вверх
отправить
поиск
админ
главная
|
Отправлено Никита Заднепровский 17 Апрель 2007, 22:28
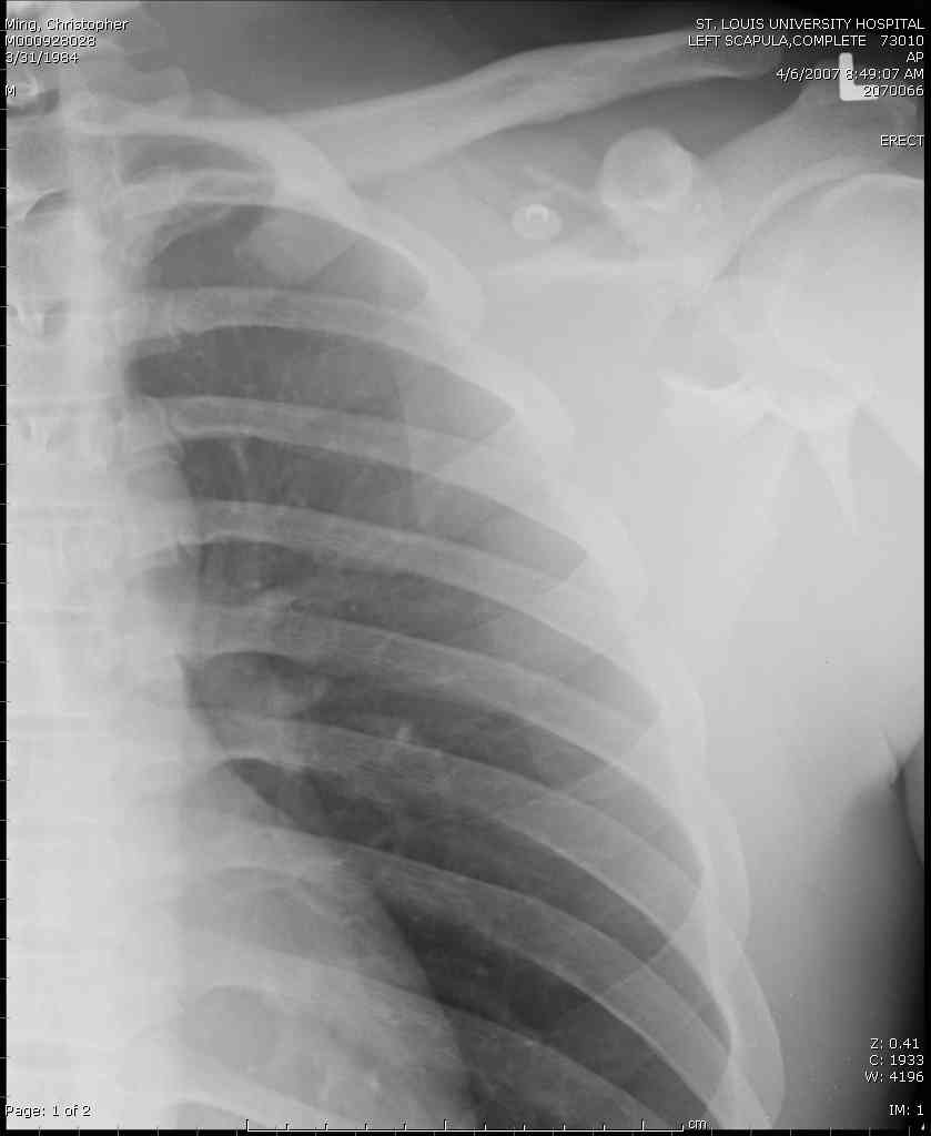
дравствуйте, коллеги. Мужчина 24 лет. Сегодня был прооперирован по Сушко-Илизарову (давно порывался, наконец-то руки дошли :)) На снимке перелом угла лопатки. Довольно крупный размер осколка. Следует ли оперировать такой перелом?Если есть резон оперативного лечения, то каким образом? (рекон. пластина, закрыто пришпилить спицами, винтами). ЭОПа в наличии нет. В области лопатки массивный отек мягких тканей. С уважением, Заднепровский Никита Николаевич
<
|
>
|
|
Ответить
|
Re: Перелом угла лопатки
Равиль Абдулаев 18 Апрель 2007, 02:16
|
Был опыт с переломом тела лопатки,но без ключицы.Лечил консервативно,торокобрахиальная повязка на 3 недели,физиопроцедуры.Перелом сросся,движения в полном объеме.
