Ответить
|
Re: Аневризмальная костная киста
Nikolay Koryshkov 13 Апрель 2007, 15:26
|
В нашем отделении в течение последних 1,5 мес наблюдались 2 пациента (а один проходит лечение в настоящее время) с аневризмальными костными кистами.
1-Пациент Х.18лет, аневризмальная костная киста малоберцовой кости и основной фаланги I пальца левой стопы (Рис. 1,2).

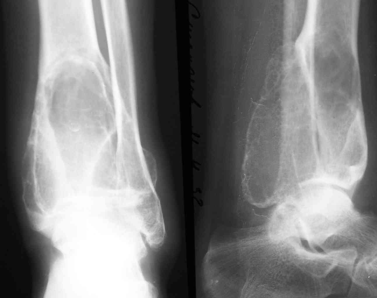
2-Пациент С.,32 лет,аневризмальная костная киста левой большеберцовой кости (Рис. 3,4), проходит лечение.

С уважением, Н.Корышков
РосНИИТО им.Р.Р.Вредена
|
[
Ответить ]
|
Re: Аневризмальная костная киста
Отправитель: Evgueny Tchekashkine 13 Апрель 2007, 15:30
|
Nikolai,
Rggrammi 32 letnego bolnogo skoree pohozhi na Gigantokletochnuy opuhol.
Kak vi lechite etih patientov?
C nailuchshimi pozhelaniyami,
Evgueny Tchekashkine
|
[
Ответить ]
|
|
Re: Аневризмальная костная киста
Зельский Илья Александрович, УНИИТО,рентгенолог 24 Апрель 2007, 20:00
|
По данным как классической, так и современной литературы, аневризмальная костная киста является солитарным опухолеподобным поражением. В архиве нашего института также подобных случаев - поражения более 1 кости - не было.
(Хотя причины возниконвения АКК до сих пор окончательно не установлены)
На представленных снимках рентгенологическая картина АКК не соответствует - в первом случае рентгенологическая картина (учитывая центральное расположение ) более соответствует солитарной костной кисте м.берц. кости, а в фаланге - кистовидная перестройка, во втором случае - гигантоклеточная опухоль
Не обижайтесь, с уважением, Зельский И.А., УНИИТО
|
[
Ответить ]
|
( Ответить )
|
|