая роса". Поэтому особенно "не экономьте".

      > 2.Компенсация укорочения: удлиннение голени? Или пока этот этап не так
      > актуален?


      Если после адаптации большеберцовой с тараном укорочение превысит 2 см, домонтируйте аппарат для возможности устранения неравенства длин
      конечностей.

      Всего наилучшего,
      Л.Соломин

      [ Ответить ]
    Re: Артродез г/стопного сусутава
    A.Liberson 10 Апрель 2007, 23:23
    Regardung the retrograde nail I wrote - the nail is inserted in the anterior part of subtalar joint, while the most importantpart to fuse is posterior and middle facet-tjis is why I myself remove the cartilage. I did about 20 of these and in last days Dr Alperson, my younger collegue, did one. I will be happy to give some illustrations if anybody is interested
    AL
    [ Ответить ]

    • Re: Артродез г/стопного сусутава
      Отправитель: Alexander Chelnokov 11 Апрель 2007, 22:36
      AL> one. I will be happy to give some illustrations if anybody is interested

      Конечно, давайте посмотрим. Заранее спасибо.

      Коллеги, я не совсем уяснил, зачем в этом и подобных случаях, кроме бесперспективного голеностопного сустава, замыкать еще и подтаранный, в котором нет ни дисконгруэнтности, ни тяжелого артроза?

      [ Ответить ]
    Re: Артродез г/стопного сустава
    Белодед Юрий Васильевич 21 Апрель 2007, 17:08
    Вскрытие сустава обязательно,"освежение поверхностей".Артродез голеностопного сустава.Чрезкожная фиксация аппаратом Волкова-Оганесяна(модефикация аппарата Илизарова)!
    [ Ответить ]


    ( Ответить )

    Powered by Zope  Squishdot Powered MedLink
    Посетитель: 0000159
      "По форме правильно, а по существу - издевательство" В.И.Ленин
    ©2001-2019Orthoforum Coordinator.
    [ Главная | Отправить сообщение | Поиск | Админ ]