вверх
отправить
поиск
админ
главная
Предыдущее
|
Re: Сложный внутрисуставной перелом голени
Антон Лебединец 25 Апрель 2007, 21:42
|
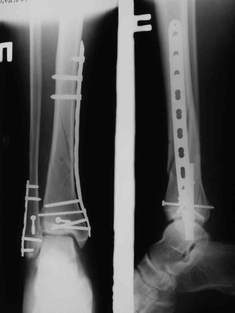
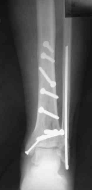
Сегодня прооперировали. Длительность 4-50. Начали как и говорил сверху вниз линейным разрезом - фиксация задне-латерального отломка к проксимальному 2мя винтами, затем "прилепили" к ним передне-медиальный (пришлось повозиться - была интерпозиция и довольно "сложный" винт) - к проксимальному 1 винтом и к задне-латеральному 1 винтом.Кстати на фото видно - у передне-медиального отломка еще осколок в области сустава, несколько смят. Далее началось веселье - второй доступ - задне-наружный к латеральной лодыжке и заднему краю, но оказалось, что задний край больше задне-медиальный (по снимкам было непонятно). Плюс к этому репозиция его мягко говоря сложновата (больной на спине, стол низкий и не поднимается). В общем выставили, фискировали 2мя винтами, на ЭОПе вроде стал, только верх отошел. Латеральную лодыжку заведующий решил интрамедуллярно (не хотел еще винты толкать), сначала 3мм спицей - нестабильно, затем 4мм стержень (не помню по автору) - ОК (кстати в месте перелома мелкая крошка - дефект до 5х7 мм по кортикалу). Ну медиальная лодыжка стандартно - третий разрез - винт 3,5 мм. Визуально все стабильно. На Р-контроле - видна небольшая ступенька заднего края по одному из контуров.
Далее - сейчас нога в пластиковом башмаке (гуманитарная помощь - что-то вроде транспортной иммобилизации - пластик+пневмо), далее заведующий хочет гипсовую повязку до колена. Я предлагаю как иммобилизация аппарат - кольцо - проксимальный метафиз, полукольцо - пятка. По-моему для кожи (оцените на фото), да и для больного лучше. Ваше мнение?
Фото и Р-граммы в приложении
|
|
|
Ответить
|
Re: Сложный внутрисуставной перелом голени
Alexander Chelnokov 28 Апрель 2007, 23:47
|
Приложений нет.
|
[
Ответить ]
|
Re: Сложный внутрисуставной перелом голени
Отправитель: Антон Лебединец 29 Апрель 2007, 22:01
|
Рентгенограммы

|
[
Ответить ]
|
Re: Сложный внутрисуставной перелом голени
Отправитель: Алексей Семенистый 01 Май 2007, 01:43
|
А вид всей голени и стопы после операции?
|
[
Ответить ]
|
|
Re: Сложный внутрисуставной перелом голени
Alexander Chelnokov 01 Май 2007, 12:35
|
> к проксимальному 1 винтом и к задне-латеральному 1 винтом. Кстати на
> фото видно - у передне-медиального отломка еще осколок в области
А можно посмотреть этапные фото в ходе операции?
> сустава, несколько смят. Далее началось веселье - второй доступ -
> задне-наружный к латеральной лодыжке и заднему краю, но оказалось, что
> задний край больше задне-медиальный (по снимкам было непонятно).
По снимкам до операции задний край находился в правильных взаимоотношениях к передне-медиальной части суставного конца tibia, то есть мог быть фиксирован закрыто спицами или винтом.
> Я предлагаю как иммобилизация аппарат - кольцо - проксимальный
> метафиз, полукольцо - пятка. По-моему для кожи (оцените на фото), да
Опять фото нет, только рентгенограммы были.
Вообще, аппарат тут вполне можно, только фиксация стопы избыточна, разве что до заживления раны. Аппарат тут нужен в той же роли, что нейтрализующая пластина.
|
[
Ответить ]
|
Re: Сложный внутрисуставной перелом голени
Отправитель: Антон Лебединец 01 Май 2007, 13:39
|
Фото посылал - почему то не дошли. Попробую еще раз
|
[
Ответить ]
|
|
Re: Сложный внутрисуставной перелом голени
А.Миронов 01 Май 2007, 18:26
|
Здравствуйте Антон!
Очень много разрезов, большая длительность операции, в итоге нестабильная фиксация, требующая доп. внешней иммобилизации. Высокий риск инфекции.
Мы бы фиксировали пластиной м/берцовую кость открыто, на б/берцовую пластину MIPO, при необходимости сустав открыть минимально.

На фото простой суставной, метафиз. оскольчатый с переходом на диафиз перелом, пластина MIPO.
С Уважением А.Миронов
|
[
Ответить ]
|
( Ответить )
|
|