Ответить
|
Re: Остеомиелит 4 плюсневой кости.
Коваленко А.Н. 01 Апрель 2007, 19:51
|
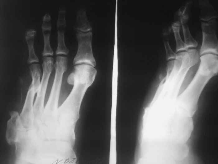
Приветствую. Некоторое время назад я выкладывал случай с остеомиелитом пяточной кости. Ответов я не дождался, но суть в другом.

У этой пациентки проблема была похожа тем, что свищи открывались когда она пыталась вставать на больную ногу. Была произведена санация полости пяточной кости, установлены бусы с ванкоминцином,разрешена нагрузка, пациентка показывалась через месяц, свищи не открывались с момента санации. На данный момент есть только снимки со спейсером, в следующую явку обязательно сфотографирую ногу "живьем". Можно добавить, что при санации пользуем "зеленку" с перекисью для окрашивания мертвых тканей через свищ. Бусинки лучше делать маленьких размеров - легче укладывать(особенно в костную полость), на эти грабли я уже наступил:)
Успехов.
|
[
Ответить ]
|
Re: Остеомиелит 4 плюсневой кости.
Отправитель: Никита Заднепровский 01 Апрель 2007, 21:30
|
КАН> больную ногу. Была произведена санация полости пяточной кости,
КАН> установлены бусы с ванкоминцином,разрешена нагрузка,
Спасибо за содействие )) В моем случае я не могу точно (без фистулографии, т.к. свищ закрыт) определить уровень и объем резекции кости в соответствии с будущей (надеюсь) операцией для восстановления опороспособности стопы. Или оставшихся трех лучей будет достаточно в ортопедической обуви? Предполагается резекция средней части диафиза 4 плюсневой кости с фистулонекрэктомией.
КАН> санации пользуем "зеленку" с перекисью для окрашивания мертвых тканей
КАН> через свищ.
Такой же технический прием применяем и мы. Кто-то применяет метиленовую синь.
КАН> Бусинки лучше делать маленьких размеров - легче
Да как же Вы их (бусы) все-таки крепите к нити? :))) Пока в России эти бусы будут бай мейд хенд, да и цемент за счет больного, хотелось бы узнать надежный способ их крепления.
С уважением, Заднепровский Никита Николаевич
|
[
Ответить ]
|
Re: Остеомиелит 4 плюсневой кости.
Отправитель: Алексей Семенистый 02 Апрель 2007, 08:12
|
> Да как же Вы их (бусы) все-таки крепите к нити? :))) Пока в России эти
> бусы будут бай мейд хенд, да и цемент за счет больного, хотелось бы
> узнать надежный способ их крепления.
Потренируйтесь дома на кухне:)). Замесите тесто (вода, мука, яйцо.. соль необязательно), жена натянет в руках нитку 30-40 см, а Вы лепите "бусинки" (0,5-1,0 см) и навешивайте их на нитку. По краям нитки завяжите узелки.
Положите бусы из теста в морозилку (-18 С) на час. Цементные бусы в морозилку класть не нужно, время
полимеризации указано на коробке, обычно 7-10 минут. И еще, когда будете лепить бусы из теста, руки должны быть в муке, чтоб не прилипало. Работая с цементом, перчатки должны быть влажными, тоже, чтоб не прилипало. :))
Вторым этапом - найдите коробку просроченного цемента и проделаите тоже самое в перевязочной.
Третьим этапом - смело ваяйте в операционной!
С уважением, А.Семенистый.
ГКБ 13, Москва.
|
[
Ответить ]
|
Re: Остеомиелит 4 плюсневой кости.
Отправитель: Anton Kovalenko 02 Апрель 2007, 08:13
|
>Спасибо за содействие )) В моем случае я не могу точно (без
>фистулографии, т.к. свищ закрыт) определить уровень
???
Можно дождаться открытия свища, дело Ваше, но определяться с объемом операции, по-моему, нужно тщательно.
Не думаю, что потеря еще одного луча добавит опорности стопе. Как Вы планируете после резекции
восстанавливать длину плюсневой кости и добиваться сращения?
Предполагаемый общий (без деталей) план действий за 3тышшы км мне видится таким: 1.санация(нужна ли здесь резекция?),2. спейсер, 3.внешная или диафиксация. Можно добавить для стабильности и опорности на время лечения крепкую пластиковую лонгету на стопу. Кстати спейсер для костной полости не обязательно делать в виде бус.
Лишь бы его можно было легко удалить и в случае необходимости при отсутствии инфекции прибегнуть к костной пластике.
>Да как же Вы их (бусы) все-таки крепите к нити? :))) Пока в России эти
>бусы будут бай мейд хенд, да и цемент за счет больного, хотелось бы
>узнать надежный способ их крепления.
Пластичный (незастывший) цемент налепляется на имеющуюся нить, после отвердевания можно сделать узелки на концах для предупреждения их соскальзывания, что бывает очень редко. При оставлении на плоскости стола круглые бусинки преобретают форму лепешек.
|
[
Ответить ]
|
|
( Ответить )
|
|