вверх
отправить
поиск
админ
главная
|
Отправлено Моисеев Ю.И. 18 Апрель 2007, 02:55
Приветствую, коллеги. 2 года назад пациентке поставлен диагноз саркома бедра,
 Первичный остеосинтез | 
Реостеосинтез |  Сегодня |  |  |  | 1.5 года назад произведен синтез для улучшения качества жизни для по поводу патологического перелома на уровне открытой биопсии. Через 4 месяца открытый реостеосинтез с исправлением оси и восстановления опроспособности. В период после перелома лучевой и химиотерапии не получала. Месяц назад появилсь возрастающие боли в суставе. Ходит с тростью. Движения в коленном суставе качательные.На рентгеннограммах после реостеосинтеза намечалась тенденция к сращению. В области операционной раны периодически открывался-закрывался свищ. На последних - кроме миграции гвоздя в сустав - лизис костной мозоли. Можно ли одной из причин миграции считать длительную статическую фиксацию гвоздя? У кого-нибудь есть опыт на каких сроках проводить у онкобольных динамизацию? Что можно сделать для ликвидации боли и поддержания опороспособности конечности? Имеет ли смысл установка более толстого фиксатора без дистального блокирования? И вообще,ставить ли здесь вопрос о сохранении конечности?
<
|
>
|
|
Ответить
|
Re: Саркома?
Alexander Chelnokov 18 Апрель 2007, 11:03
|
МЮИ> последних - кроме миграции гвоздя в сустав - лизис костной мозоли.
Вообще, если перелом и правда на фоне саркомы, то что по основному заболеванию? 1,5 года - срок значительный. Какие перспективы рисуют онкологи? Делали ли биопсию при открытой операции?
МЮИ> Можно ли одной из причин миграции считать длительную статическую
МЮИ> фиксацию гвоздя? У кого-нибудь есть опыт на каких сроках проводить у
МЮИ> онкобольных динамизацию?
При опухолях любая динамизация ведет к тому, что фрагменты телескопируются до упора винта в край овального отверстия, и он опять статический. Так что динамизация в услових увеличивающегося дефекта и не предполагается, гвоздь тут стопроцентный эндопротез. Так что проблемы здесь в том, что винты тонкие, которые если не ломаются, то режут разреженную кость. И выход - винтов вводить побольше, и потолще. Соответственно, гвоздь брать подходящий.
МЮИ> Что можно сделать для ликвидации боли и поддержания
МЮИ> опороспособности конечности?
Реостеосинтез.
МЮИ> Имеет ли смысл установка более толстого фиксатора без
МЮИ> дистального блокирования?
Он тут же двинется в колено по имеющемуся каналу. поэтому надо сделать нормальный блокируемый гвоздь, внизу винтов чтобы было больше 3, м диаметром больше 5 мм.
МЮИ> И вообще,ставить ли здесь вопрос о сохранении конечности?
А почему нет, если в остальном ножка живая, и ожидаемая продолжительность жизни у пациента больше нескольких недель?
|
[
Ответить ]
|
Re: Саркома?
Отправитель: Моисеев Ю.И. 19 Апрель 2007, 17:50
|
Приветствую,Александр Николаевич!
>Вообще, если перелом и правда на фоне саркомы, то что по основному заболеванию? 1,5 года - срок значительный. Какие перспективы рисуют онкологи? Делали ли биопсию при открытой операции?
Согласны, это нас тоже удивило, но онкологи диагноз не снимют, морфология подтверждает.
>поэтому надо сделать нормальный блокируемый гвоздь, внизу винтов чтобы было больше 3, м диаметром больше 5 мм.
В условиях (без ЭОПа,сплошные гвозди макс.10мм) вариант сплошной гвоздь и блокирование 3 винтами "отваливаются". Поскольку вслепую попытки заблокировать дистальный конец гвоздя тремя винтами превратят метафизы в кашу уже остеопорозной кости. Учитывая качательные движения в коленном суставе приходит в голову вариант закрытого артродеза коленного сустава с блокированнием длинного гвоздя в относинтельно плотных проксимальных мыщелках большеберцовой кости. Относительно трех винтов наверное в овальное отверстие придется ввести "сколько влезет". Как Вам видится такой вариант?
|
[
Ответить ]
|
|
Re: Саркома?
Сувалян Микаэл 18 Апрель 2007, 16:18
|
Не чреват ли будет повторный погружной остеосинтез на фоне имеющегося свища?
Может стоит ограничиться просто удалением фиксаторов и наложением какой-либо поддерживающей ортезной повязкой?
|
[
Ответить ]
|
Re: Саркома?
