вверх
отправить
поиск
админ
главная
Предыдущее
|
Re: Interesting case - what would you do? Knee val
Mangal Parihar 30 Апрель 2007, 17:18
|
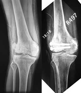
I opened it up from the lateral aspect.
Freed up the non-union site with minimal disturbance to the posterior and lateral soft tissue attachments on the lateral condyle fragment.
Applied a distractor between femoral shaft and tibia, to create a space on the lateral aspect.
This brought the lateral condylar fragment into a position that seemed to be reasonably well aligned, but showed up a bone gap.
This was fixed temporarily, bone grafted with tricortical struts, and fixed by two cancellous screws. The fragment was not large enough to afford any fixation to a plate or such implant, and the screws held it compressed well to the rest of the distal femur.
Post-op - limb is well aligned, rom 0-30, but I am not pushing that right now, for the next two or three weeks.

Further plan - hope that the screws hold the fragment appropriately till union, but if the stability on table is anything to judge by, that should not be a problem.
Quadricepsplasty after a year or so, to restore flexion.
Pictures attached.
Mangal Parihar
|
|
|
Ответить
|
Re: Interesting case - what would you do? Knee val
George Thomas 30 Апрель 2007, 22:26
|
A good job, though personally I would have preferred the screws a bit longer.
|
[
Ответить ]
|
Re: Interesting case - what would you do? Knee val
Alexander Chelnokov 30 Апрель 2007, 22:28
|
Good luck to the patient. Let's hope that the surgery still preserved enough vascularity for both fracture union and viable condyle.
|
[
Ответить ]
|
Re: Interesting case - what would you do? Knee val
Отправитель: Mangal Parihar 01 Май 2007, 11:43
|
thats alex's gentle way of saying "i dont think this will work"
:-)
and you may be right.......
my own experience with this kind of a case and this kind of reconstruction is this single case.
so we shall just wait and see, with fingers crossed.
will keep you posted with the further followup, irrespective of whether it succeeds or fails.
mangal parihar
|
[
Ответить ]
|
Re: Interesting case - what would you do? Knee val
Отправитель: Alexander Chelnokov 01 Май 2007, 12:02
|
Very probably you have done maximum of what could be done - accurate and low invasive indirect reduction, auto grafting, rigid fixation.
Really, such pattern is not weekly met. I'll check our clinical database - we had a similar nonunion 1=2 years ago.
|
[
Ответить ]
|
|
( Ответить )
|
|