|
[
Ответить ]
|
Re: Перелом угла лопатки
Alexander Chelnokov 18 Апрель 2007, 23:32
|
А где там сломанный угол лопатки? Стрелочкой покажите pls?
|
[
Ответить ]
|
Re: Перелом угла лопатки
Глазков Константин 18 Апрель 2007, 23:34
|
Я думаю, что остеосинтез крючковидной пластиной в данном случае улучшил бы качество жизни пациента в послеоперационном и реабилитационном периоде.
|
[
Ответить ]
|
Re: Перелом угла лопатки
Djoldas Kuldjanov 19 Апрель 2007, 01:50
|

Никита, поздравляю с хорошей репозицией перелома
ключицы.
На какой срок решили оставить в аппарате, и что за аппарат? Разве аппарат Сушко не цилиндрический с движущимися пазами?
Если у вас имеется доказательство, что перелом лопатки изолированный, тогда нет необходимости операции, потому что стабильные изолированные переломы лопатки срастаются хорошо из-за хорошего кровоснабжения.
Для решения насчет оперативного вмещательства на лопатке сперва надо определиться с обьязательными ренгенологическими исследованиями, не менее трех стандартных проекций: прямая, аксиллярная и в позиции виде “Y”.
Прямую снимают под углом в 35 градусов от центра и вид “Y” в 90 градусов к нему. Несмотря на неудобства, больному необходимо сделать
аксиллярный снимок.
К-томографические и Трехмерные(3D)снимки крайне важны для определения внутрисуставных переломов и классификации.
Кроме анатомической классификации, переломы лопатки делятся на стабильные и нестабильные, внутри- и внесуставные и с вовлечением суставной поверхности.
Нестабильные внесуставные переломы лопатки типично сочетаются с переломами ключицы и ребер.
Сочетания в результате скоростных травм приводят к нестабильности плечевого пояса, и имеют тенденцию ротироваться кнутри, в результате чего возможны повреждения плечевого сплетения.
При отсутствии соединения верхнего пояса с телом из-за перелома ключицы и шейки лопатки имеется состояние "floating shoulder", как в аналогии повреждения около коленного сустава "floating knee" при переломах костей выше и ниже коленного сустава.
В таких случаях, когда нет больших смещений на стороне суставной поверхности, и нет необходимости операции на лопатке, тогда ограничиваются фиксацией только ключицы, то есть фиксируется верхняя конечность к туловищу через ключицу...
Также показания к оперативному вмещательству на лопатке появляются, когда смещения суставной поверхности медиально 9 и более мм и при угловом смещении суставной поверхности 40 и более градусов.
В 1993 Goss описал верхне плечевой поддерживающий комплекс (SSSC-superior shoulder suspensory complex), костно-связочное кольцо из акромиона, коракоида, ключицы и гленоида. Повреждения двух или более элементов из перечисленных доказывают наличие флотирования, и рекомендуется операция.
Активные движения в локтевом и плечевом суставах с первого дня, косынку можно снять через 10-14 дней.
Переломы лопатки срастаются быстро, активные движения в 4 недели с максимизацией, движения с сопротивлением на 8 неделе и полную нагрузку к 12 неделе.
Djoldas Kuldjanov, MD
Department of Orthopedic Surgery
St. Louis University Medical Center
|
[
Ответить ]
|
Re: Перелом угла лопатки
Отправитель: Савранский Александр 21 Апрель 2007, 00:55
|
Уважаемый Джолдас,нельзя ли предоставить послеоперационные снимки презентированного случая?
С ув. Савранский А.М.
|
[
Ответить ]
|
Re: Перелом угла лопатки
Отправитель: Djoldas Kuldjanov 24 Апрель 2007, 01:42
|

На снимке (№6 компьютерная томограмма и 3D №7) перелом клювовидного отростка.
Передним дельтопекторальным Bankart доступом намного легче провести фиксация отростка, но тогда репозиция и фиксация колонн затрудняется, поэтому был применен стандартный Judet задний доступ.