Отправитель: Alexander Chelnokov 18 Апрель 2007, 23:16
|
СМ> Не чреват ли будет повторный погружной остеосинтез на фоне имеющегося
СМ> свища?
Сейчас инфекции способствуют минимум два фактора - нестабильность и полый стальной штифт. Если эти факторы исключить, т.е. создать стабильность и заменить штифт на сплошной титановый, то это более благоприятно для ликвидации инфекции. Можно и подумать про обработку очага, бусы с антибиотиком... Из представленного материала не очень понятно, где свищ и какова локализация и протяженность очага.
СМ> Может стоит ограничиться просто удалением фиксаторов и наложением
СМ> какой-либо поддерживающей ортезной повязкой?
Это будет лучше того, что есть сейчас?
|
[
Ответить ]
|
Re: Саркома?
Отправитель: Сувалян Микаэл 18 Апрель 2007, 23:47
|
Возможно, что при попытке использования вышеупомянутой Вами методики, есть шанс на более или менее благоприятный исход.
Отвечая на второй вопрос: может и лучше.
Это может показаться пассивностью, а может и спасением жизни пострадавшей. Случай далеко не простой и требует очень обдуманного решения. Здесь, как мне кажется, очень важно смотреть не только на перелом и ногу, а на пациента в целом (основное заболевание, образ жизни и др.).
|
[
Ответить ]
|
|
Re: Саркома?
Анатолий 19 Апрель 2007, 17:59
|
М.б.лизис кости- продолженный рост опухоли?
Производилась ли рентгенография легких? Сциниграфия скелета?
Наличие патологического перелома на фоне первичной злокачественной опухоли, особенно остеоСа- противопоказание для конечность сберегающей хирургии.
|
[
Ответить ]
|
Re: Саркома?
Michael Berenstein 19 Апрель 2007, 22:32
|
Уважаемый коллега
Вы пишете
>Можно ли одной из причин миграции считать длительную статическую фиксацию
гвоздя? У кого-нибудь есть опыт на каких сроках проводить у онкобольных
>динамизацию? Что можно сделать для ликвидации боли и поддержания
опороспособности конечности? Имеет ли смысл установка более толстого
фиксатора без >дистального блокирования? И вообще,ставить ли здесь вопрос о
сохранении конечности?
Фиксация патологических переломов у онкологического больного в значительной степени повышает качество жизни, но конечно не продлевает выживаемость.
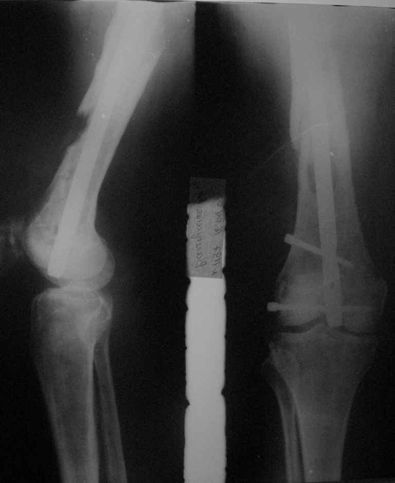
Саркомные переломы обычно не срастаются, по этому не зависимо от места метастаза фиксатор устанавливается максимально длинный и обязательно с блокировкой что бы сохранять длину кости даже после роста метастаза или при дополнительно метастазировании. В Вашем случае блокировочные гвозди выглядят тонкими и проведены только через один кортекс. Гвоздь толщиной более 10 мм с блокировочными шурупами 4-5 мм проведенные через обе кортикальные пластинки может обеспечить опороспособность даже если перелом не срастется или литический процесс распространится.
Посылаю первый снимок, который попался по руку.

С уважением
М.Беренштейн
|
[
Ответить ]
|
Re: Саркома?
Отправитель: Анатолий 27 Апрель 2007, 15:59
|
По Вашему,- представленная рентгенорамма иллюстрирует выбор адекватного метода лечения?
Разве только - в случае отказа больного от ампутации и отсутствия соответствующего эндопротеза... в противном случае- извините...???
|
[
Ответить ]
|
Re: Саркома?
Отправитель: Anton Kovalenko 29 Апрель 2007, 12:27
|
Совершенно верно - пациентка отказалась жить без ноги, т.е. от ампутации.
|
[
Ответить ]
|
|
Re: Саркома?
katsevman haim 25 Апрель 2007, 18:19
|
po moemu by the book primary sarcoma tak ne lechitsa . est radical(amputazia) resection .. wide resection s organocochran operaz s ispolzovaniem allograft , metallograft , prosthesis . ckolko let patientke ? kakia bopsy ?
kostnoe scanirovania , KT grudnoy kletky ...MTS ?
gospoda 21 vek ....
|
[
Ответить ]
|
( Ответить )
|
|