Репозицию смогли сделать пальцами через щель между
шейкой и телом лопатки (последний 3D снимок)
Двумя шурупами сзади на пластине (вместе шайбы)
провели удержание репозиции, а фиксацию провели
следующим косым шурупом.
Последующие этапы на снимках.
|
[
Ответить ]
|
Re: Перелом угла лопатки
Отправитель: Никита Заднепровский 21 Апрель 2007, 01:10
|
DK> На какой срок решили оставит в аппарате, и что за аппарат?
Планирую через четыре недели сделать рентген-контроль с решением вопроса об удалении АВФ. Аппарат смонтирован из деталей аппарата Илизарова. Картинки в приложении.

DK> Разве аппарат Сушко не цилиндрическая с движущими пазами?
К сожалению оригинального аппарата Сушко нет в наличии (даже в глаза не видел), но использовался сам принцип метода по Сушко-Илизарову. Цитирую из "Основ по чрезкостному остеосинтезу аппаратом Г.И. Илизарова" (Л.Н.Соломин, 2005): 1. В каждый костный фрагмент должно быть введено не менее двух 2-мм консольных спиц, расположенных под углом к друг другу. 2. Места введения спиц должны располагаться вблизи суставных концов ключицы.
3. Точки введения спиц должны находиться на верхней поверхности ключицы.
4. Плоскость расположения спиц должна совпадать с продольной осью костных фрагментов.
5. При диафизарных переломах спицы проводят через оба кортикальных слоя.
6. При переломо-вывихах акромиального конца ключицы консольные спицы в акромиальный конец ключицы вводят только до упора в противолежащий
кортикальный слой; в акромиальный отросток лопатки консольные спицы не вводят, а используют спицу Киршнера "acr.,6-12", концы которой П-образно загибают навстречу друг другу.
7. Расстояние между поверхностью кожи и внешними опорами должно быть минимальным - в пределах 1,5-2 см.
DK> Если у вас имеется доказательство, что перелом лопатки изолированный,
DK> тогда нет необходимости операции, потому что стабильные изолированные
DK> переломы лопатки срвстаются хорошо из-за хорошего кровоснабжения.
Посмотрел пациента под рентгеноскопом, определяется изолированный перелом верхнего медиального угла лопатки. Вопрос об операции отпал. Больной машет крылом как пропеллером, пришлось ограничить активность дисциплинирующей "косынкой" ... :))) Отек мягких тканей в области
лопатки купировались через 24 часа после операции. Не смотря на громоздкость конструкции аппара т переносится самим больным легко. Под спортивной курткой не так и заметно. Разрешил мытье под душем с последующей заменой прижимных спиртовых шариков, обработкой АВФ и спиц спиртом 1 раз в неделю. Больной пробыл в отделении 3 койко-дня с дальнейшим долечиванием амбулаторно.
За комментарии спасибо. Как всегда очень интересно и более чем достаточно :-). И как всегда что-то новенькое ... Возьмете в ученики? :-))
--
С уважением, Заднепровский Никита Николаевич
|
[
Ответить ]
|
Re: Перелом угла лопатки
Отправитель: Alexander Chelnokov 21 Апрель 2007, 01:44
|
> К сожалению оригинального аппарата Сушко нет в наличии (даже в
> глаза не видел), но использовался сам принцип метода по
> Сушко-Илизарову. Цитирую из "Основ по чрезкостному остеосинтезу
Гм. Компоновка аппарата не совсем та, что описана в цитируемом фрагменте.
Включаем поиск в архивах... Вот же память у людей короткая: в мае прошлого года обсуждался остеосинтез ключицы, и некий Никита Заднепровский спросил про акромильнфый конец ключицы.
В числе последовавших в ответ сообщений было и вот это
А презентация так и лежит здесь.
|
[
Ответить ]
|
|
Re: Перелом угла лопатки
КАТЯ 16 Ноябрь 2008, 17:09
|
СКАЖИТЕ ПОЖАЛУЙСТА СУЩЕСТВУЕТ ЛИ ПРОТЕЗ ЛОПАТКИ? НЕ МОГУ НИКАК СДЕЛАТЬ,НАЙТИ!
|
[
Ответить ]
|
( Ответить )
|
|